![]() |
![]() |
![]() |
![]() |
![]() |
![]() |
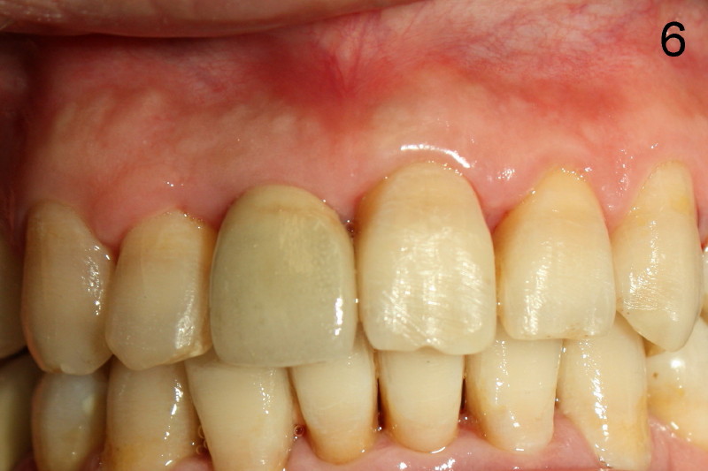
Cosmetic Crown Lengthening
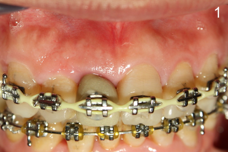
Forty-year-old lady has a history of trauma to #8, cross bite at #7, and limited space for #8 implant placement. She undergoes extraction of #8, orthodontics, implant placement and crown fabrication at #8. In addition to shade mismatch, the crown of #8 (implant) looks too short (Fig.1). The results from laser gingivectomy does not last long.
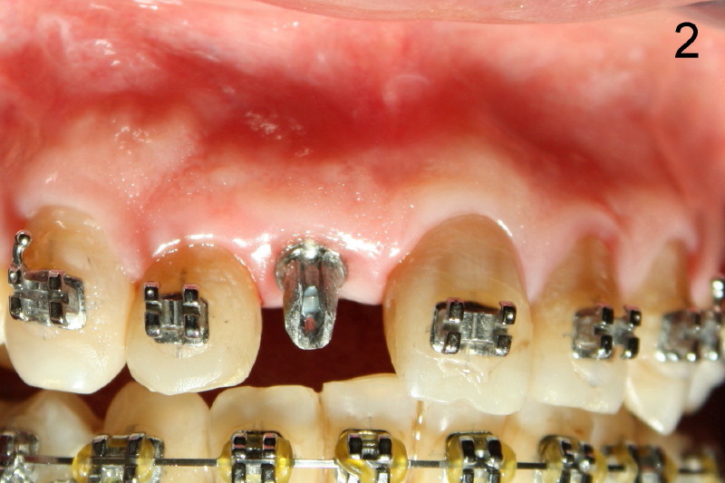
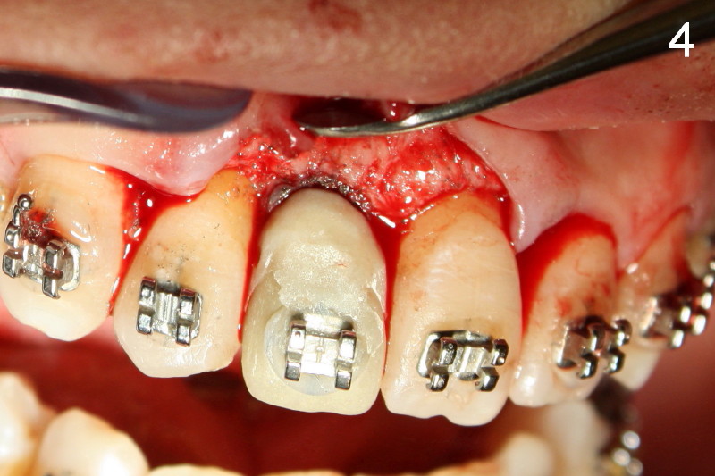
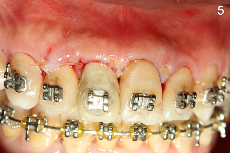
After crown removal, the margin of the implant is equigingival; its gingival margin is lower than that of #9 (Fig.2). The labial gingival flap is raised; the implant crown margin is prepped more apically (Fig.3, as compared to Fig.2). The original PFM crown is relined as a temporary crown (Fig.4). After further trimming of the temporary crown to create gingival embrasure and removal of minimal crest bone, the crown is cemented. The flap is sutured (Fig.5). Three months postop, PFM is cemented (Fig.6).
Xin Wei, DDS, PhD, MS 1st edition 03/1/2012, last revision 06/27/2012