Fig.1, Next

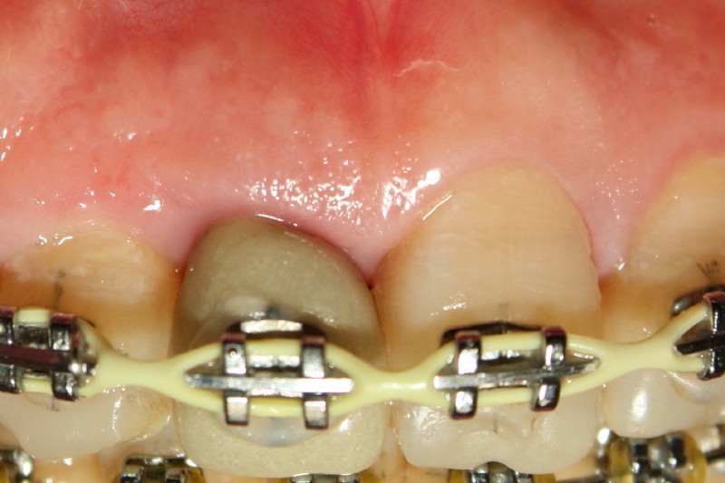
Fig.1PFM at #8 (implant) is shorter than crown at #9.  Return to main article

Xin Wei, DDS, PhD, MS 1st edition 03/17/2012, last revision 03/17/2012