![]() |
![]() |
|
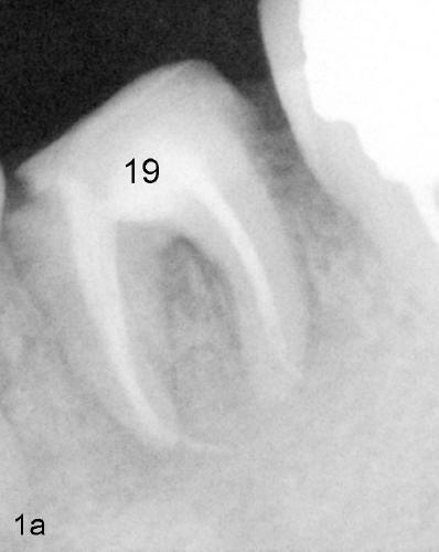
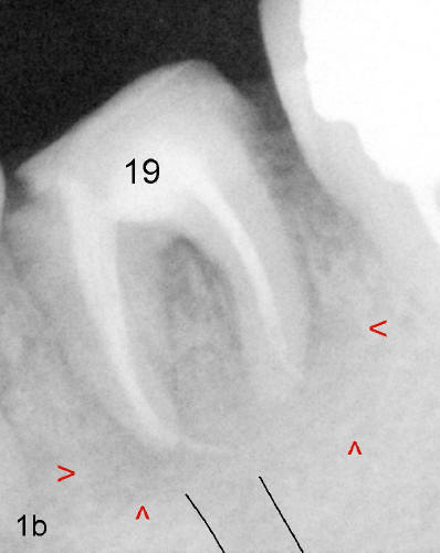
Traditional X-ray can still shows PARL (red <) and abnormal communication (black lines) before (Fig.1a) and after (Fig.1b) being labeled, as compared to CT image on the far right side, back to original article
Xin Wei, DDS, PhD, MS 1st edition 04/05/2011, last revision 04/05/2011