![]() |
![]() |
![]() |
Deciduous Anterior Cross Bite
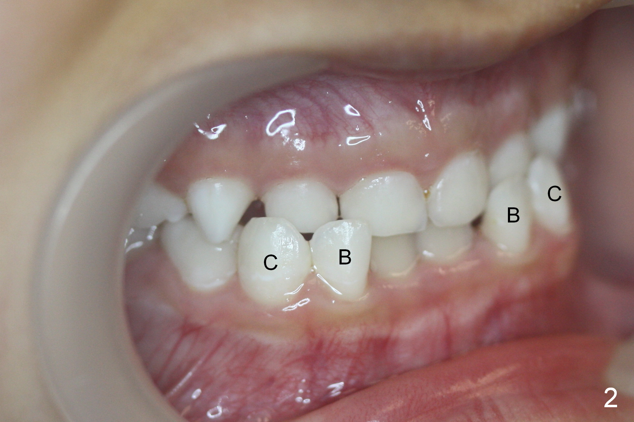
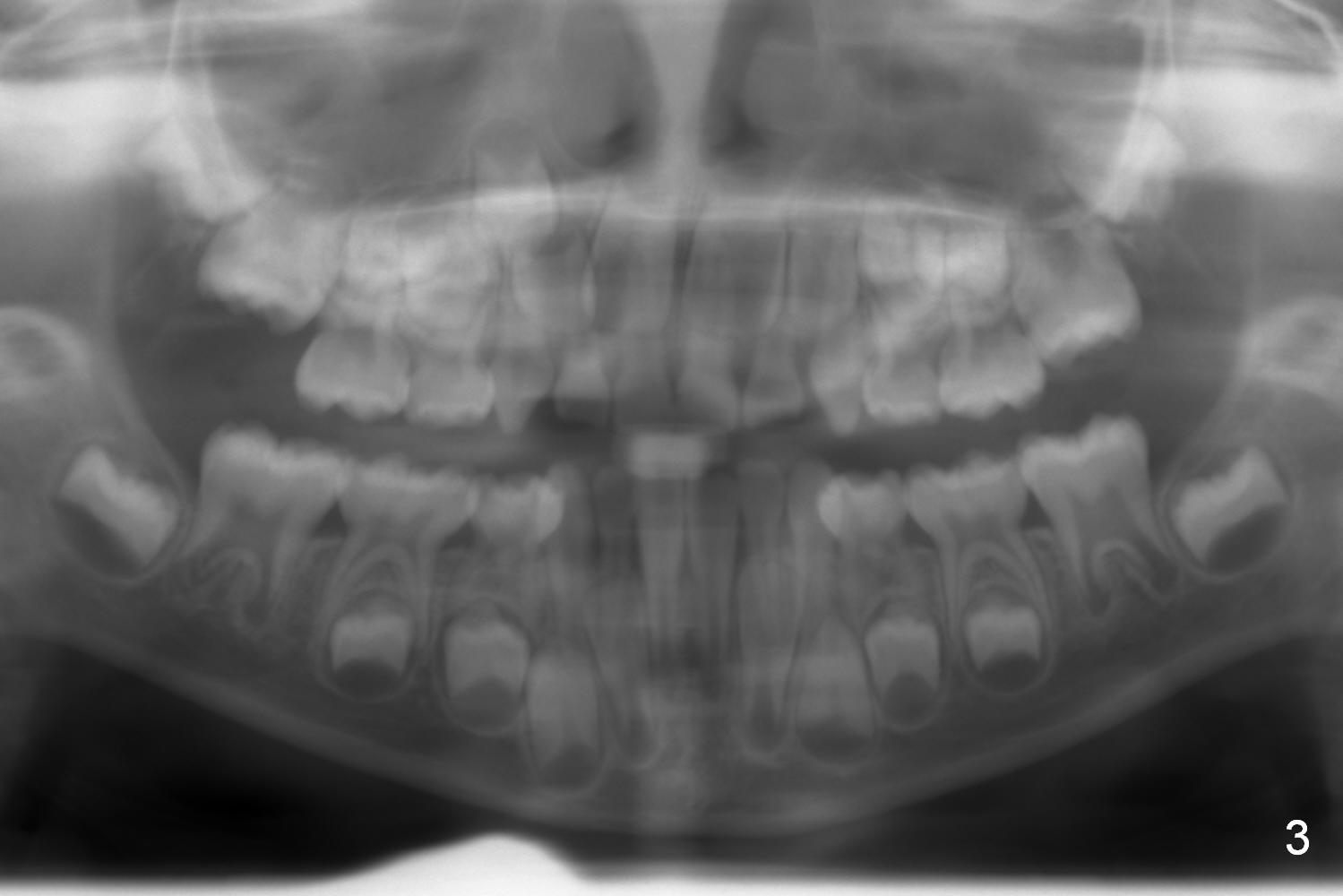
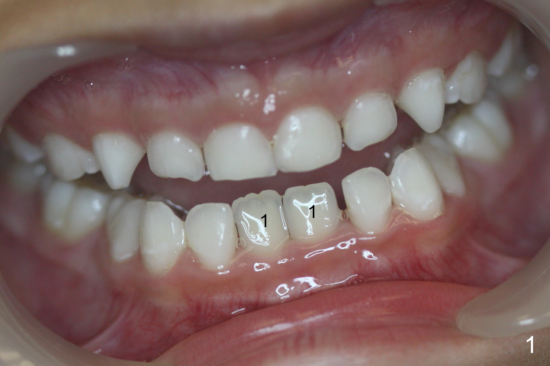
Unlike his brother, Andrew (7 years 10 months old) does not have missing teeth (Fig.1-3). But there is anterior cross bite involving the deciduous teeth (Fig.2: B, C). It appears that the permanent lower central incisors (Fig.1: #1) have erupted into the normal position (Fig.2). It is hoped that the anterior cross bite is a temporary phenomenon.
Return to
Professionals
Xin Wei, DDS, PhD, MS 1st edition 07/04/2016, last revision 09/15/2019