![]() |
![]() |
![]() |
![]() ![]() |
![]() ![]() |
|
![]() |
![]() |
![]() |
Keep Malformation Classification in Mind while Taking Photos
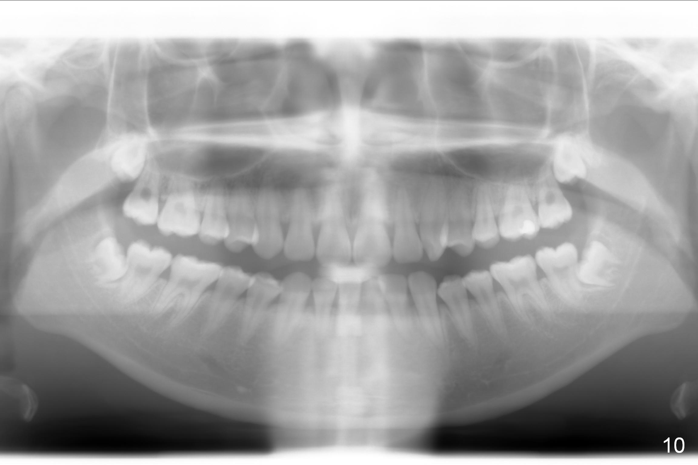
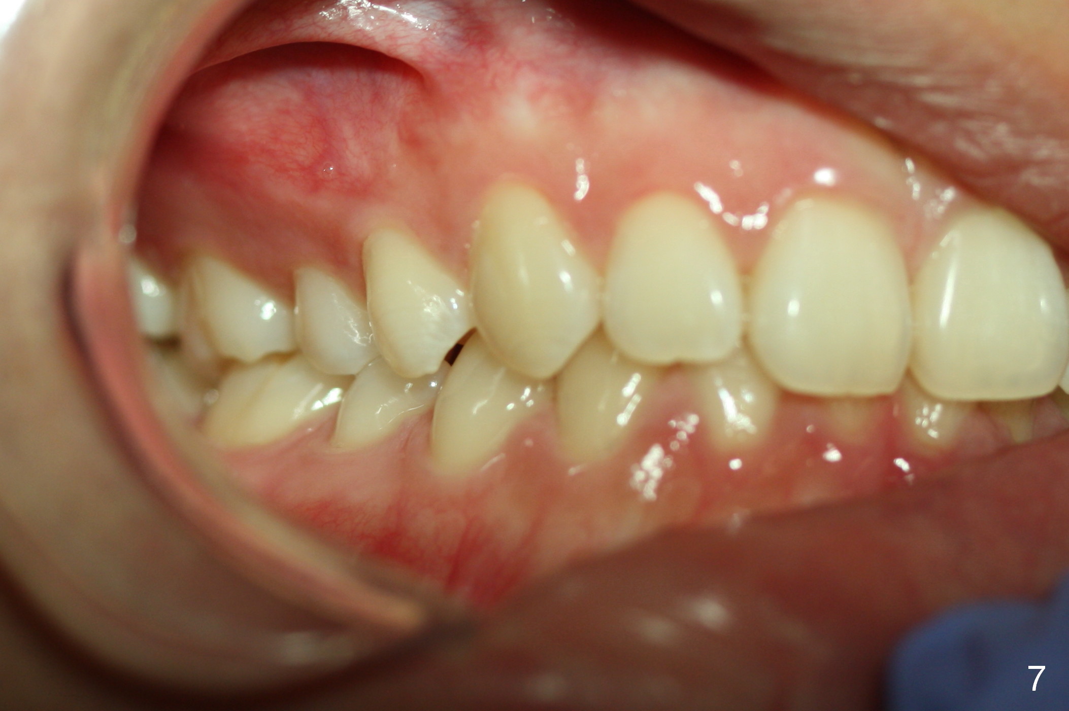
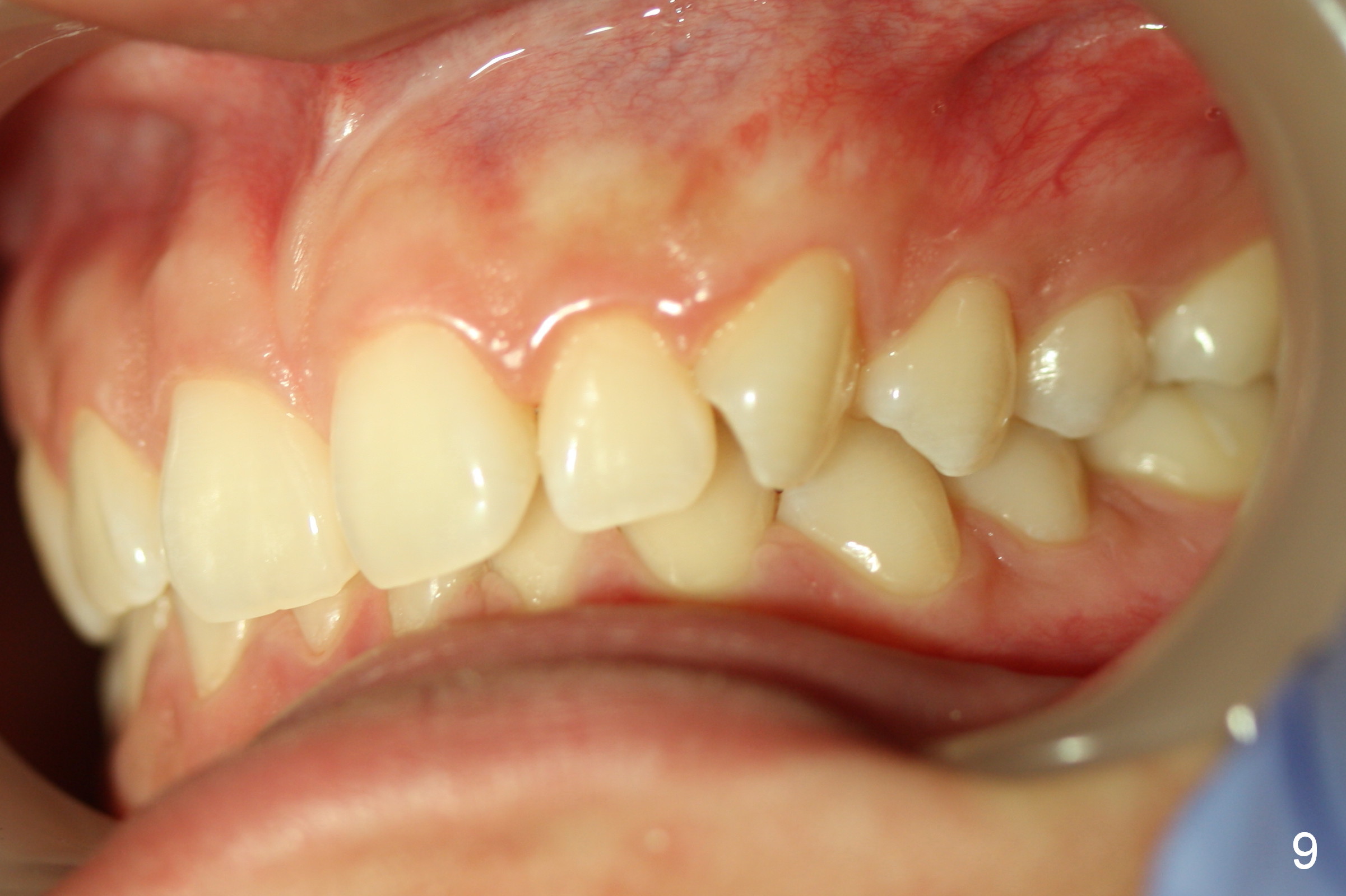
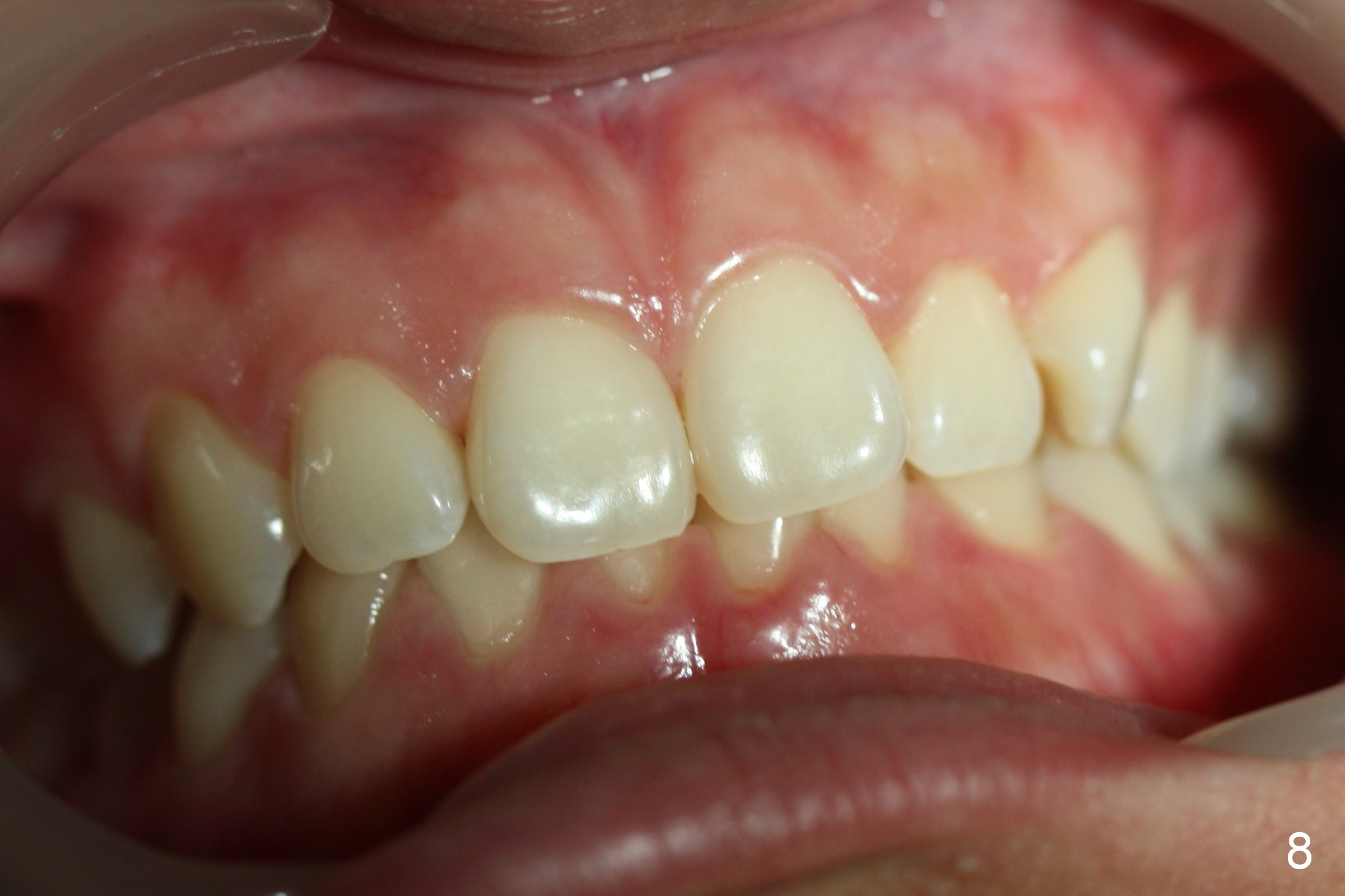
The goal of orthodontic treatment is to achieve normal anterior over bite and over jet and canine and molar Class I occlusion. When we take photos for these patients, we need to consider the facial proportion (frontal and profile views should include the forehead, Fig.1-6), facial and dental midlines (Fig.2, 8) and posterior occlusion.
To show the posterior occlusion directly, use the smaller single cheek retractor to retract the corner of the mouth as posterior as possible. For better exposure, ask the patient to hold a mouth mirror lightly at the other corner of the mouth. The camera should be also positioned posteriorly with focus on the region between the canine (mainly) and the 1st molar (as compared to Fig.7 and 9).
To show the posterior teeth indirectly, use the cheek mirror on the side of interest and use the smaller single cheek retractor on the other side (let the patient hold it loosely as long as it does not fall). The assistant blows the air to remove fog.
To take the anterior view of the occlusion, let the patient turn the head slightly toward you. The camera frame should be parallel to the imaginary occlusal line. When the photo is not straight (Fig.8), it appears that we are unable to set the teeth straight, either.
Jessica is a 15-year-old Chinese. She cares about her upper central incisors and the upper left canine (rotation). Place rotation wedges as early as possible and overcorrect the rotation.
Do you like her profile (Fig.3,6)? Are the lips a little protrusive? According to Caucasian standard, the normal lips should be behind the imaginary line from the middle of the nasal base to the chin (Fig.4 white line). Jessica's lips appear to be protrusive. The ideal treatment would be 4 bicuspid extraction.
When the imaginary line is drawn from the tip of the nose and the chin, her lips are just behind it (Fig.5). It appears that her lip position is not so bad. Take the same profile photos in the late stage of orthodontic treatment and re-analyze the lip position. Proximal reduction will be performed if the lips are protrusive. If the upper lip is too protrusive, use Class II retraction with elastics.
Return to Ortho Cases
Xin Wei, DDS, PhD, MS 1st edition 09/27/2016, last revision 10/09/2016