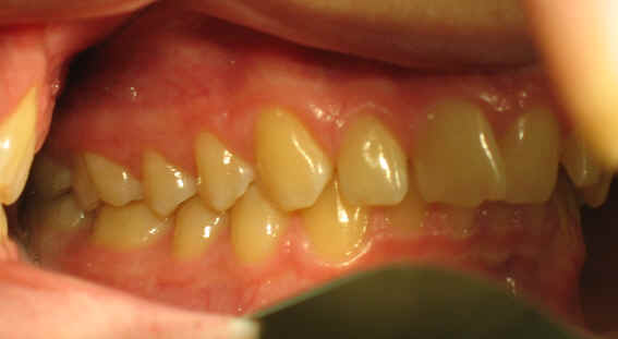
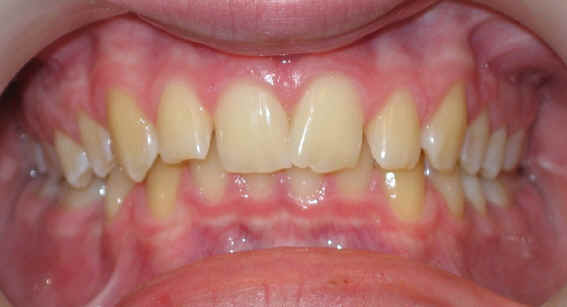
Malpositioned Premolar 13 year-old Caucasian boy

Pre-op 2009/04/18

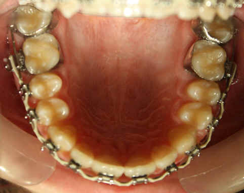
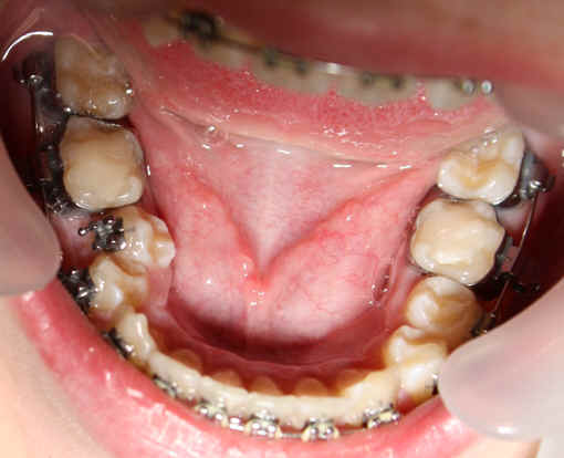
Intra-op 2009/09/10 U wire .018, L .020

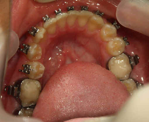
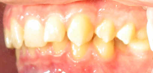
2009/10/31 U .016x.022, L to be .016 Niti

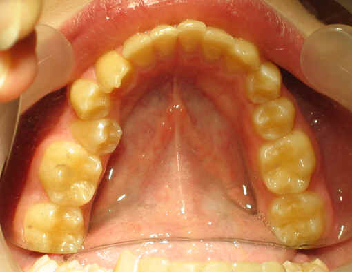
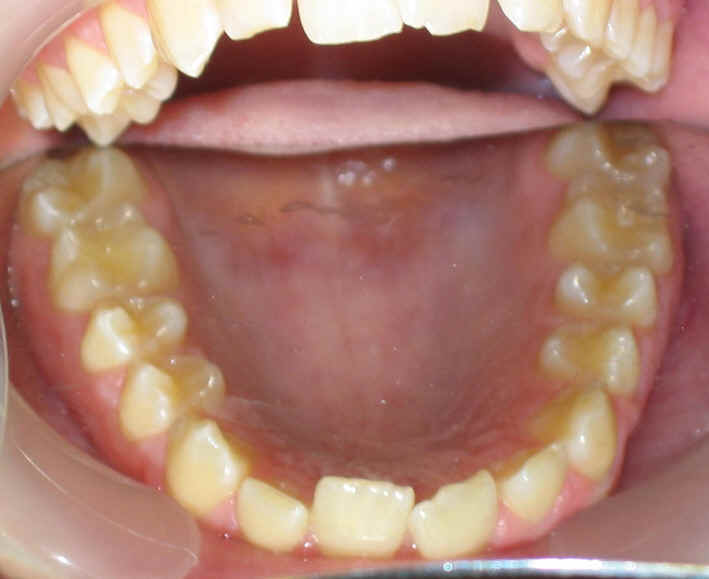
2009/12/19 U .016x.022, L .016 x .022 Niti

 

 
 
   

Back to top