![]() |
![]() |
![]() |
![]() |
Which is the Infected Tooth?
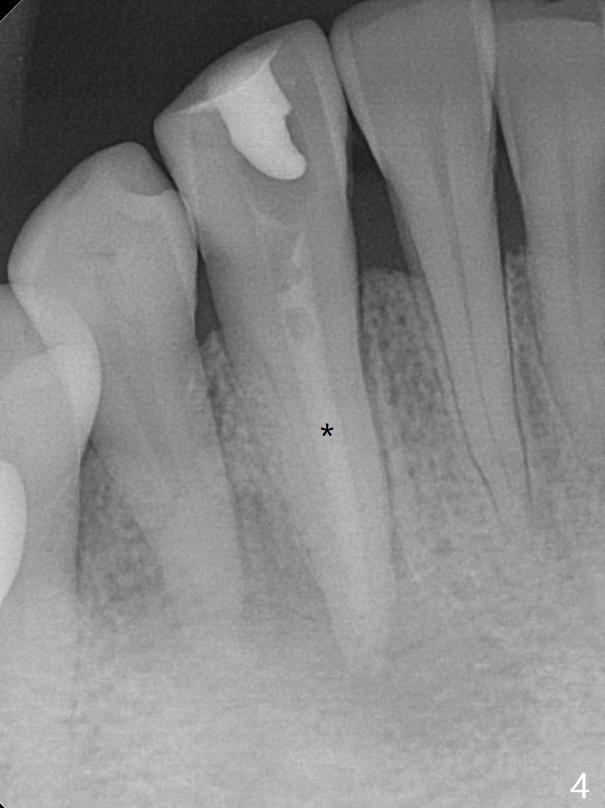
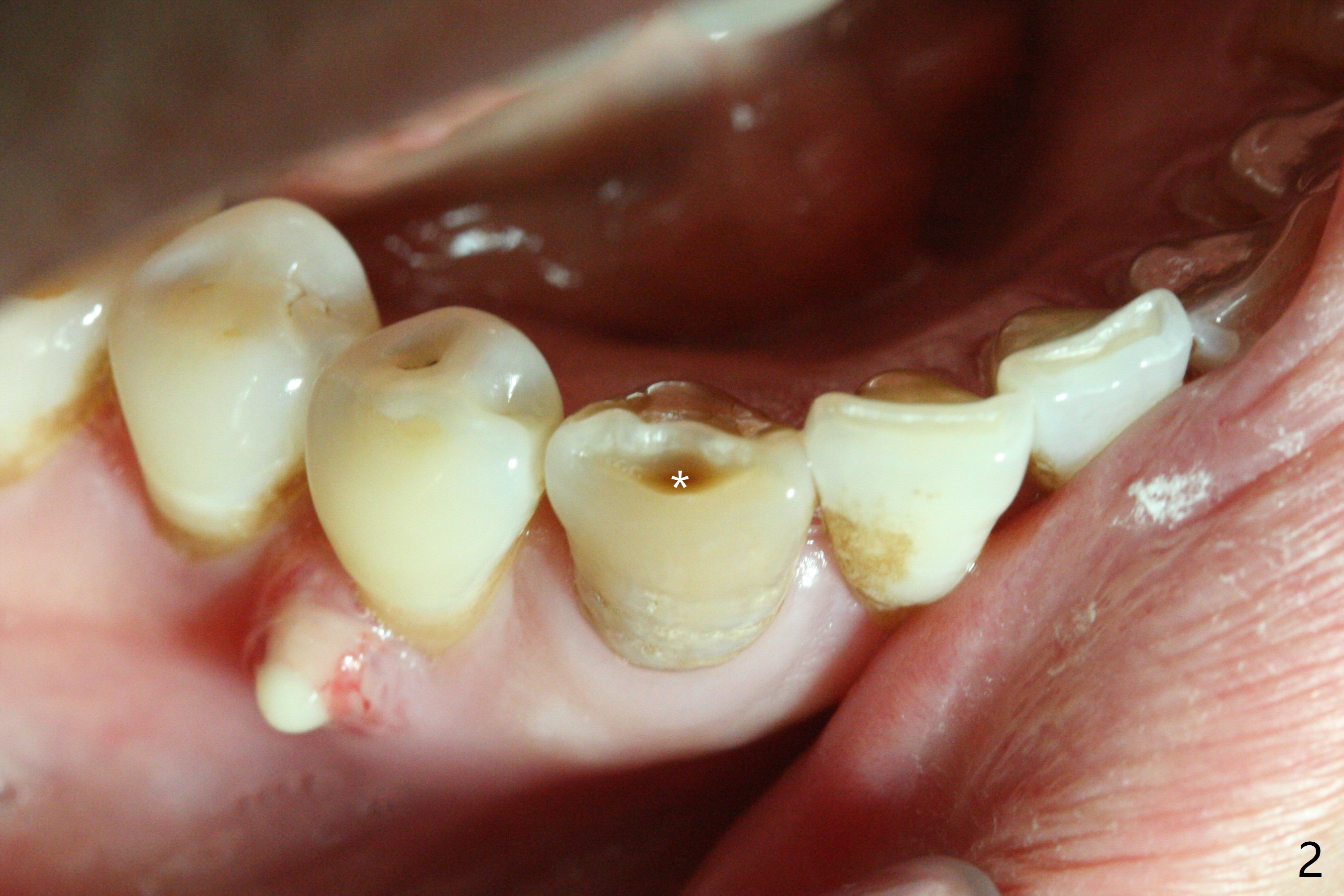
A 47-year-old woman with autoimmune hepatitis has a fistula distal to the tooth #28, but the tooth #27 is discolored and necrotic (pulpal test: 28 vital, Fig.1) with an incisal dimple (wear facet, Fig.2). Periapical radiolucency appears to involve the teeth #27 and 28. RCT is initiated at #27 through the incisal dimple. The orifice is reached immediately. Occasionally Sodium Hydro chlorite solution seems to leak out of the fistula. After debridement and placement of Ca(OH)2 paste (Fig.4 *) in the canal, the fistula is apparently shrunken (data not shown). The patient is scheduled to return 1 month.
Return to
Professionals
Last
Next
Xin Wei, DDS, PhD, MS 1st edition 02/14/2018, last revision 06/09/2020