![]() |
![]() |
![]() |
![]() |
|
![]() |
![]() |
![]() |
![]() |
|
![]() |
![]() |
![]() |
![]() |
|
![]() |
![]() |
|||
Which is the Infected Tooth?
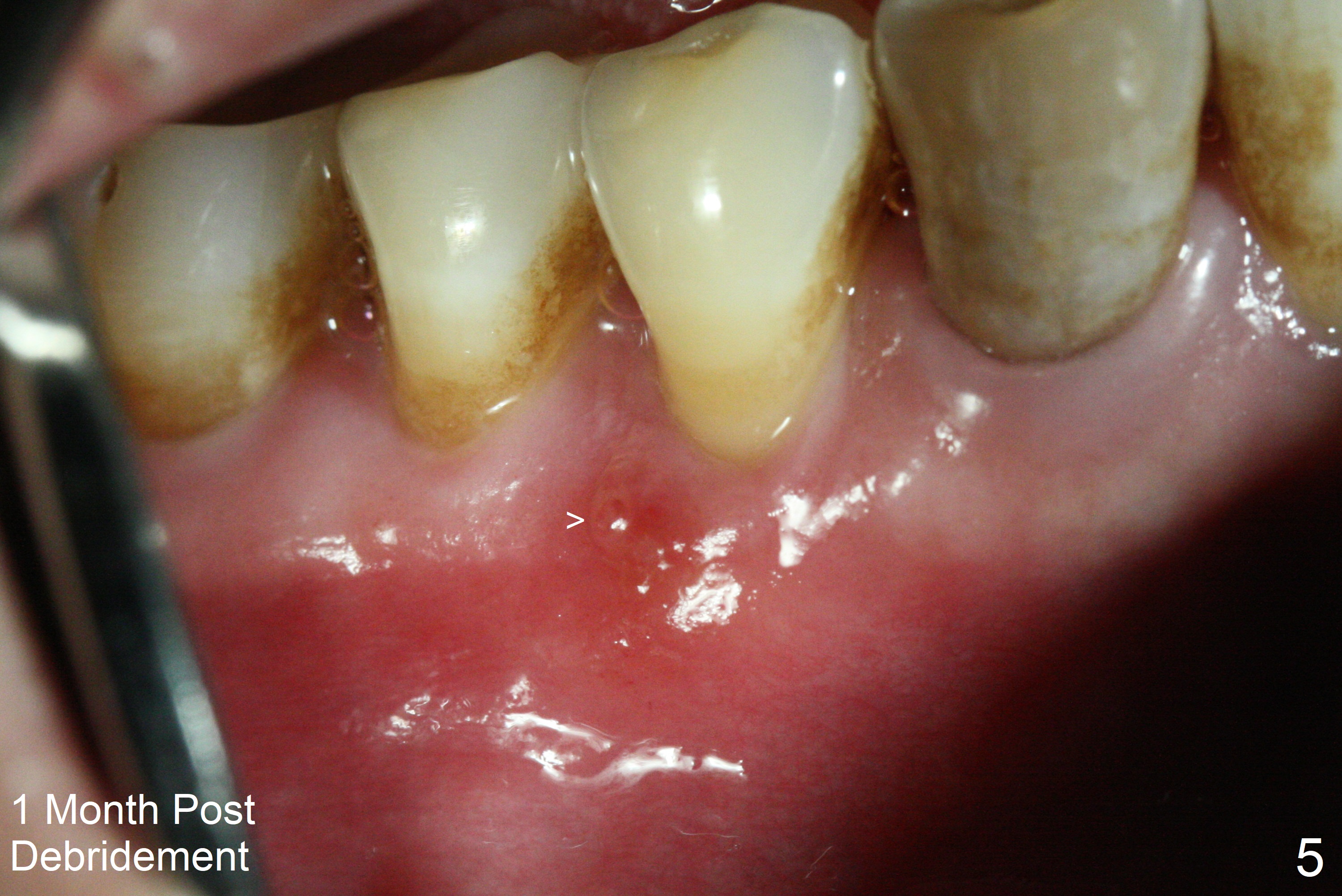
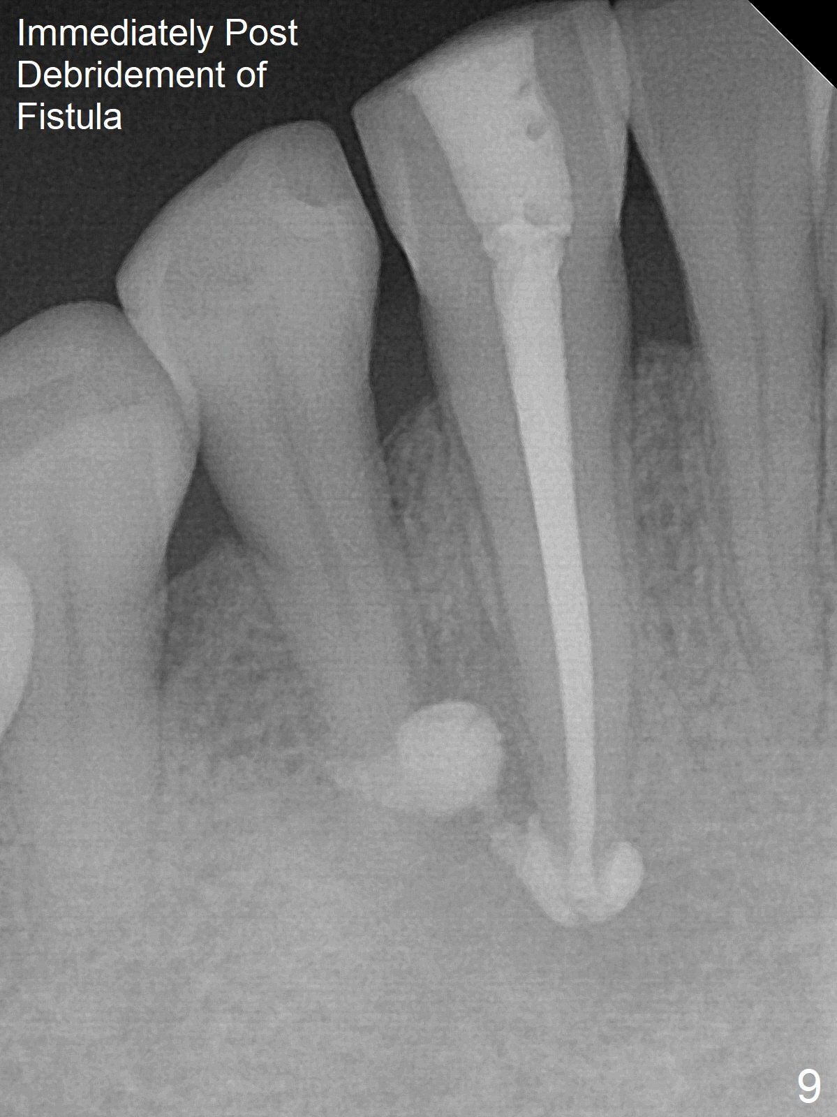
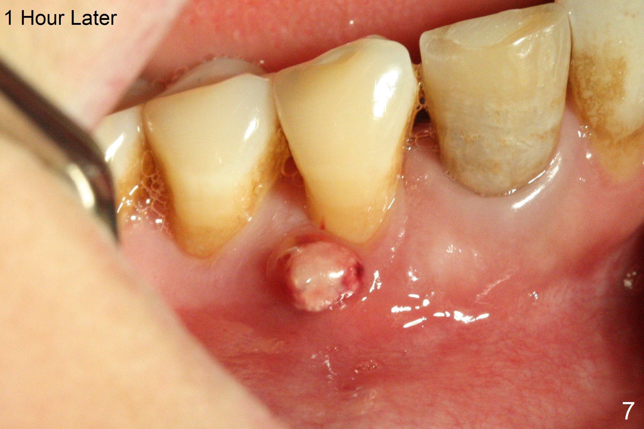
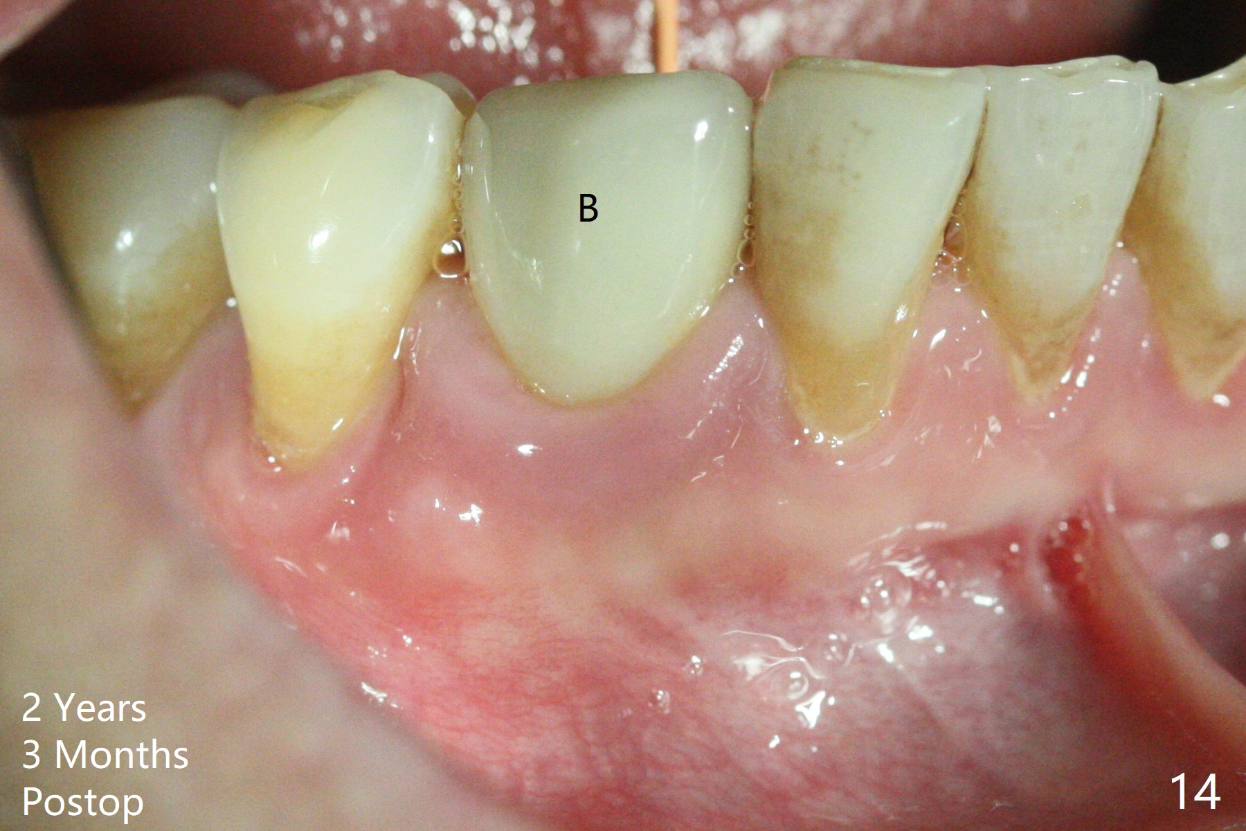
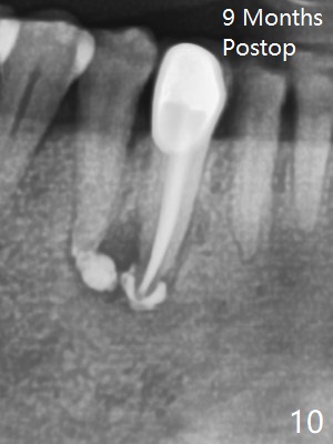
The patient reports that the fistula disappears after initial RCT at #27, but it seems to re-appear 1 month post canal debridement (Fig.5 >). After repeated debridement with #40 hand file at 23 mm, apply Endo Sequence BioCeramic Sealer and insert GT 40/.08 master cone with black carrier (Fig.6). One hour later, the patient returns with re-appearance of the fistula (Fig.7). Following local anesthesia, poking the fistula leads to sealer escape (Fig.8). After debridement of the fistula until the bone, PA is retaken (Fig.9). A crown was made in China; mesial radiolucency starts (Fig.10). The tooth remains asymptomatic 1 year 5 months postop (Fig.11). There is a lingual fistula with enlarged mesial radiolucency 2 years 3 months postop (Fig.12-14).
Return to
Professionals
Last
Next
Xin Wei, DDS, PhD, MS 1st edition 03/15/2018, last revision 06/09/2020