![]() |
![]() |
![]() |
![]() |
Shades, Margin and Neck of Crowns
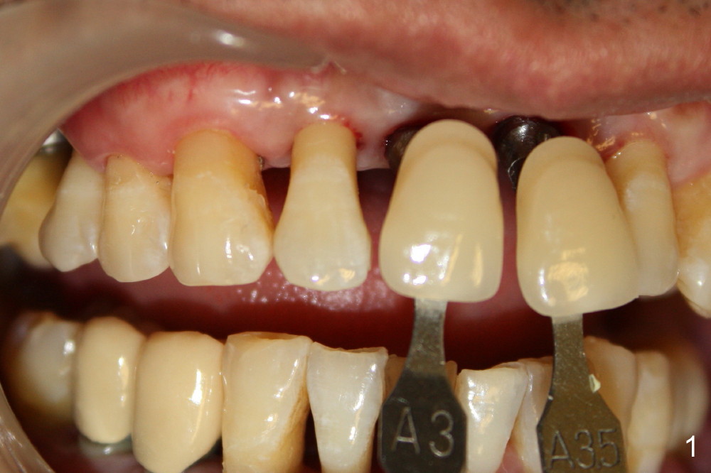
Pay attention to two distinct shades of the crown and root of the neighboring teeth (Fig.1,2). The root looks darker than the crown. The patient has severe periodontal disease.
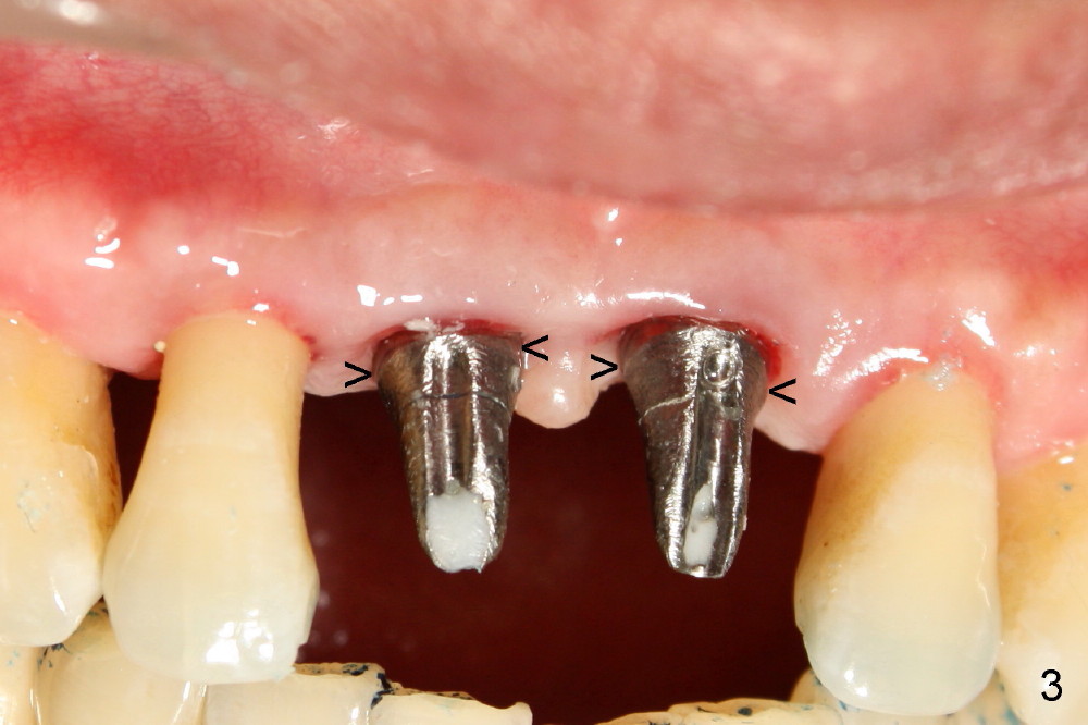
Do not over cover the margins (Fig.3 arrowheads). The prep is subgingival. Provisionals may create nice gingival drape. The gingiva may grow back.
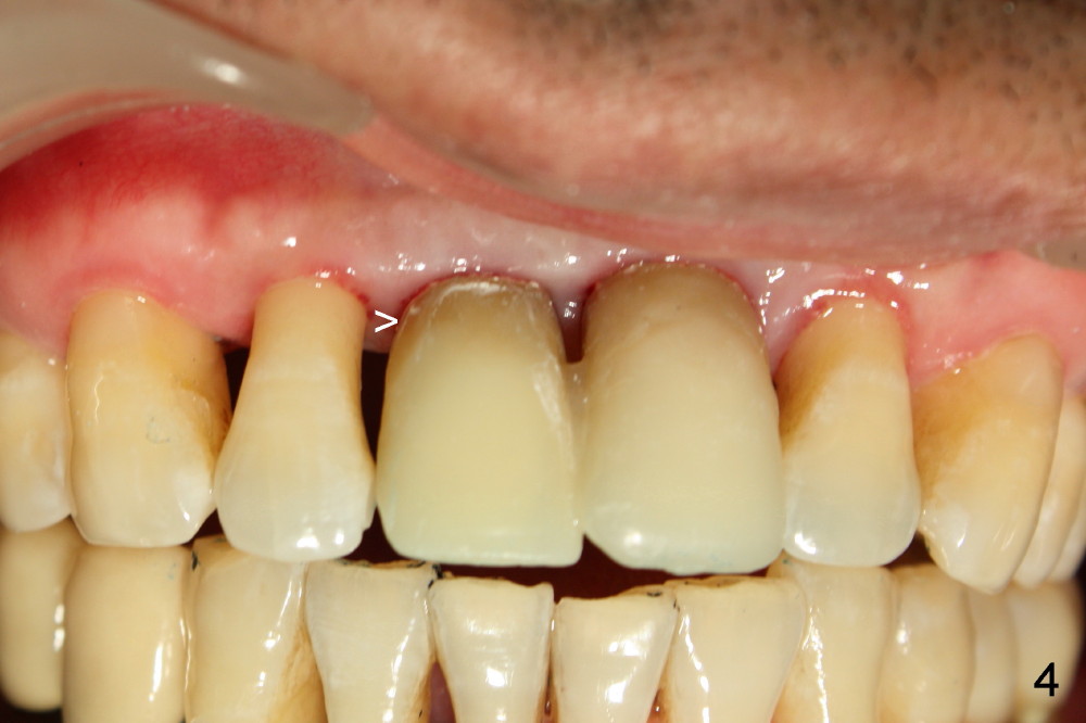
Make nice skinny root (relatively narrow neck) of permanent crowns. The temporary crowns look a little too wide at the cervical area (Fig.4 >).
In brief, imitate the roots of the peridontal disease patient.
Xin Wei, DDS, PhD, MS 1st edition 11/24/2013, last revision 11/24/2013