![]() |
![]() |
![]() |
![]() |
Identify of A Permanent Tooth is Most Likely Determined by the Underlying Mesenchyme
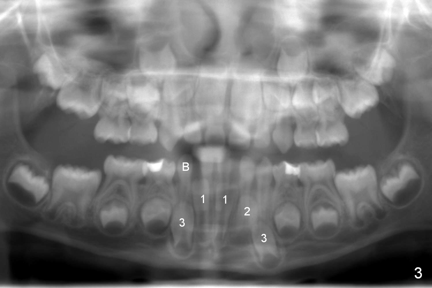
When a 6-year-4-month-old Oriental boy (XA) presents for new patient exam, the lower right (LR) deciduous canine (C) is found missing (Fig.1,2). The LR lateral incisor (B) is at the position of C. Which of the underlying permanent teeth is missing, lateral or canine?
As is known, the deciduous tooth buds give rise to the underlying permanent ones (Fig.4 (illustration for the anterior teeth). Where LR C is missing, most likely the permanent canine (LR 3) is missing (Fig.5,6), whether B is shifted or not.
In fact, in this case, the lateral incisor (LR 2) is missing (Fig.3, 7).
The most likely hypothesis is as follows. What the deciduous tooth bud gives rise to is the ectodermal component of the underlying permanent tooth (the enamel and cementum), but the identity (shape) of the tooth is predetermined by where the tooth bud is during tooth formation (i.e., mesiodistal position of the mesenchyme).
His elder sister and brother do not have similar malformation.
Return to
Professionals
Xin Wei, DDS, PhD, MS 1st edition 07/04/2016, last revision 09/15/2019