![]() |
![]() |
![]() |
![]() |
![]() |
![]() |
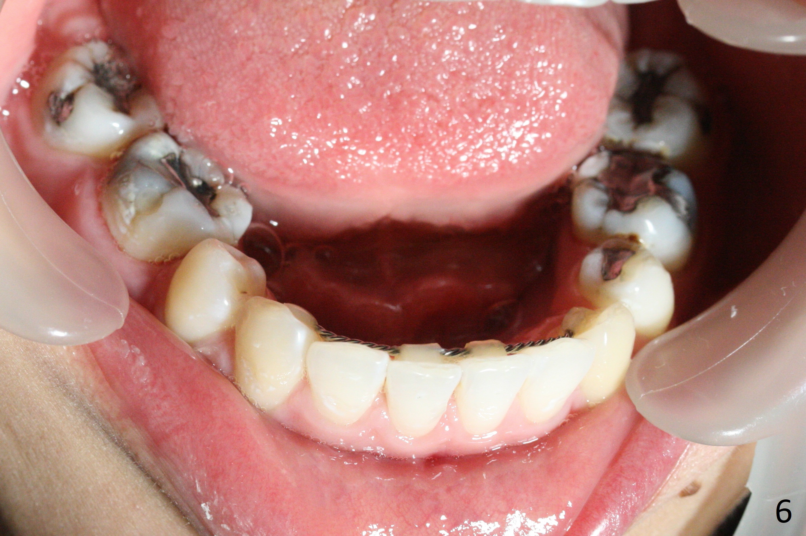
Retention Preparation
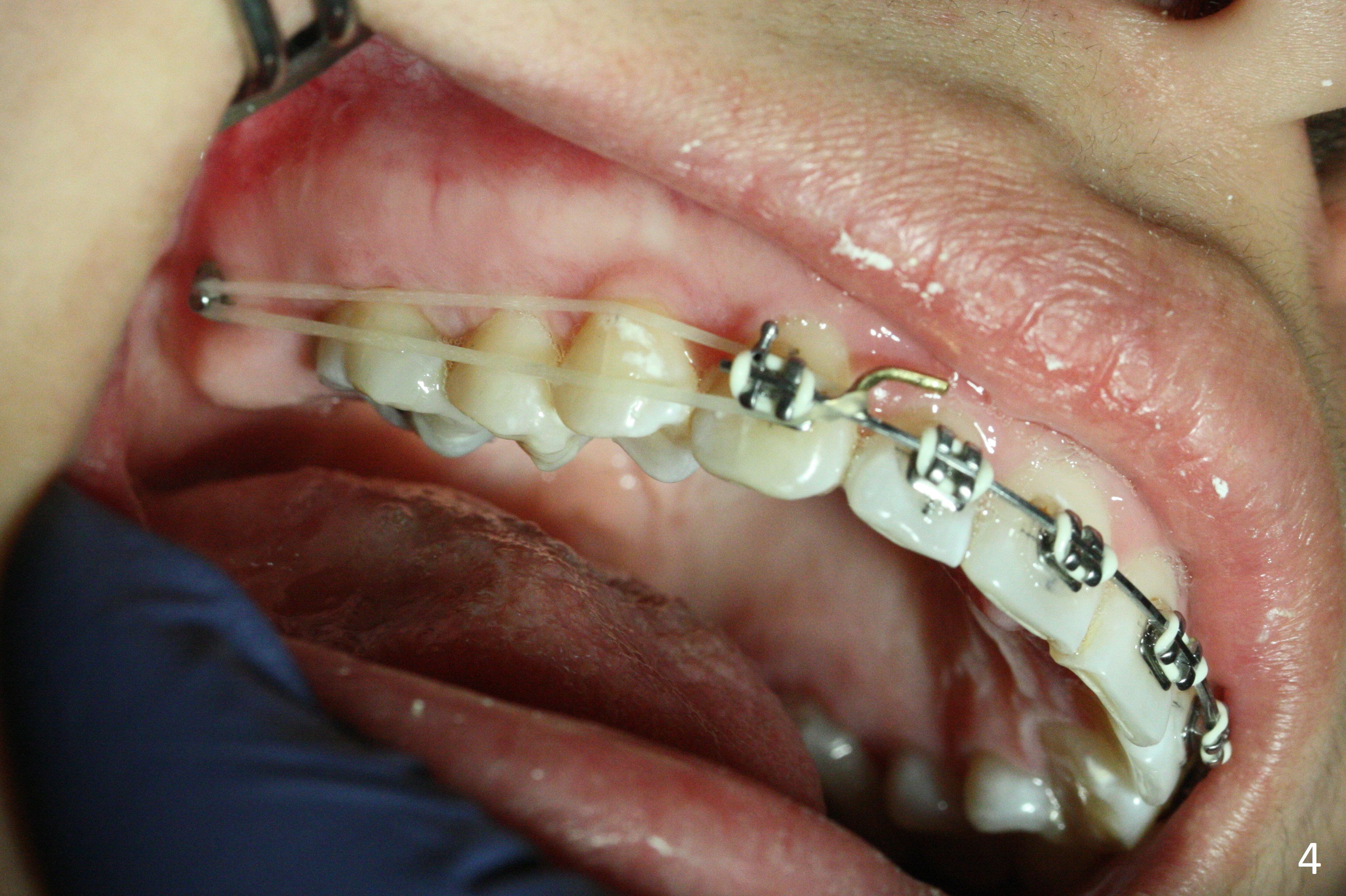
Anterior overjet and overbite remain stable 3 months after sectioning the posted wires and posterior interdigitation (Fig.1-3). After placement of lower lingual retainer (Fig.6), brackets and bands are removed except U3-3, Alginate impression taken for upper Hawley appliance and elastics placed between the upper posts and posterior mini-implants (Fig.4,5) while the model is being sent to lab for the Hawley appliance. Five months later, UR3 becomes symptomatic.
Return to Ortho Cases 植牙,导板与正畸 Immediate Post-Debanding Panoramic X-ray
Xin Wei, DDS, PhD, MS 1st edition 12/06/2017, last revision 01/10/2021