![]() |
![]() |
![]() |
![]() |
![]() |
![]() |
|
|
|
![]() |
![]() |
![]() |
![]() |
![]() |
Orthodontically Induced Bone Growth Prior to Implant Placement
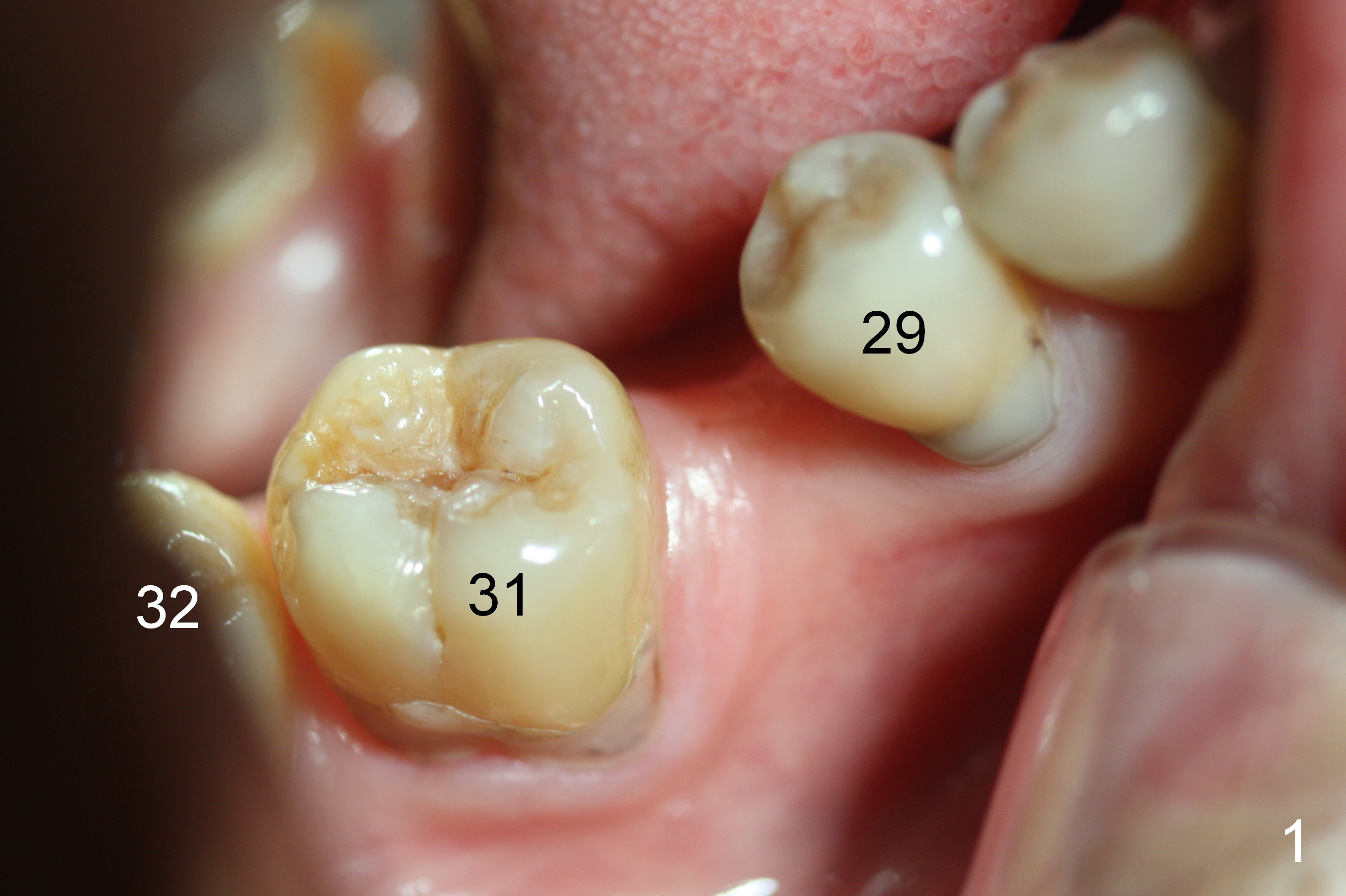
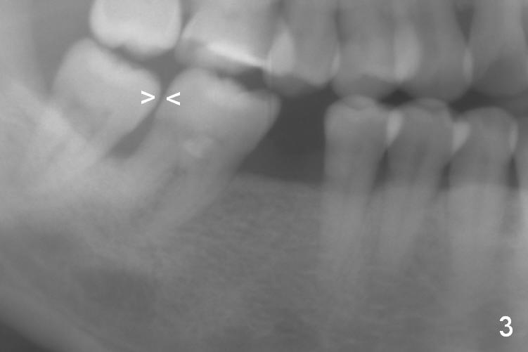
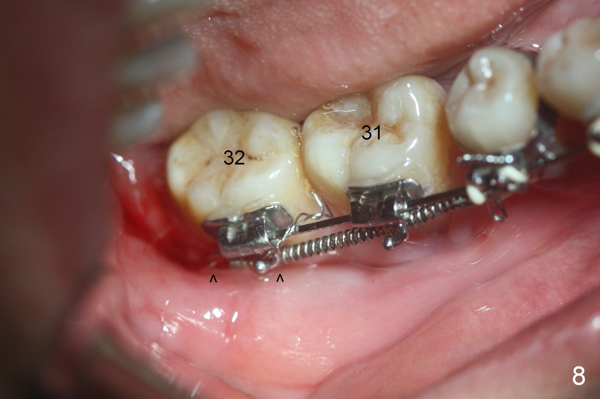
A 47-year-old lady has lost the lower right 1st molar for long time; with reduction of the buccolingual width (Fig.1) and mesiodistal width (Fig.2,3). With regional orthodontic appliance (Fig.4) for 3 months, the tooth #29 has started being distalized (Fig.5). One month and a half later, the tooth #26 starts to shift labially. Power chains and then closed coil spring are placed between #29 and 32. #29 distalization is slow (Fig.7) with closure of the diastema between #31 and 32 (Fig.8, as compared to Fig.1,3). Seven months post banding, a 10 mm miniimplant is placed distobuccal to the tooth #32 (Fig.6); the same 12-mm closed spring is stretched distal by ~ 6 mm (Fig.8 between arrowheads). Two months later, #29 is more distalized (Fig.9 tilted) with bone deposit mesially (*) and coronally (^). A .018' stainless steel wire is installed with an open coil spring placed between #28 and 29 (Fig.10 (^),11). Note #29 rotation (Fig.11). To solve the tilting, a power hook (Fig.12 black) will be clamped to a .016x.016 wire (red), while the closed spring is lowered and attached to the power hook (Fig.12 white). Take photos after removing the existing wire occlusally to show the alveolar width change. When the wire is placed, make sure that the distal wings of #29 bracket is fully engaged to reduce the tooth rotation. Make occlusal adjustment on #31 and 32 to reduce anterior open bite.
Since the patient wants to have brackets removed before traveling abroad, the tooth #29 starts mesialization before complete distalization (~ 3 weeks earlier). It is most likely that there is not enough time for the mesialization to happen. If surgery has to be done, a 3 mm 1-piece one may be the choice.
Once the ligature wire connecting the mini implant and closed coil spring fractures inside the wound, it is difficult to replace, causing localized inflammation (Fig.13, 8 months post placement). The wire and the mini-implant need a 2nd difficult surgery for removal.
Return to
Assistants' Ortho Cases,
Lower Molar Immediate Implant, Implant & Ortho
2
植牙,导板与正畸
Xin Wei, DDS, PhD, MS 1st edition 01/12/2016, last revision 01/04/2021