One Piece Tapered Implant for Lower Incisor

A fifty-eight-year-old lady is reported to have fractured the tooth #24.  If the tooth is deemed non-salvageable upon clinical examination next week, it appears that one-piece tapered immediate implant is preferable.

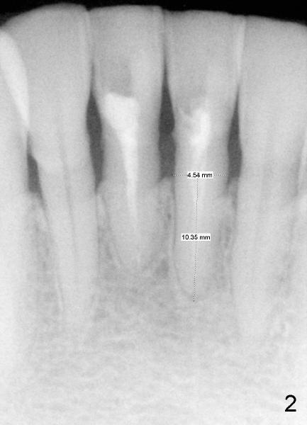
Two PAs were taken at different angulations (Fig.1,2 vs. 3,4).  The shortest M-D width of the tooth #24 is 3.16 mm (Fig.4 vs. 4.54 mm in Fig.2, probably close to the B-L width).

There is plenty of dimension in height.  What is the appropriate size of the implant?  How to handle the discrepancy of M-D and B-L widths?

Dr. Wei, The tapered one piece implant is perfect for this case. That is what I would use for this problem. Remember, torque to 40 ncm or above if you are going to immediate load and insure no contact of the provisional crown in centric or lateral movements. Dr Borgner 06/03/2012

Dr. Borgner:
Thanks for the advice in time. The patient is coming in one hour. Do you have special thought upon the diameter and length of one piece tapered implant?

Dr. Wei, Diameter of implant is determined by intra arch space . Length is determined by available bone. You must take measurements to make this decision. Dr Borgner 06/03/2012

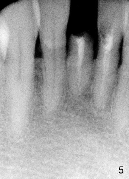
Dear Dr. Borgner: Thanks for the advice again. The patient showed up this afternoon. The tooth (in fact #25 in Fig.5) is pretty badly broken down, but the patient is not ready for implant right now. Prefabricated post and temporary crown are provided. Fig.6 shows the longest post space that can be gained. The mesiodistal dimension of the tooth is 3 mm above gingiva clinically; the buccolingual 5 mm; the minimal dimension between #24 and 26 is 3.5 mm. There is plenty of height. The longest one piece tapered implant from Tatum Surgical is 17 mm. The appropriate implant should be 3x17 or 3.5 x17 if the proximal surfaces of #24,26 are to be trimmed further. This was done when the temporary crown was fabricated. Anyway, thanks for guidance.

Xin Wei, DDS, PhD, MS 1st edition 06/02/2012, last revision 06/05/2012