![]() |
![]() |
![]() |
|
![]() |
![]() |
![]() |
|
![]() |
![]() |
![]() |
|
![]() |
![]() |
![]() |
|
![]() |
![]() |
||
Comprehensive Treatment
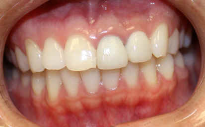
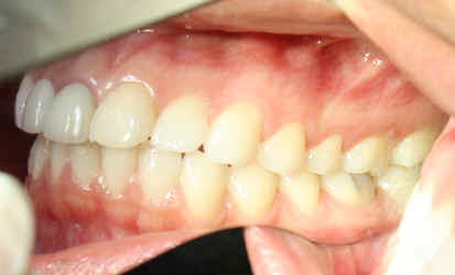
23 year-old female, "I want braces"
Dental history: #9 fracture at age of 8; #9,10 crowns (joined) 2 years ago; #9 has chronic apical infection, #19 extracted due to caries at age of 15
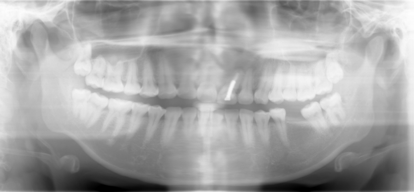
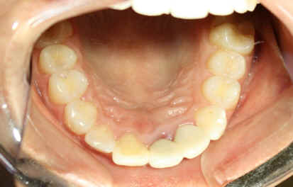
#1,16,32 extracted before comprehensive exam, after pan taken
Problems and Treatment sequence
Caries control
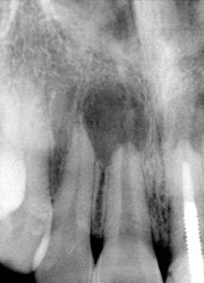
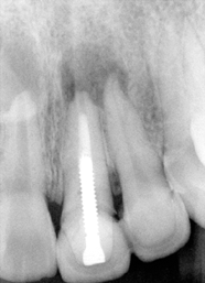
Remove #9,10 crowns, #9 lingual margin subgingival; pulpal test: #8,10 necrosis. Remove #9 post, redo RCT, #8, 10 RCT, #8,10 in office internal bleaching; #9 cast post, ortho extrusion before #9,10 crowns
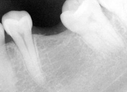
#18 mesiolingual tilt, #19 traditional implant and extract #17; once #19 implant is osteointegrated, it is to be used as an anchorage to upright #18, elastics between #15 buccal hook and 18 lingual button to correct linguoversion of #18
#14 supraeruption, mini-implants, orthodontic intrusion
Start tradtional orthodontic treatment