![]() |
![]() |
![]() |
![]() |
![]() |
![]() |
![]() |
![]() |
![]() |
![]() |
![]() ![]() |
微型植体植入
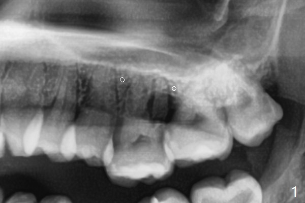
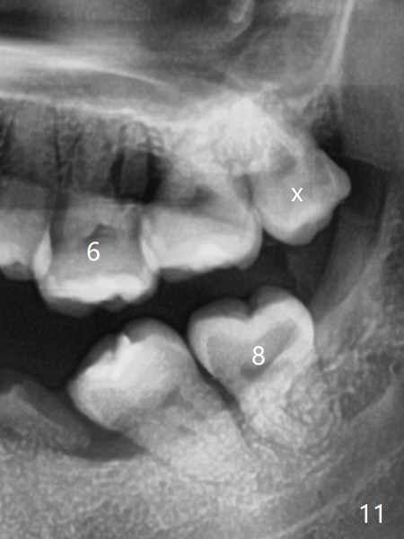
矫正器放置后一个月,正好有充裕时间,匆忙研究全景片(最好CT),好像左上6近中间隙大,近中颊侧,远中腭侧似乎是种植位点(图一:白圆圈),植入越高越宽,不容易伤及邻牙牙根。但是微型植体种植原则是必须种植在角化龈,减少炎症(以前不明白为什么)。当植体在移动牙龈植入时(图二:白箭头),牙龈浮起来,估计非角化牙龈也不能与植体产生紧密结合。取出后,完全可以在6近中颊侧角化龈植入,但是仔细检查发现远中颊侧角化龈更宽,所以在那里扎根(图二:黑箭头),因此腭侧就得选择近中(图三)。微型植体可以即刻使用,power chains常滑脱,压迫牙龈,在这个病例很可能进入远中牙间隙,所以需要在远中边缘嵴加树脂(图四,五:* (1.6x8mm))。第二天远中颊侧植体松动,取出后,插入2x10毫米一段式植体,仍然松动(图六)。CT显示植体下缘穿破牙槽骨(图七,骨质吸收严重与图八近中牙槽骨高度对比)。如果在近中颊侧重新植入微型植体,必须使用6毫米长植体(图九),所以最好在远中颊侧重新植入(图十:红色),缺损区(黑色)植骨。在使用14 niti时,左下7松动,病人同意拔除8,以后后推7,然后6种植(图十一:(左上8已拔除(x))),同时左上6远中植骨,左下8远中牙槽窝放置浸泡PRF液体胶原塞(图十二:1),近中牙槽窝粘性骨粉(2),最后牙槽窝上部PRF膜(3),PGA缝线。可能需要Cytoplast。
Return to
Ortho Cases
植牙,导板与正畸
Xin Wei,
DDS, PhD, MS 1st edition 01/08/2021, last revision
01/28/2021