![]() |
![]() |
||
![]() |
![]() |
![]() |
|
![]() |
![]() |
![]() |
![]() |
Ridge Split (Part I)
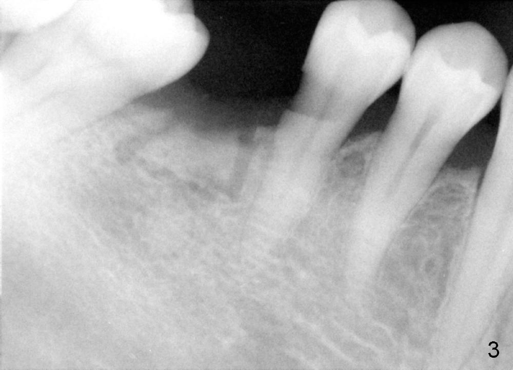
The ridge of the lower right molar is narrow buccolingually (Fig.1). After incision, ridge split is finished with a surgical fissure bur (Fig.2,3).
The patient is scheduled to return for implant placement 3 weeks later. The red lines in Fig.4 (CT coronal section) represent bony cuts in the ridge. A transverse incision is made over the top of the ridge with minimal exposure of the ridge. A curved osteotome is inserted into the upper bony cut (Fig.5). As the chisel is tapped in, the buccal segment moves buccally (Fig.6 pink arrow). When the chisel is withdrawn, a pilot drill is used to initiate osteotomy (Fig.7). As drills increase in diameter, the buccal segment continues moving buccally (Fig.8). Finally a bone-level implant (4.1 or 4.5x12 mm, Fig.9) or sub-crestal implant (4 or 4.5x8) is placed. Will the ridge split work?
Return to Professionals,
Lower Molar Immediate Implant
Xin Wei, DDS, PhD, MS 1st edition 11/16/2014, last revision 12/04/2014