![]() |
![]() |
|
![]() |
![]() |
|
Auxiliary Appliance
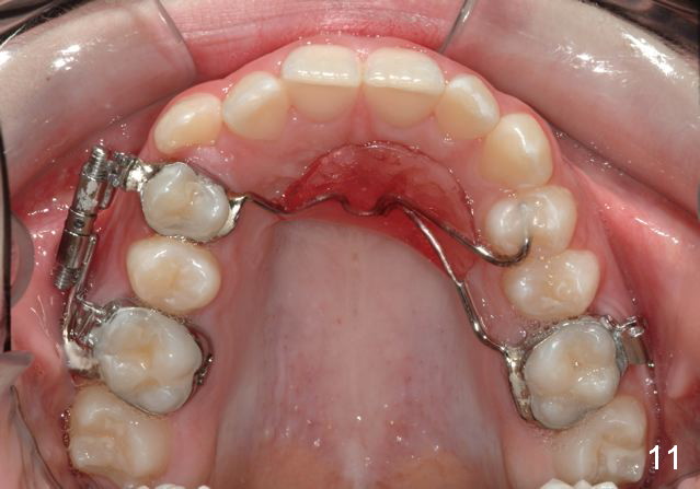
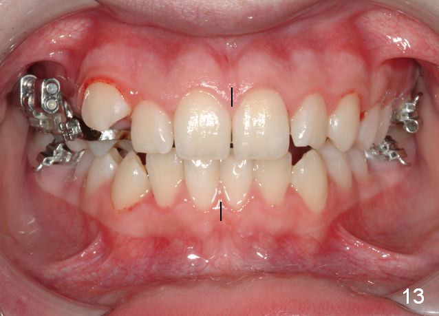
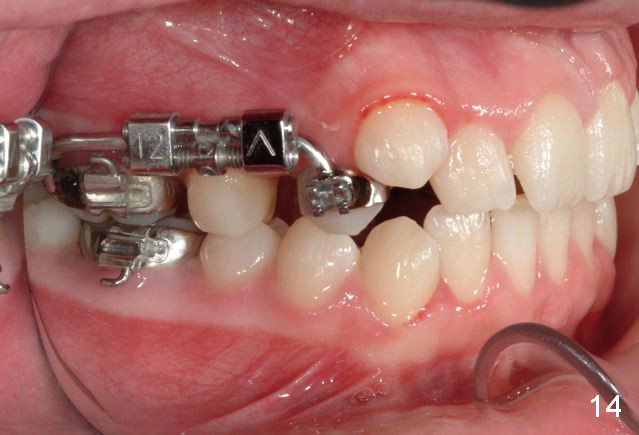
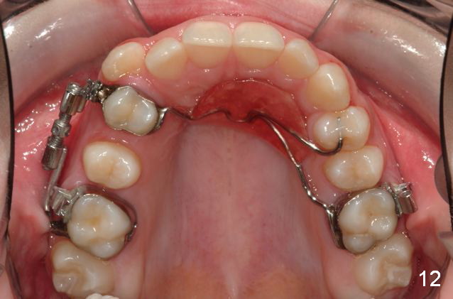
Rapid Molar Distalizer is placed (Fig.11). It is turned twice a week. UR6,7 are bodily distalized to Class I with gaining of the arch length 4 months 11 days later (Fig.12,14) without adverse effect on U midline (Fig.13). Final result?
Return to Dr. Shaughnessy's Ortho Cases
Return to
Upper
Lower Molar Immediate Implant,
Prevent Molar Periimplantitis (Protocols,
Table), IBS
Antibiotic
Xin Wei, DDS, PhD, MS 1st edition 08/06/2016, last revision 08/06/2016