![]() |
![]() |
![]() |
![]() |
![]() |
![]() |
Two Approaches for Upper and Lower Molar Implants
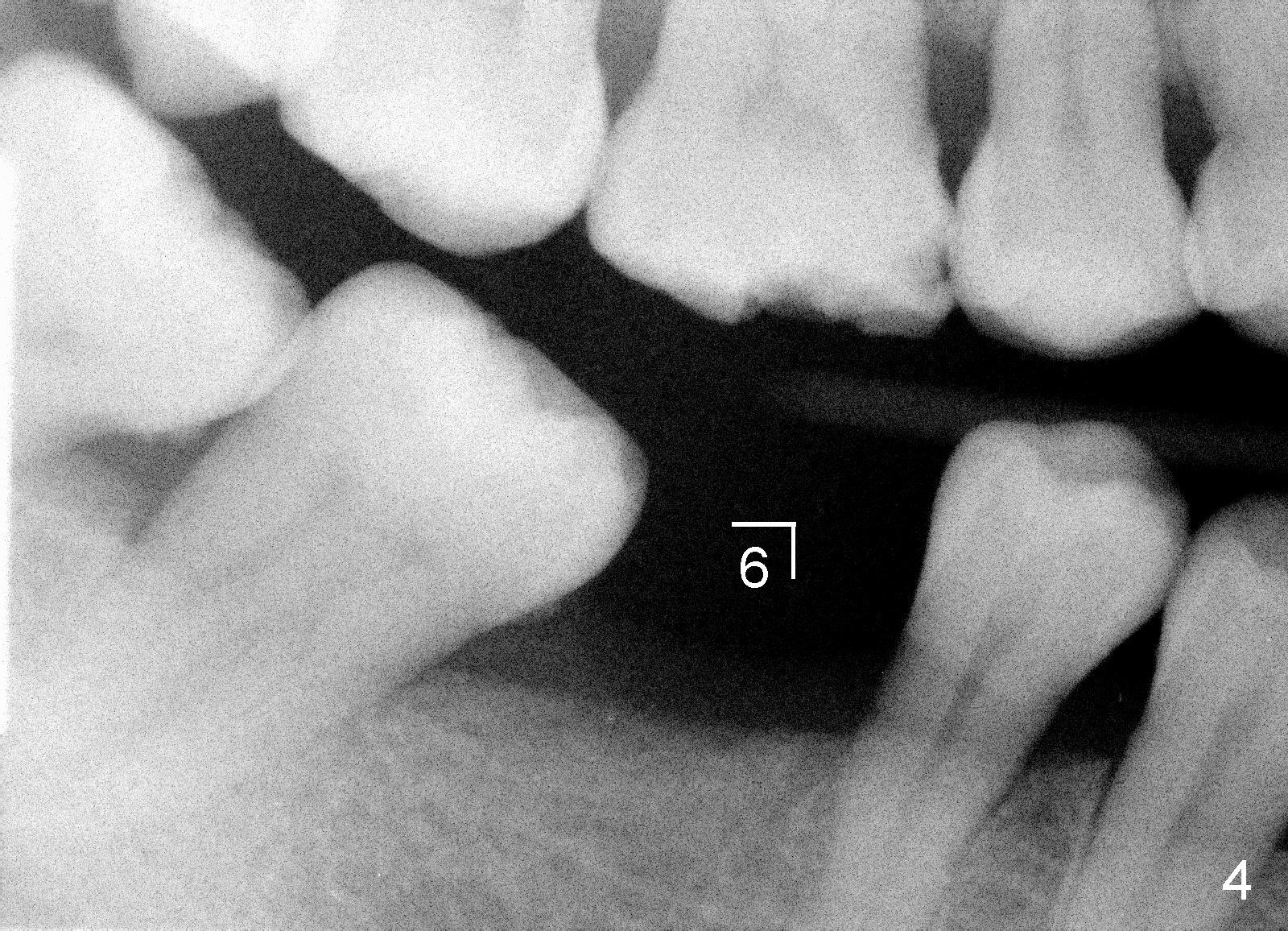
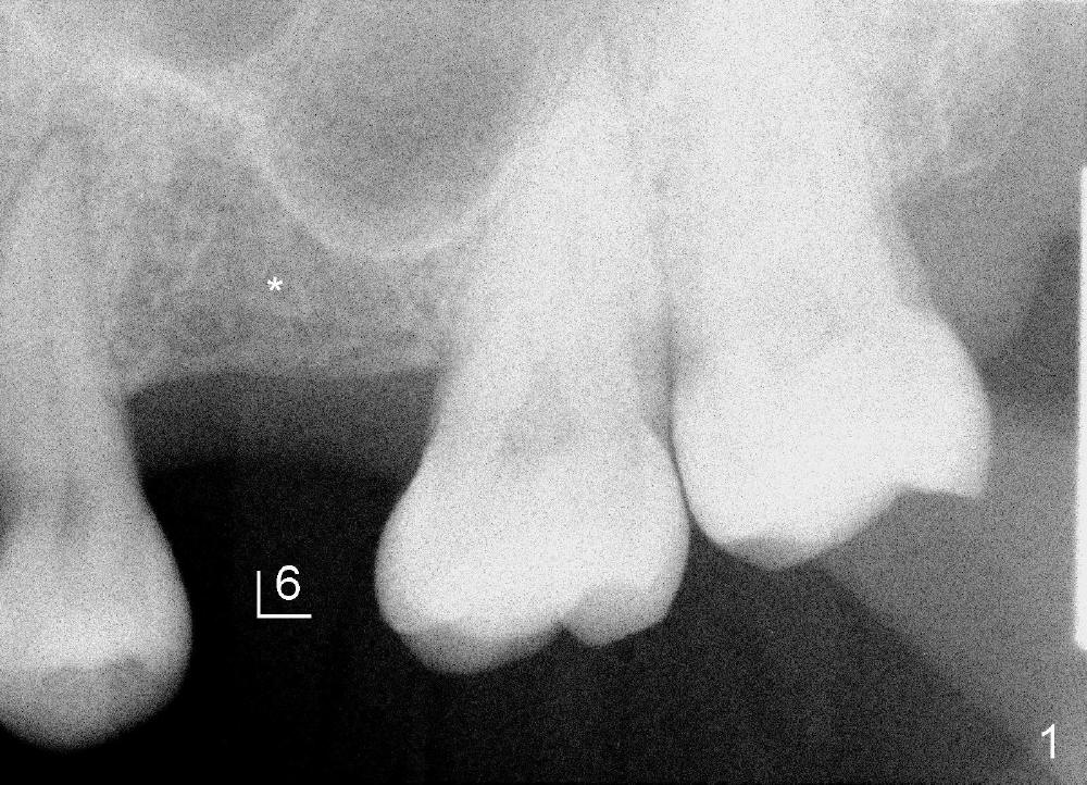
A 44-year-old lady has lost two of the 1st molars (upper left (Fig.1-3) and lower right (Fig.4-6)) for several years. Fig.1,4 are preop PAs, Fig.2,5 CT sagittal sections, and Fig.3,6 CT coronal sections. The adjacent teeth shift and tilt into the edentulous space.
How to handle these two regions (maxillary vs. mandibular)? What are the deciding factors (3,6)?
Return to Sinus Lift
Xin Wei, DDS, PhD, MS 1st edition 07/10/2014, last revision 11/16/2014