![]() |
![]() |
Which is the Infected Tooth?
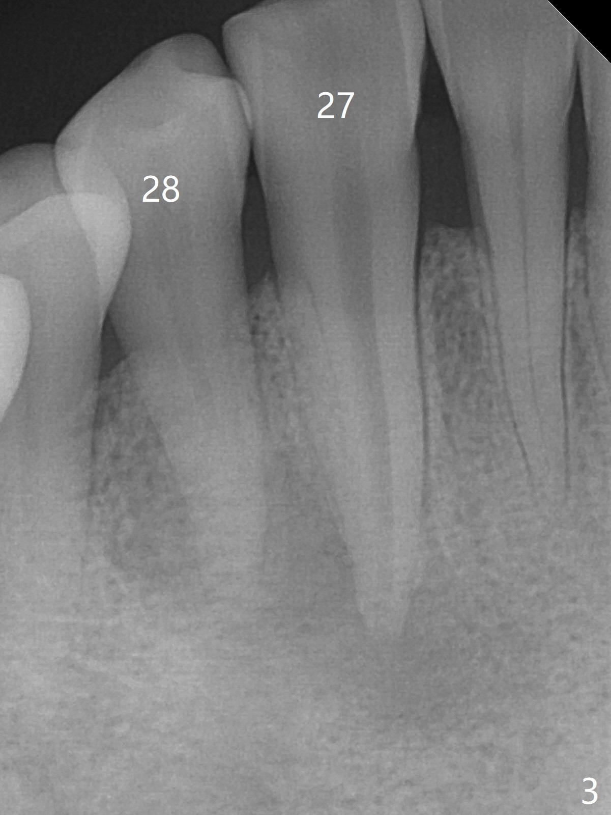
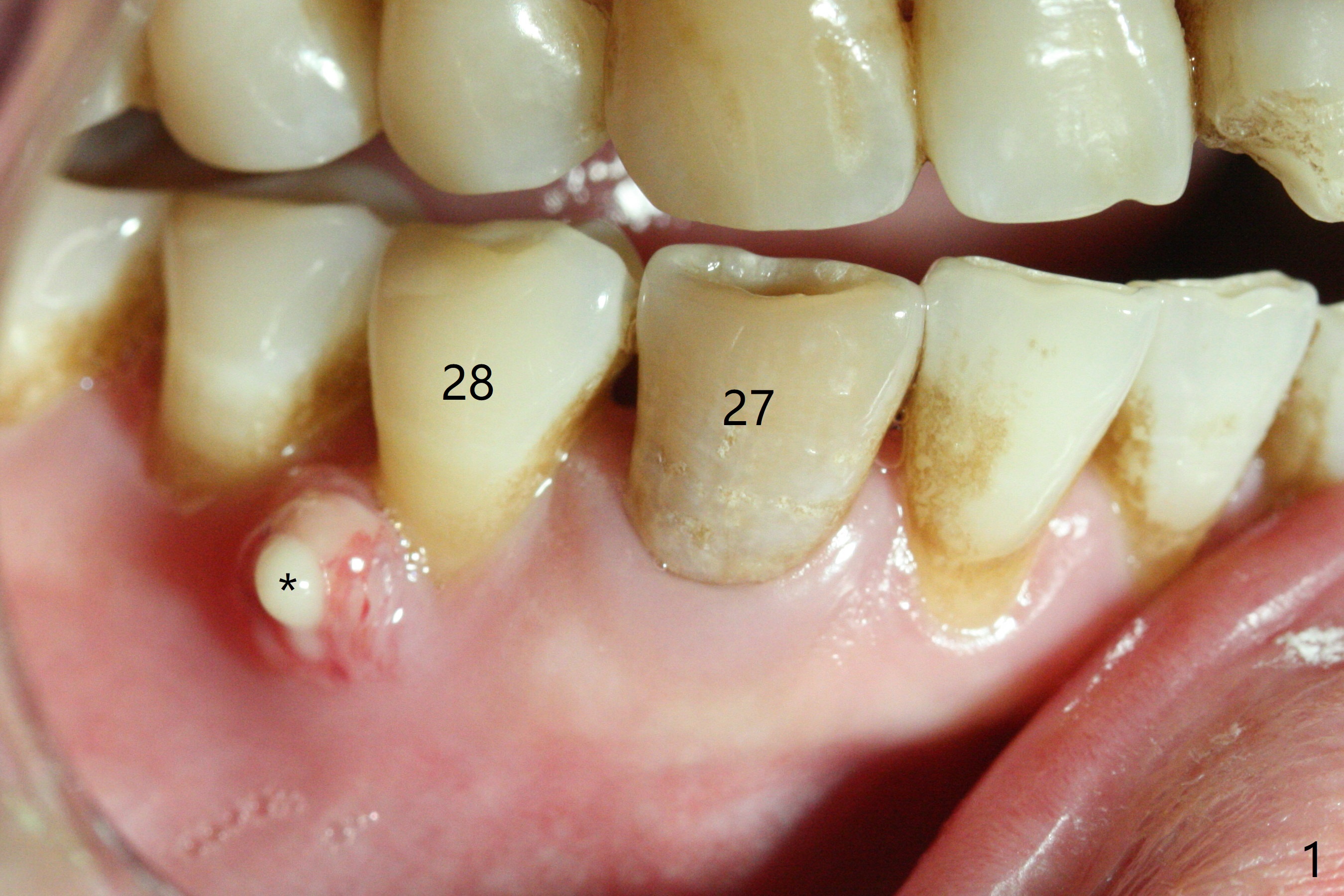
A 47-year-old woman with autoimmune hepatitis has a fistula distal to the tooth #28 (Fig.1). Periapical radiolucency appears to involve the teeth #27 and 28. Which is the infected tooth? Treatment plan?
Return to Professionals Xin Wei, DDS, PhD, MS 1st edition 02/14/2018, last revision 06/09/2020