![]() |
![]() |
![]() |
![]() |
![]() |
![]() |
![]() |
![]() |
![]() |
![]() |
![]() |
![]() |
上颌窦(Maxillary sinus,图一)是头面部最大一对副鼻窦,位于上牙上方(图二,三),它大小不一,往前可达侧切牙,后面抵达上颌骨后缘。
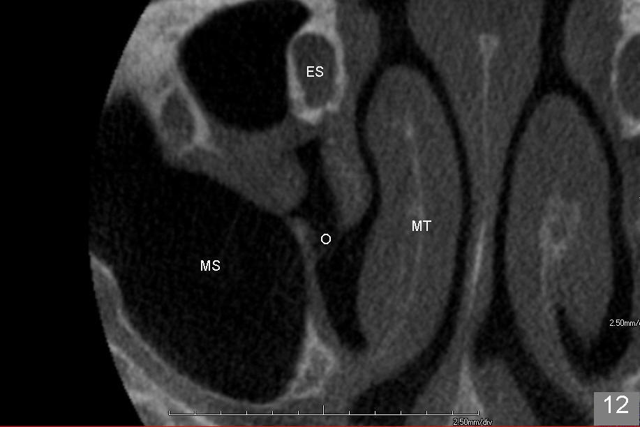
上颌窦开口高(Orifice(图四)(Ostium,图九) of maxillary sinus),上颌窦腔(图五:Antrum)有粘膜(Membrane)覆盖,分泌鼻涕。开口可被异物(包括牙根 (Tooth Root),图六),上颌窦提高术植骨(图七))阻塞。植牙,植骨最好不要接近上颌窦内侧,避免阻塞或者创伤上颌窦开口。开口阻塞造成分泌物滞留(图八:Fluid collected in sinus),感染。开口狭窄手术由图九右侧显示。
上颌窦手术后,病人即刻汇报患侧鼻塞,拍摄全景片,看不出来问题。给病人上颌窦术后医嘱,开喷鼻药(Afrin)和激素(Medrol Dosepak,减少水肿)。之后研究术前CT(图十至十二),但愿上颌窦分离内侧壁没有太过分。第二天鼻塞消失,病人并没有用喷鼻药,但是使用激素。
魏心牙科博士初稿05/26/2014,最后一次修改06/02/2014