| Previous, Fig.5, Next |
![]() |
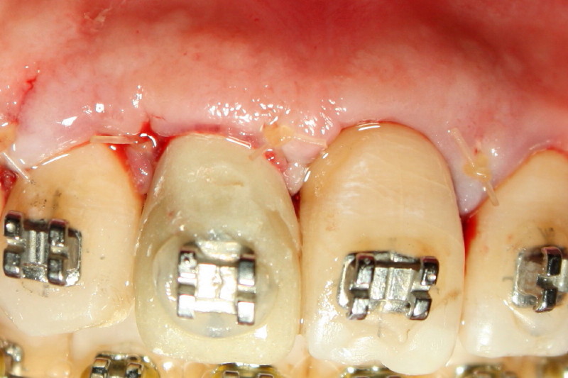
Fig.5. After further trimming of the temporary crown to create gingival embrasure and removal of minimal crest bone, the crown is cemented. The flap is sutured. Return to main article
Xin Wei, DDS, PhD, MS 1st edition 03/17/2012, last revision 03/17/2012