![]() |
![]() |
![]() |
![]() |
![]() |
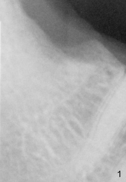
Fig.1: Approximately two months post extraction
Fig.7: Approximately four months post extraction; immediately post implantation
Fig.9: Two and a half months post implantation. The mesial lamina dura (Fig.9': arrowheads) is disappearing, while the bone density immediately next to the implant increases probably due to extension of trabecules across the lamina dura (long arrow).
The mesial lamina dura disappears 12 months post cementation or 18 months postop (Fig.10).
Return to Gagger
Xin Wei, DDS, PhD, MS 1st edition 04/20/2013, last revision 08/08/2015