![]() |
![]() |
![]() |
|
![]() |
![]() |
![]() |
|
![]() |
![]() |
![]() |
![]() |
![]() |
|||
Intrusion and Mesialization矫正取代植牙
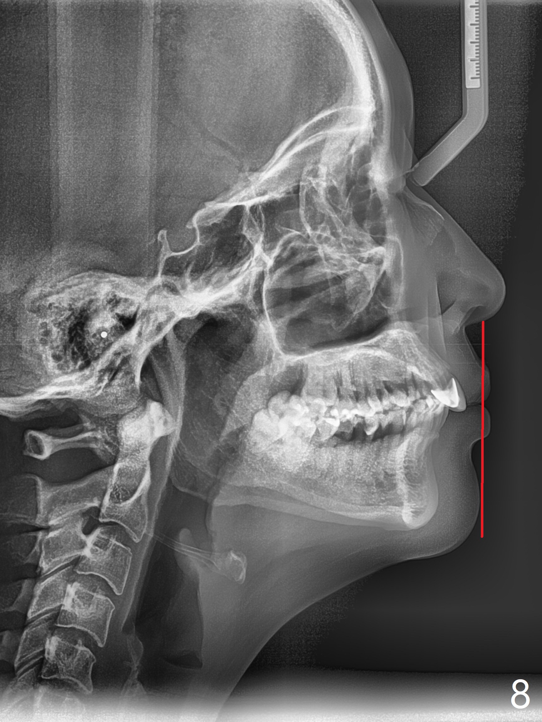
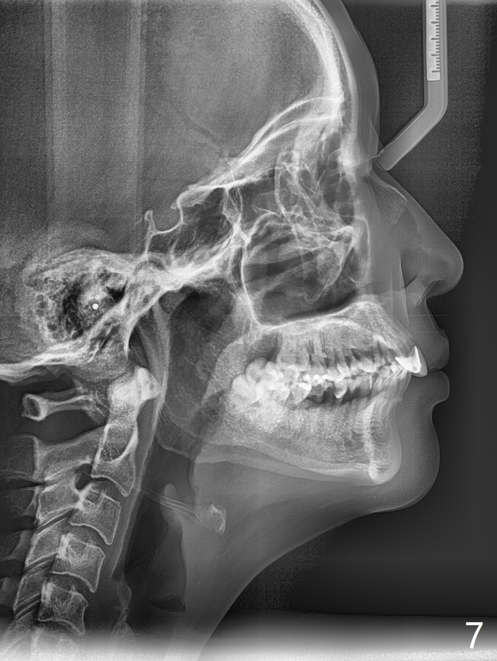
31岁女,牙周炎,安格氏二类错𬌗(图一至八),深洗后,同意牙齿矫正,但是要求保留左下智齿,前移7,8,取代6,左上6过度萌出(图三:箭头)。
初步计划:第一期安置矫正器,排列,建立正常前牙覆合覆盖,二类牵拉。尽量竖直左下7,8(图十一:白色轮廓);使用两个微型植体(图九:黑线(两个植体之间放置power chain(红线)))压入左上6(图十(圆圈:近中微型植体),与图三对比),为左下7近中移位(红色箭头)创造空间。
第二期在左下4和5之间植入微型植体作为支抗(图十一:红色),利用7远中长勾(粉红色)和橡皮筋,先让7平行近中移位,控制根torque。A 31-year-old woman with Class II Division I malocclusion requests orthodontic treatment without extraction of LL8. U8s and LL6 have been extracted with SRP. The 1st stage will be alignment , intrusion of UL6, upright of LL7 and 8 and correction of Class II malocclusion using double twin.
Return to
No
Caries
Ortho Cases
植牙,导板与正畸
左上6 植入
Xin Wei,
DDS, PhD, MS 1st edition 11/20/2020, last revision
01/09/2021