A Fistula after Implant is Loaded

Hi, xinwei
Thanks for show us the impacted canine, as I did expose the impacted tooth, and put on metal button on it instead of bracket.....
Here is another case: female, 68yrs, two implants supported overdenture, panorex was preop (Fig.1), pa with two implants was taken one week after implant insertion (Fig.2), another pa with some shadow was taken one month after surgery (Fig.3). Now presented fistula on the alveolar ridge. I have not idea what is going on? Do you have any idea/what causes it?  It happened couple cases already.  I handled these kinds of cases: take out implants, wait for healing and place implants again.
How do you handle it ?

Dear Dr. Cai

Does the earthquake affect your family?  If there is enough space, place bracket to save hassles.  You have to remove the metal button later on.

If the implant is not loose, I would open the wound to do debridement and place bone in the defect.  The result may be not great.  At the same time or a little later, place one or two implants around the affected implant.  Load on the new implant(s) and unload the infected one. 
If the implant is loose, remove it, debride well and place a larger one immediately.  I hope that this helps.

Dear Dr. Cai:
How are you today?  A big case that will be done on this Thursday.  Everything will be fixed with better prognosis, although financially it is a loss to the doctor.  Thanks. 03/29/2014

Robert: After reviewing X-ray, my impression is that the implant with radiolucency needs to be removed, the osteotomy thoroughly debrided and a larger implant placed immediately.  In addition, place one or two regular implants next to the infected implant.  Bury implant(s) if primary stability is not high.  The possible reason of the failure is overloading.  Did you load these two implants immediately?  Did you soft reline the denture immediately or relieve the denture tissue side enough?  Take CT before surgery. Thanks.

Hi, Xinwei
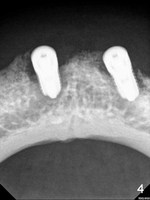
The patient, whom we discussed about, lower two implants supported overdenture, was back for implant check near two months.  The fistula seems getting better .I did one pa x ray(Fig.4) and irrigated with H2O2, same as last time. what else I can do for this case, observation or replacing implant?
Thanks, 04/17/2014

Bob: Thanks for nice presentation with attachment.  You asked a good question.  It appears that the radiolucency does not decrease as compared to 1 month follow up.  Even though the clinical sign improves, the right implant will be fibrointegrated at the best.  If I were you, I would open up soon.  If bone is healthy around the implant, remove granulation tissue if present.  If it looks bad, remove the implant and place a larger one if walls are intact.  Pack bone graft and place a collagen membrane.  I would place an extra implant as a bonus for the patient and punishment on myself so that I would never forget.  Premedicate the patient.  Make an incision so that you may extend it later if necessary for the bonus.

As you are aware, I am not satisfied with X-ray taken by your assistants.  Three PAs for this case do not show implant threads.  It suggests that X-ray is not taken parallel.  Your implant may unexpectedly heal, but the X-ray may not.  You have to do something.  Find X-ray book and read the first few chapters, particularly how to take X-ray: parallelism.  Thanks.  2nd you have to write down insertion torque # when finishing a case.  In case if fails, you may figure out why.

Sinus Lift

Xin Wei, DDS, PhD, MS 1st edition 03/29/2014, last revision 04/18/2014