![]() |
![]() |
![]() |
![]() |
![]() |
![]() |
![]() |
![]() |
![]() |
![]() |
![]() |
![]() |
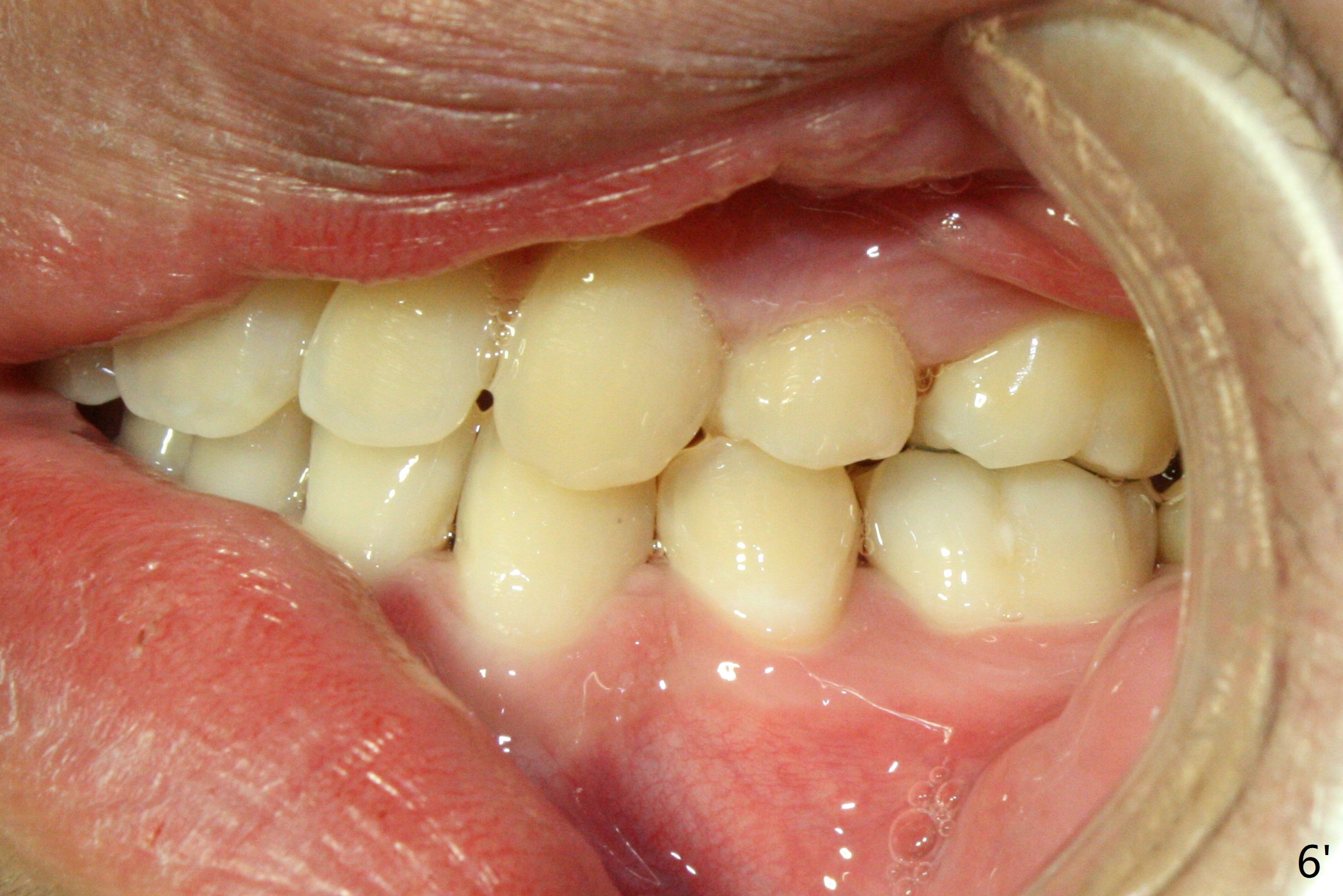
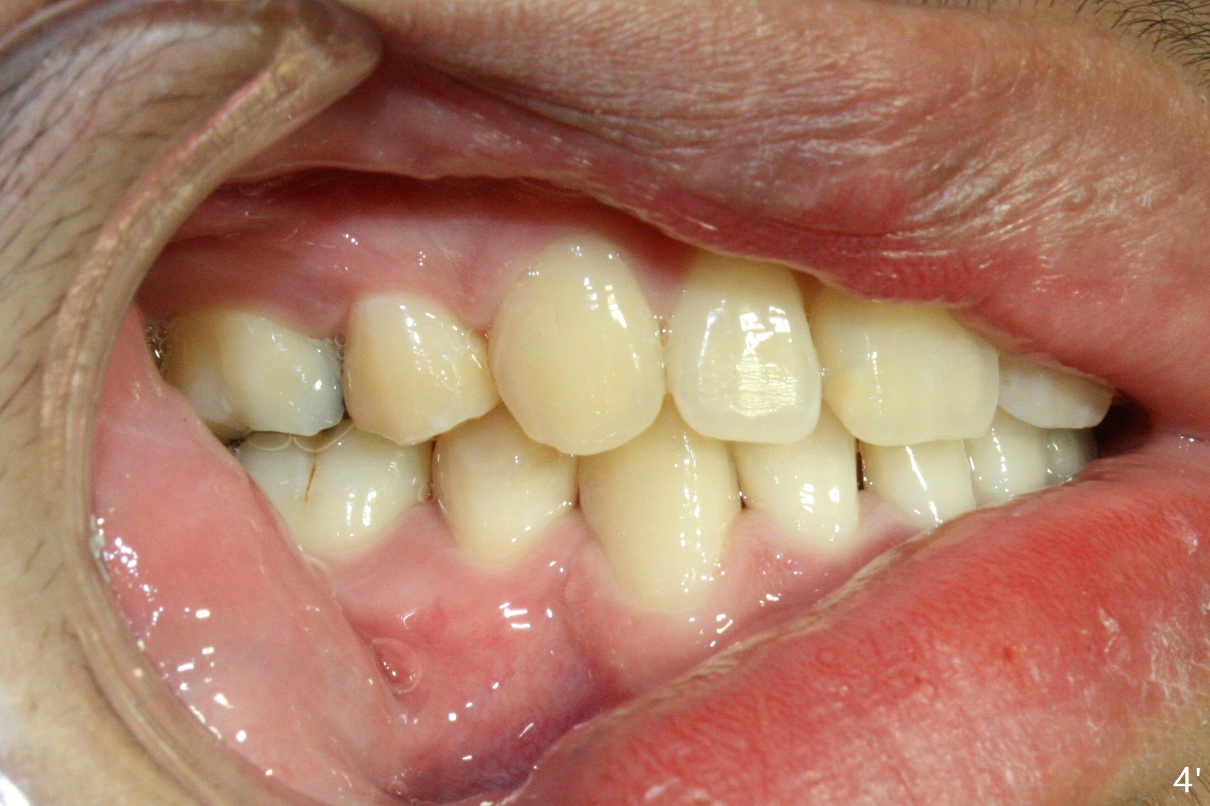
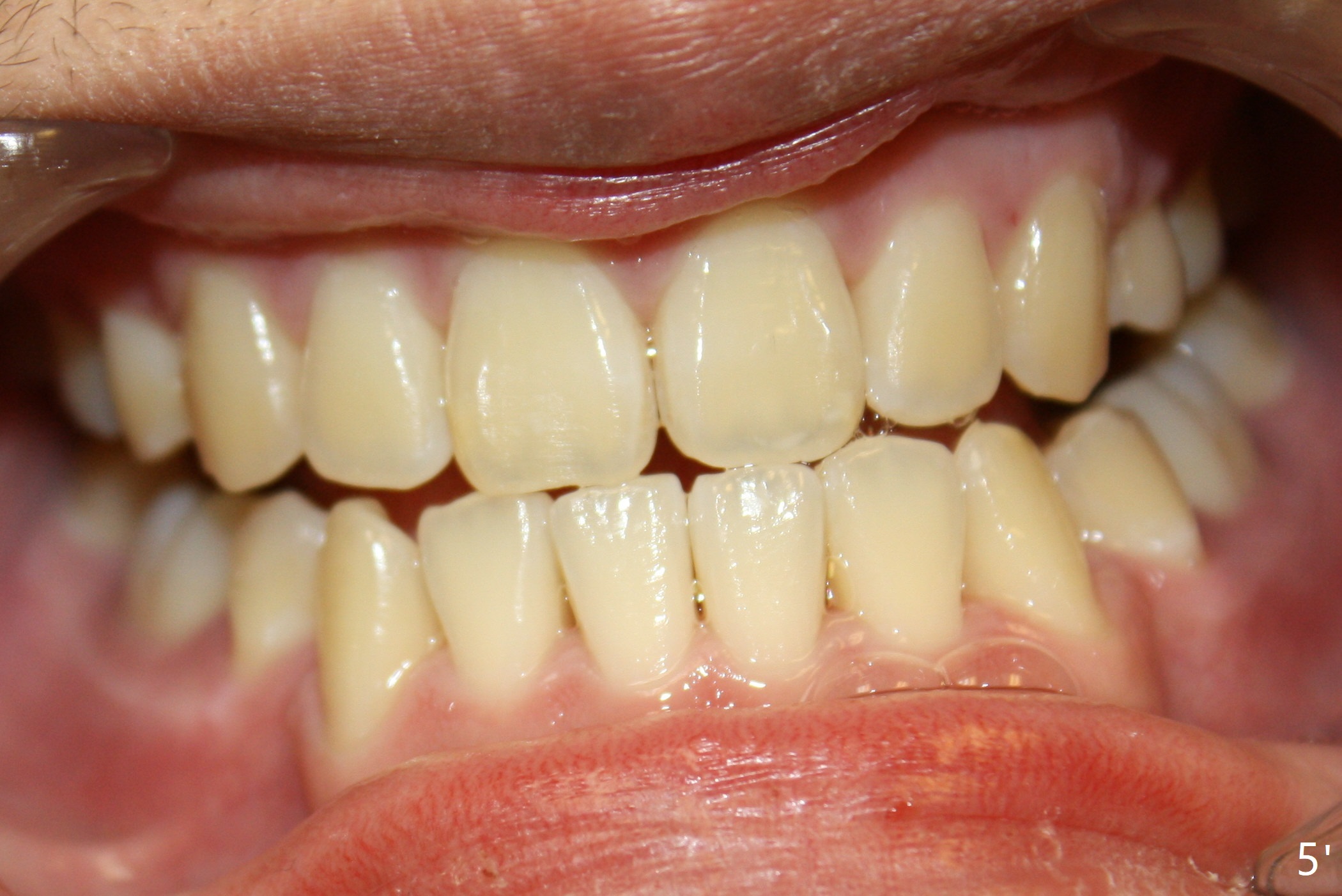
Profile Improves with Extraction
A 15-year-old man wants to improve the facial appearance (Fig.1-6). With extraction orthodontics, the profile and occlusion improve (Fig.1'-6').
Return to
Ortho Cases
Xin Wei, DDS, PhD, MS 1st edition 02/27/2017, last revision 11/24/2019