![]() |
![]() |
![]() |
![]() |
|
![]() |
![]() |
![]() |
||
![]() |
![]() |
![]() 10 |
||
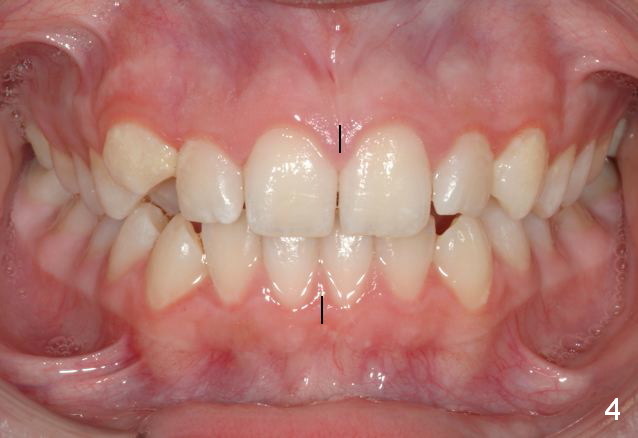
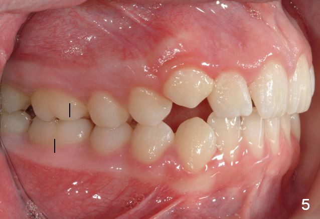
Unilateral Class II Malocclusion
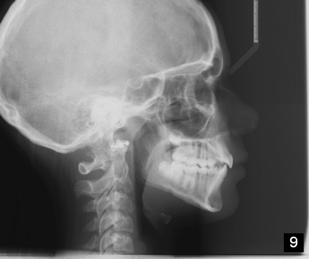
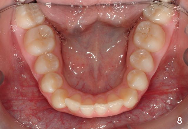
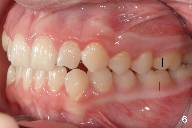
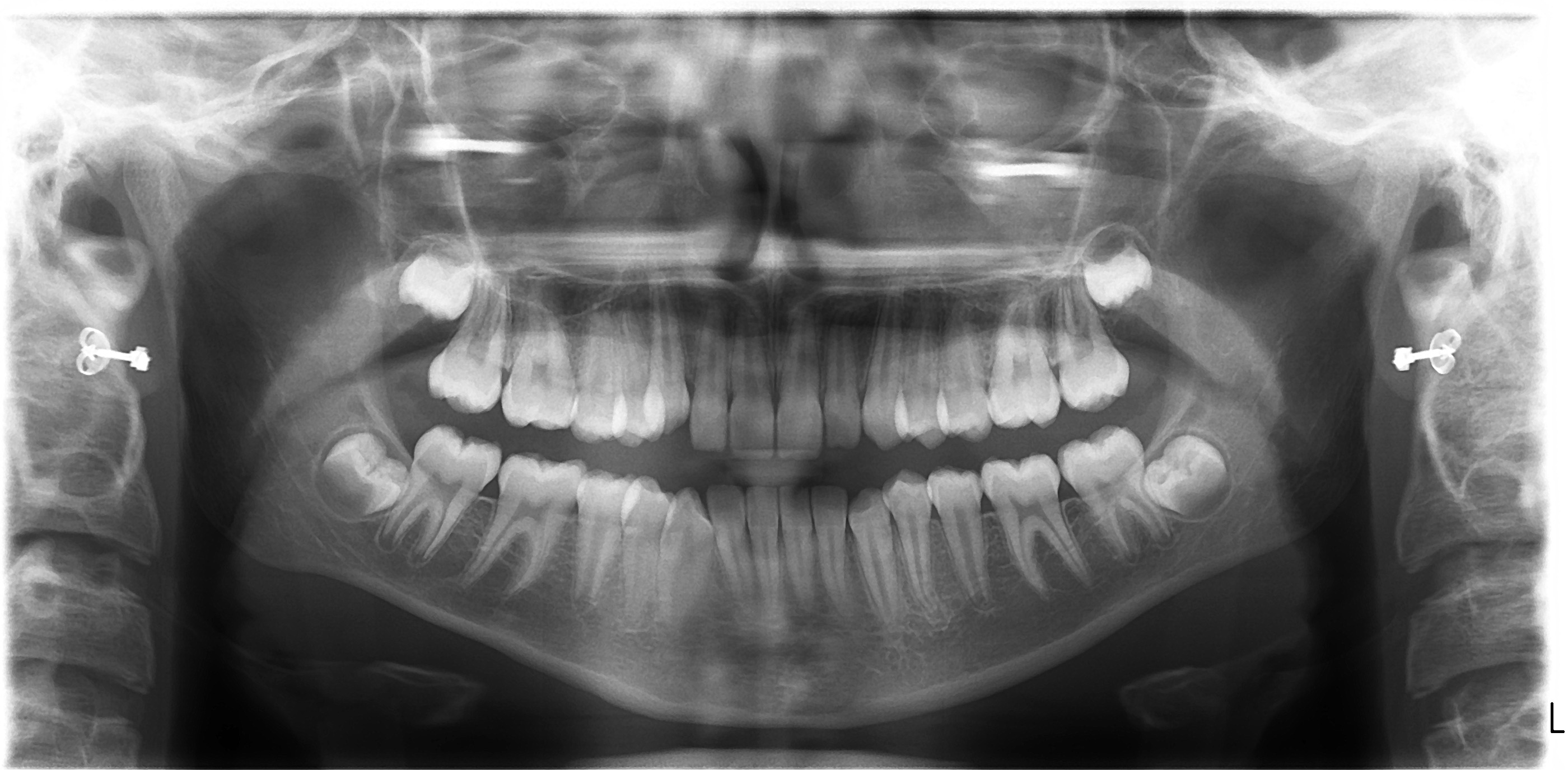
The upper dental midline deviates to the left (Fig.2,4). Facial profile is normal (Fig.3). The right molar relationship is Class II (Fig.5), while the left one is normal or slightly Class III (Fig.6). How to treat?
Return to
Dr. Shaughnessy's Ortho Cases
Xin Wei, DDS, PhD, MS 1st edition 08/06/2016, last revision 08/06/2016