![]() |
![]() |
![]() |
![]() |
![]() |
![]() |
![]() |
![]() |
![]() |
![]() |
When Preop PA Does Not Show the Inferior Alveolar Nerve Well...
When an implant is planned for a lower 2nd molar, a periapical X-ray should be taken. Panramic X-ray is not enough. A gagger may not tolerate a sensor to be placed in the posterior lingual vestibule. If it is found preop, CT should be taken. The length of the implant is tightly controlled. Intraop PA can be omitted. If the preop PA is not taken and difficulty of taking PA is found intraop, the surgery may have to be cancelled.
Maia (49 years old) is a typical gagger. She is apprehensive. Preop PA does not show the inferior alveolar nerve (IAN) canal completely (Fig.1 red dashed line). She is willing to get CT, which reveals the relationship between the healing socket and the nerve (N) (Fig.2 (sagittal section), 3 (coronal)). A 6x14 mm tissue-level implant is planned.
Infiltration anesthesia is administered with 68 mg of Septocaine, 34 mg of Lidocaine, 34 mcg of Epinephrine around the site of the lower right 2nd molar. An incision is made. A 2 mm pilot drill is used to initiate osteotomy at the depth of 8 mm. A parallel pin is inserted for the 1st intraop PA (Fig.4: P), which shows once more time the likelihood of incooperation from the patient. Combined with the information from CT, it appears alright to continue increasing osteotomy in the diameter and depth until 5x11 mm (Fig.5,6 (T: tap)). A 6x14 mm tap is inserted at 11 mm in bone. When the tap is removed, an explorer is used to check the intrigity of the osteotomy walls. No vibration is palpated linguoapically during drilling and inserting taps. There is no abnormal hemorrhage from the osteotomy. Finally 6x14 mm implant is placed as expected (Fig.7). The wound is healing 6 days postop (Fig.8).
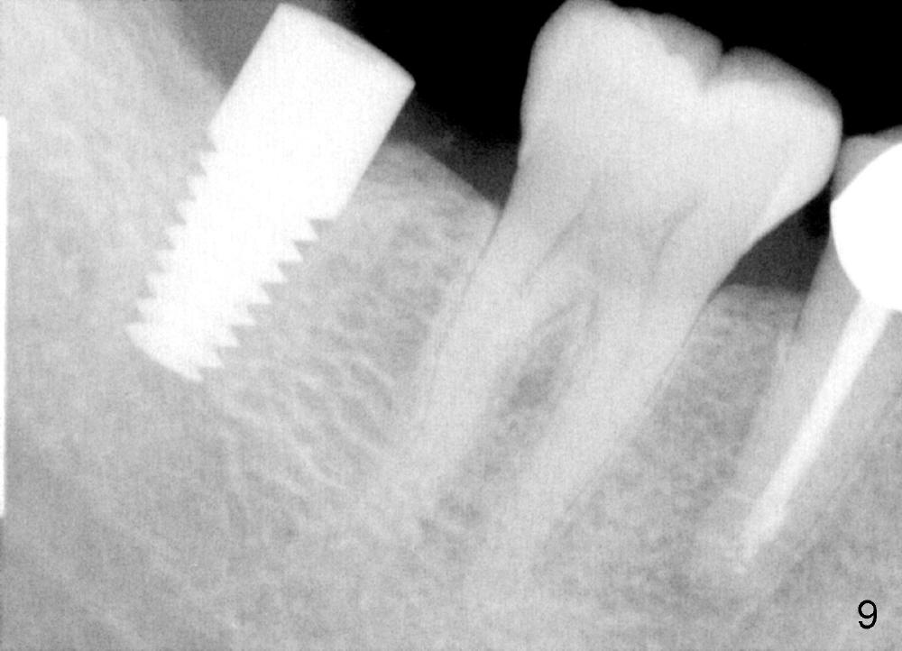
Bone density immediately next to the implant increases while the mesial lamina dura is disappearing 2.5 months postop or 18 months postop (Fig.9, as compared to Fig.1,7).
The mesial lamina dura disappears 12 months post cementation or 18 months postop (Fig.10).
Return to Practical Anatomy for Implantology,
Lower Molar Immediate Implant
Xin Wei, DDS, PhD, MS 1st edition 04/20/2014, last revision 08/08/2015