![]() |
![]() |
![]() |
![]() |
![]() |
![]() |
负荆请罪
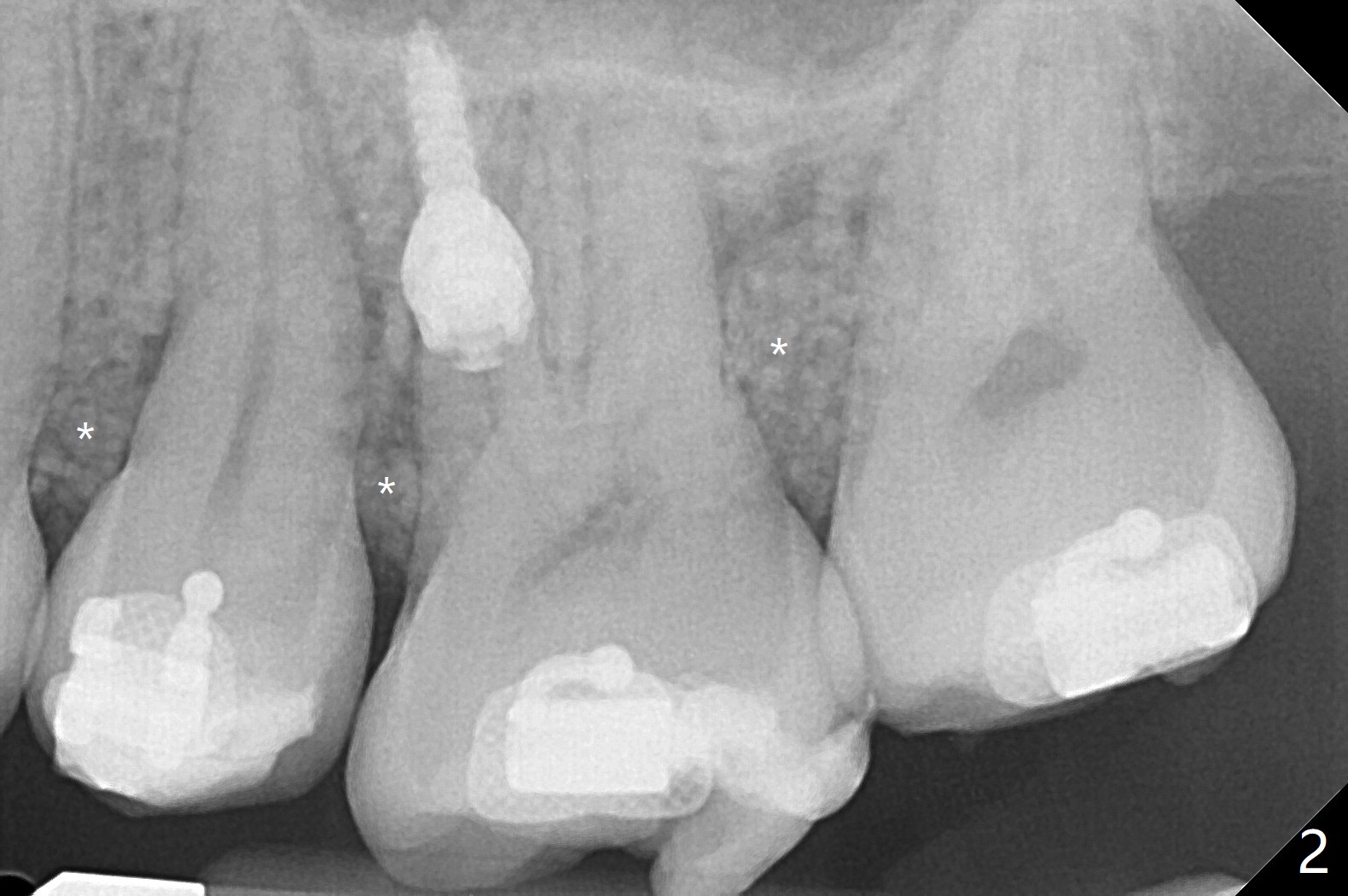
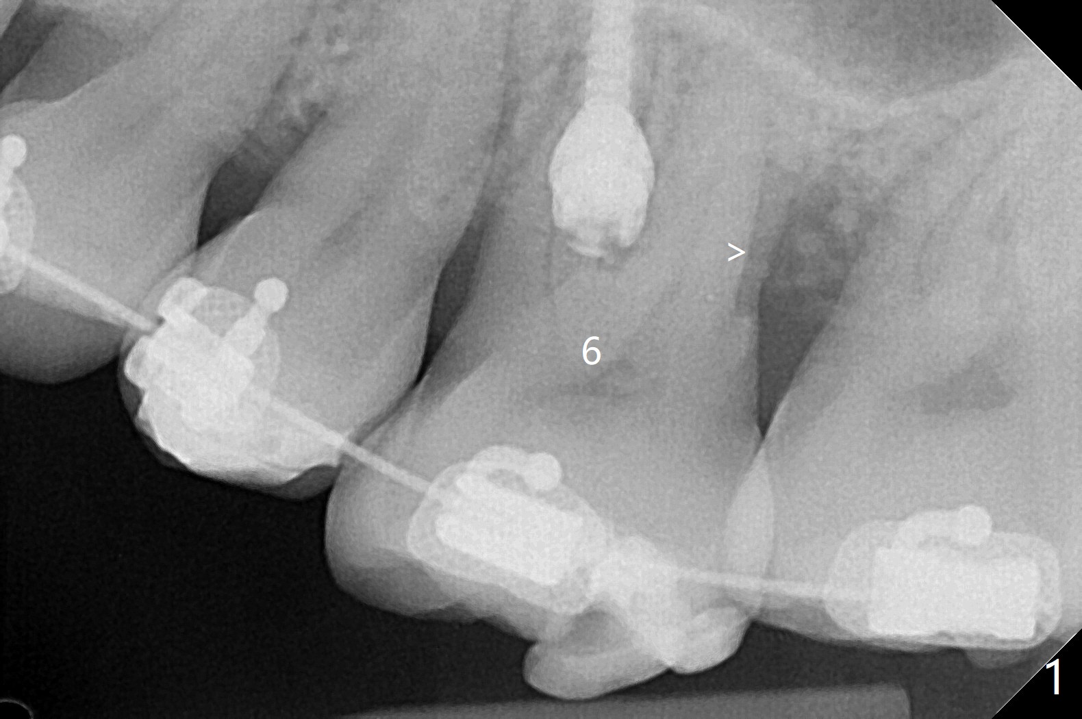
前几周介绍一个矫正砸锅病例,微型植体植入左上6(for intrusion,矫正压低)颊侧远中没有骨质区域,造成局部骨质缺损(图一:>)。颊侧,腭侧牙龈沟切口,翻瓣,清创后,植入粘性骨粉(图二:*,也在颊侧,腭侧植骨),覆盖PRF膜,使用4-0 Monoglyc缝线缝合。对于左下6缺失,原先病人(31岁女)要求前移7,8,初步矫正(2个月内)引起7松动(图三),经过讨论,病人同意拔除8,然后竖直7。拔出后,放置半块胶原塞(控制出血,图四:C),然后植骨(*),最后放置另外半块胶原塞(C),4-0 PGA缝合。术后一个月腭侧放置power chain压低磨牙(图五)。术后2.5个月缺牙间隙大于前磨牙,可以种植,同时7近中植骨(图六:*(粘性骨粉))。整合后利用6作为抛锚继续做7竖直。
Return to
Ortho Cases
Plug
Protect
Graft
Xin Wei,
DDS, PhD, MS 1st edition 01/28/2021, last revision
05/04/2021