![]() |
![]() |
![]() |
![]() |
Discoloration of Upper Canines and
1st Bicuspids
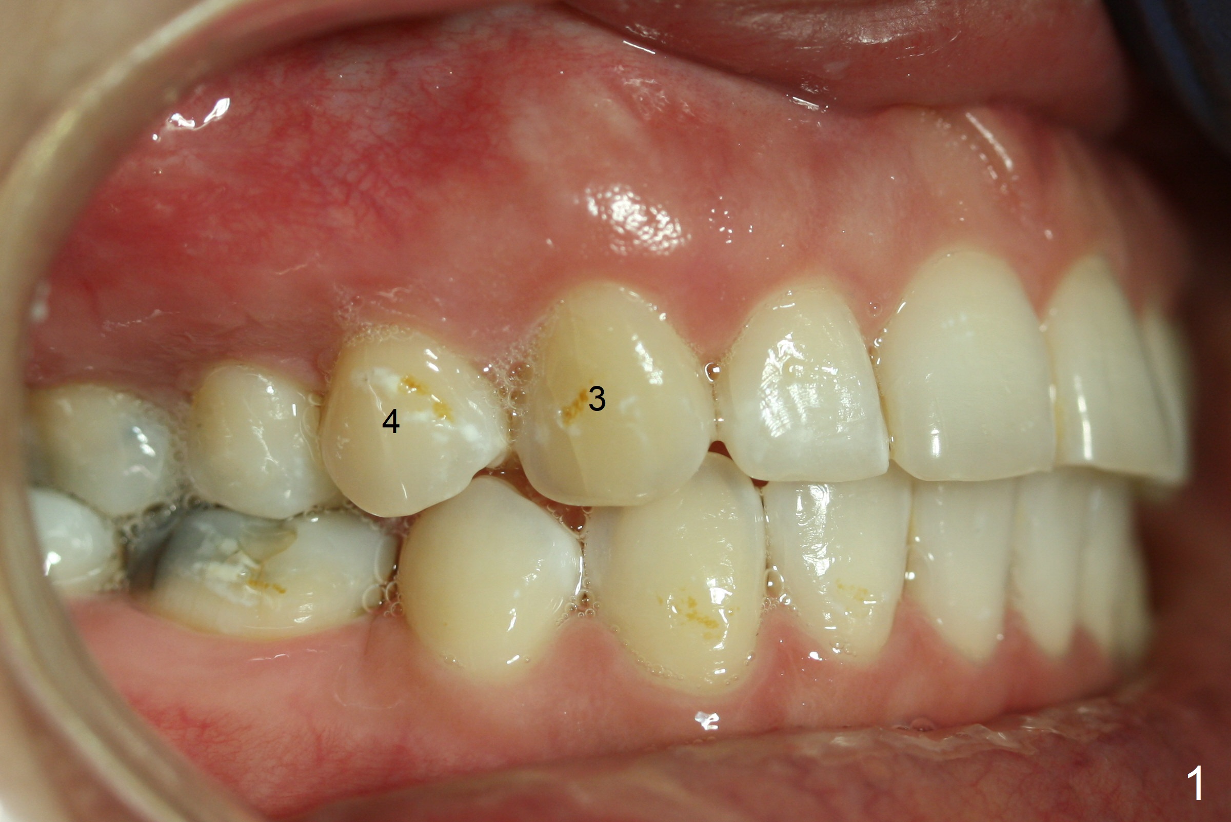
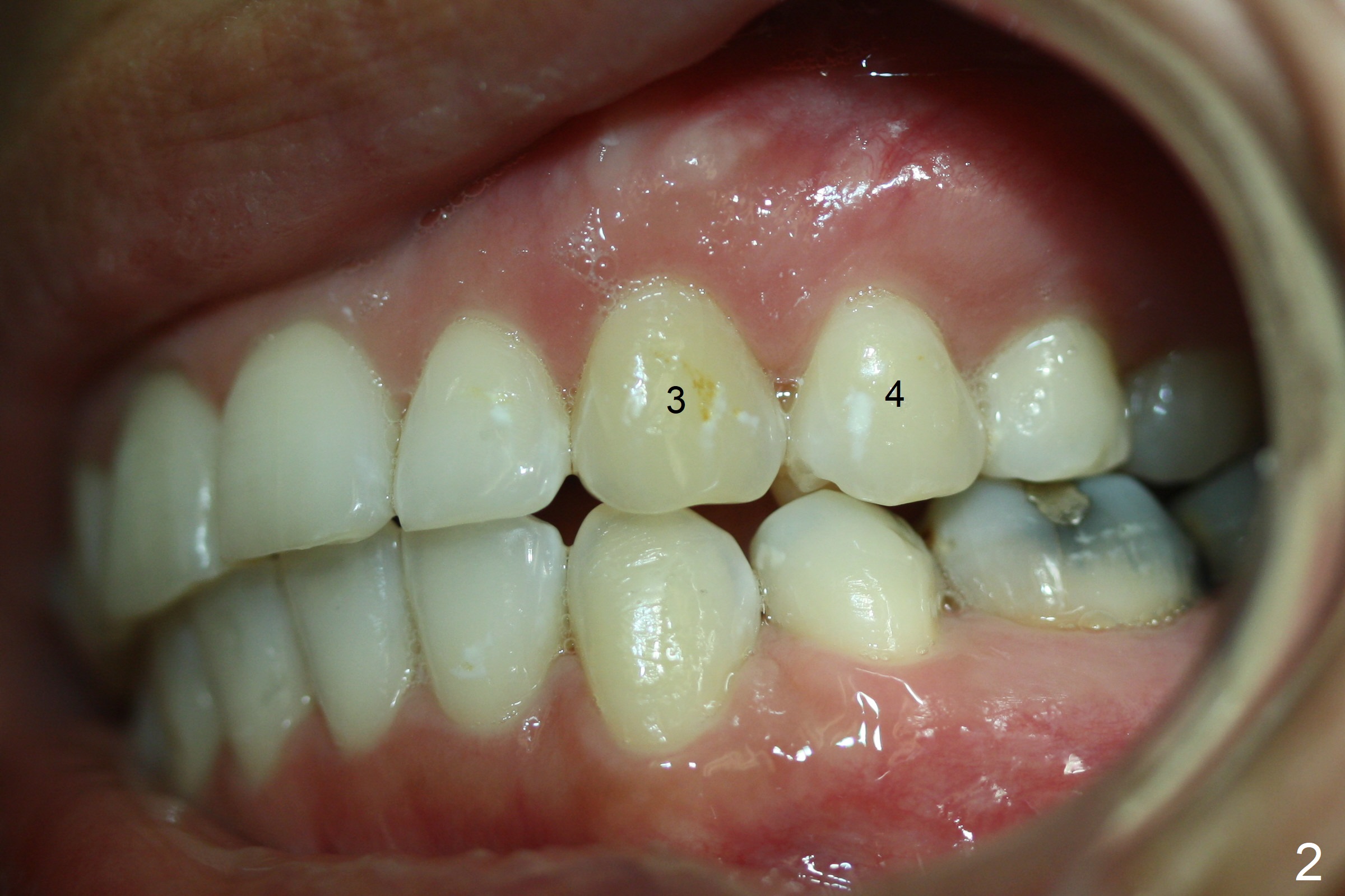
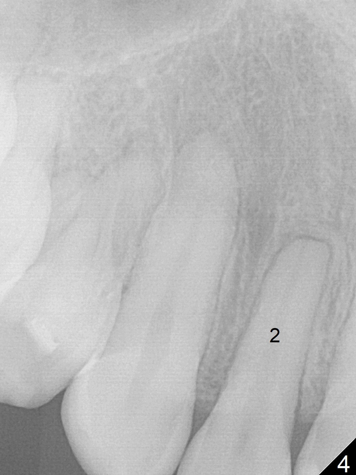
Five months post debanding, the upper right canine becomes transiently symptomatic (tender to touch). Although both the right (Fig.1) and left (Fig.2) canines (3) and 1st bicuspids (4) discolor, the right ones are necrotic (pulpal test). It appears that these two teeth have periapical radiolucency (Fig.3,4), while the lateral incisor has shortened root (2). The longest tooth (upper canine) appears to be the most vulnerable to trauma associated with orthodontic movement.
Return to Ortho Cases Immediate Post-Debanding Pan 2 Years 7 Months Post Debanding X-ray Follow Up 植牙,导板与正畸
Xin Wei, DDS, PhD, MS 1st edition 06/11/2018, last revision 01/10/2021