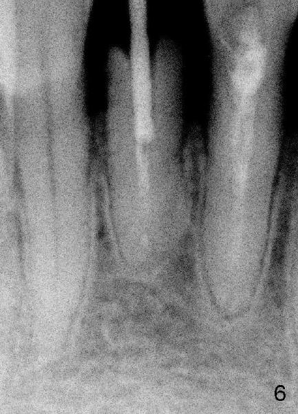
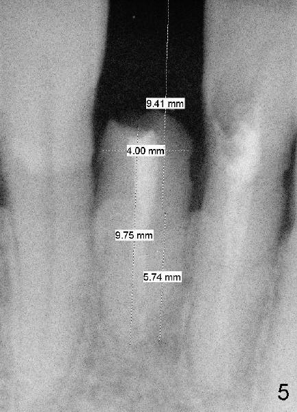
Fig.5 shows unfavorable crown/root ratio (9.41 mm vs. 5.74 mm); Fig.6 shows the longest post space that can be obtained using #2 Peeso bur. Return to main article

Xin Wei, DDS, PhD, MS 1st edition 06/05/2012, last revision 06/05/2012