![]() |
![]() |
![]() |
![]() |
|
![]() |
![]() |
|||
![]() |
![]() |
![]() |
||
Anatomic Basis of Paresthesia after RCT Retreat
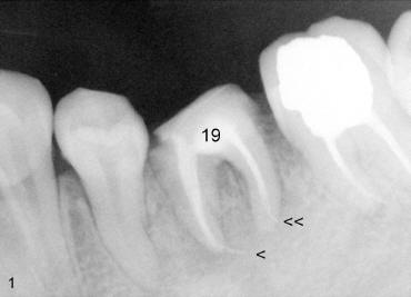
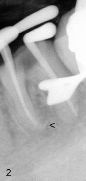
A 31-year-old otherwise healthy Chinese lady has had discomfort since RCT was done for the tooth #19 in home country ~2 years ago (Fig.1). Gutta percha (GP) appears to extrude both in mesial (<) and distal (<<) canals, surrounded by periapical radiolucency (PARL). Two carpules of 2% Lidocaine with 1:100,000 Epinephrine are used for RCT retreat. The patient does not experience any sharp pain during the first injection. Two rubber dams are used due to the short clinical crown of #19 (Fig.2,3). Fig.2 shows master cones (30/.06 M, 40/.06 D) after removal of existing gutta percha using Chloroform. It appears that extruded mesial GP remains outside the apex (< in Fig.2). It is confirmed after removing master cones (< in Fig.3). Working length is controlled by Apex locator during canal re-shaping using GT rotary files. In attempt to remove apparent GP in mesial canal(s) and extruded one outside the apex, #15 hand file is reused at WL+1mm with Chloroform for one or twice for each canal. After adjusting distal GP length, cold lateral condensation is finished with AH26 plus paste and pre-existing PFM crown is recemented (Fig.4). It is apparent that the previously extruded GP is not removed (< in Fig.4).
Post-operatively, the patient reports paresthesia of the lower left lip and tightness of the lower left teeth. The extent of paresthesia is marked and recorded 4 days after RCT retreat. In spite of some paresthesia improvement, CBCT is taken 24 days after RCT retreat. It shows that there is a communication (black and white < in Fig.6) between PARL (red <) and the inferior alveolar nerve (I). There are no similar findings (communication or PARL) on the right side (Fig.5).
Cross sections through the furcae of #30 and 19 re-confirm that trabecular patterns are normal under the furca of #30 (< in Fig.7), whereas there is abnormal communication between PARL (above black < in Fig.8) and the inferior alveolar nerve (I).
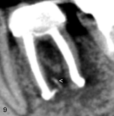
It is most likely that leaking of sodium hypochlorite (1.25%) and Chloroform through the enlarged pre-existing apical foramina causes temporary chemical burning of the inferior alveolar nerve through the abnormal communication and also by gravity. Mechanical mechanism such as extruded GP (< in Fig.9) is less likely.
The nature of the abnormal communication is intriguing. It may be an abnormal branch of the inferior alveolar nerve. The reasoning is that the border of this communication (between black and white < in Fig.6,8) is as smooth as that of the inferior alveolar nerve. In contrast, the border of PARL is irregular and rough. The second possibility is that this abnormal communication is a pathological change similar to PARL. We may get an answer if we can follow up the case closely. If this RCT retreat proves to be successful, PA will be taken every 6 months. Once periapical lesion heals unambiguously in traditional X-ray, CBCT is retaken. If PARL disappears whereas the abnormal communication does not, the hypothesis of abnormal branch of the inferior alveolar nerve is established. This proves to be bad news for implantologist. He has less bone height (~ 6 mm in this case) to place an implant in the first molar area (Fig.6). The second possibility is that both PARL and the abnormal communication disappear together. To retreat overfilled cases, control of WL is paramount.
In fact, the traditional X-ray can also show the coronal portion of the abnormal communication (Fig.1). One or two months later, paresthesia disappears with occasional mild pain, reported by the patient. She has not returned for follow-up.
When I presented Fig.1 and short history to Dr. Fang, he replies as follows
魏心:
这儿有两个问题:
1. coronal sealing 欠佳,buildup 有泄漏,可能有coronal来源的感染。
2.
致命的疏失,近中根GP超出4-5mm+, 很明显伴有根尖撕裂。远中根充填也有问题。
我建议分两部走:1)orthograde endo
2)观察一段时间,再作 retrograde endo 理由:直接作retrograde endo,只能解决近中根的部分问题,而忽视了可能存在的
coronal来 源的infection及远中根的问题。Attn: 近中根Wein2 而远中根Wein4的可能性;
在做近中时先以舌侧根管为单一弯曲的主根管。You need use very good informed consent with current
situation and don't exclude the possibility of extraction anyway. Relax and take
it easy!
方炳忠
08/02/12
在一切开始之前,变换两个不同的角度重摄PAs, 证实根管角度与超充。
方炳忠
Xin Wei, DDS, PhD, MS 1st edition 04/05/2011, last revision 08/03/2012