![]() |
![]() |
![]() |
|
![]() |
![]() |
![]() |
|
![]() |
![]() |
![]() |
![]() |
![]() |
![]() |
![]() |
|
Tap Driver to Measure Torque Before Immediate Implantation
A 56-year-old Oriental lady is going to have immediate implant for the upper left lateral incisor after lengthened preparation (1 2 3 4). There is an indistinct fistula (Fig.1 <) and purulent discharge on anesthetic injection (Fig.2 <). The residual root is exposed (Fig.3 *) following a trapezoidal incision (arrowheads). After tooth extraction and socket debridement with a serrated curette (Fig.4), copious irrigation is conducted with a large monojet and normal saline (Fig.5). The socket will be soaked with non-woven gauze saturated with Clindamycin (Fig.6). The advantage of this antibiotic over Amoxicillin is that there is less mess with the former (completely dissolves). But Clindamycin is bitter. This amalgam well is saved to keep autogenous bone from the reamer and mix with allograft if needed.
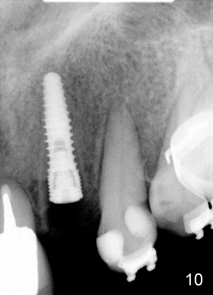
The 2.5 mm reamer is inserted as planned (following the contour of the alveolus (4)). Although the reamer (Fig.7 R) is palatal and there is a gap buccally (*), the handle of the reamer tilts buccally (Fig.8). A straight wall is created by using 2.5 mm reamer (Fig.9). A tapered implant is inserted (3.8x14 mm with apical diameter 2.4 mm, Fig.10). It is supposed to have high torque, but this implant is placed with a knob driver, probably due to osteoporosis. The dilemma is that the patient insists upon immediate provisional. If a tap driver were used, low torque would be found before implantation.
The buccal gap (Fig.11 *) is to be filled by allograft before insertion of an angled abutment (3.9 mm 25 º 3 mm cuff, Torx A type, Fig.12). The shoulder of the abutment is at the crest level (*). A longer cuff (4 or 5 mm) would be more appropriate. The gap buccal to the shoulder of the abutment is closed by further bone graft. An immediate provisional is fabricated (Fig.12 P), followed by suturing the buccal flap (*), which should give bulk of the gingival tissue.
In fact, this case turns out to fail.
What to Do
Ortho Design,
Ortho Progress,
Upper Incisor Immediate Implant,
Professionals,
Implant & Ortho
2
Xin Wei, DDS, PhD, MS 1st edition 03/05/2014, last revision 02/19/2017