![]() |
![]() |
![]() |
|
![]() |
![]() |
![]() |
|
One-piece Implants for lower Incisor Bridge
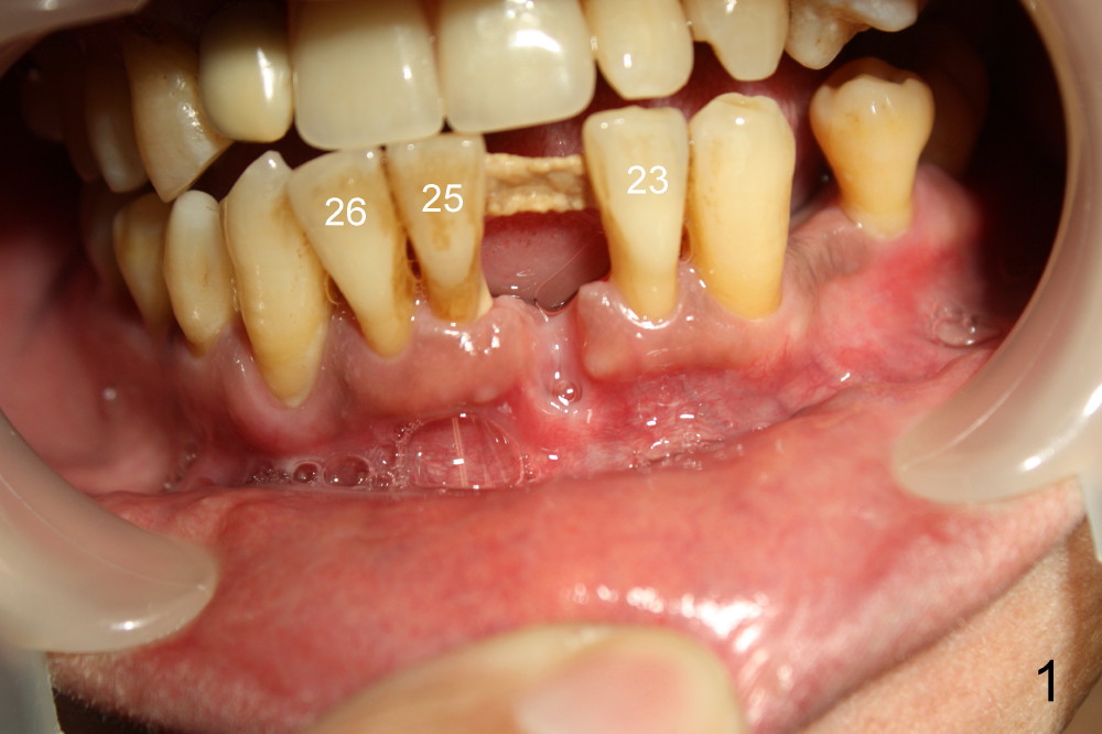
A 51-year-old man has history of periodontitis. The lower incisors have been splinted for several years. He lost a lower central incisor yesterday (Fig.1). The buccal plate of this missing tooth is atrophic. It is planned to have the remaining incisors extracted, place three of one-piece implants (4.0x17 for #23 and 3.5x17 for #25 and 26, Fig.2) and fabricate immediate provisional bridge. Any comments?
Reply from Bernee Dunson DDS (Saturday, January 12, 2013 9:02 AM): Can you extract these teeth and place one piece implants? YES, it is possible. However one should consider placing 3.5 mm implant if possible. The concern with the one piece can sometimes be restorative in nature (with regards to angulation).
Comments from Dr. Borgner (Saturday, January 12, 2013 10:22 AM): I prefer to use the two stage implants when placing multiple implants as this will insure that I can be sure all prosthetic components will align. When replacing lower anteriors or upper laterals I always used 3.5 implants as I wanted to be sure that I did not dihisce the buccal plates. In the case you asked about: If you do not restore the posterior segment of the lower arch you can expect the patient to again break down the anterior bridge supported by the implants. I would prefer restoring the anteriors splinted at least to the second bicuspid, as one piece, for long term stability.
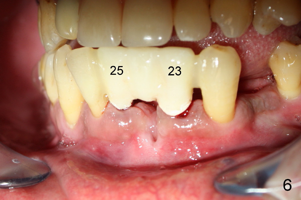
Dear Drs. Dunson and Borgner: Thank you for giving me invaluable advice, which I will use for future cases. In fact the teeth #23 and 25 were extracted last Thursday. The mesiodistal width of both roots is 3.5 mm, while the buccolingual 5 mm. It is presumed that a 4 mm implant should not perforate the buccal plate. On the other hand, the relatively large implant should fill most of the socket. Upon implant placement, the buccal plate does not feel to bulge or perforation, particularly in apical aspect, by tactile sensation. There is separation between the root of the tooth #22 and the pilot drill (1.5 mm) at the site of #23 whereas the space is limited between the pilot drill (2 mm) at the site of #25 and the root of the tooth #26. As Fig.4 and 5 indicate, a 4x17 mm one-piece implant is placed at the site of #23 and 3.5x17 mm at #25. A temporary bridge is fabricated between #23 and 25 and splinted to #22 and 27 (Fig.6). Since the abutment of the 4x17 mm one-piece implant is not tall, parallelism is not an issue after initial prep. The tooth #21 is missing. Do we still have to splint between #20 and #29 in one piece lingually?
Xin Wei, DDS, PhD, MS 1st edition 01/07/2013, last revision 01/13/2013