![]() |
![]() |
![]() |
![]() |
![]() |
![]() |
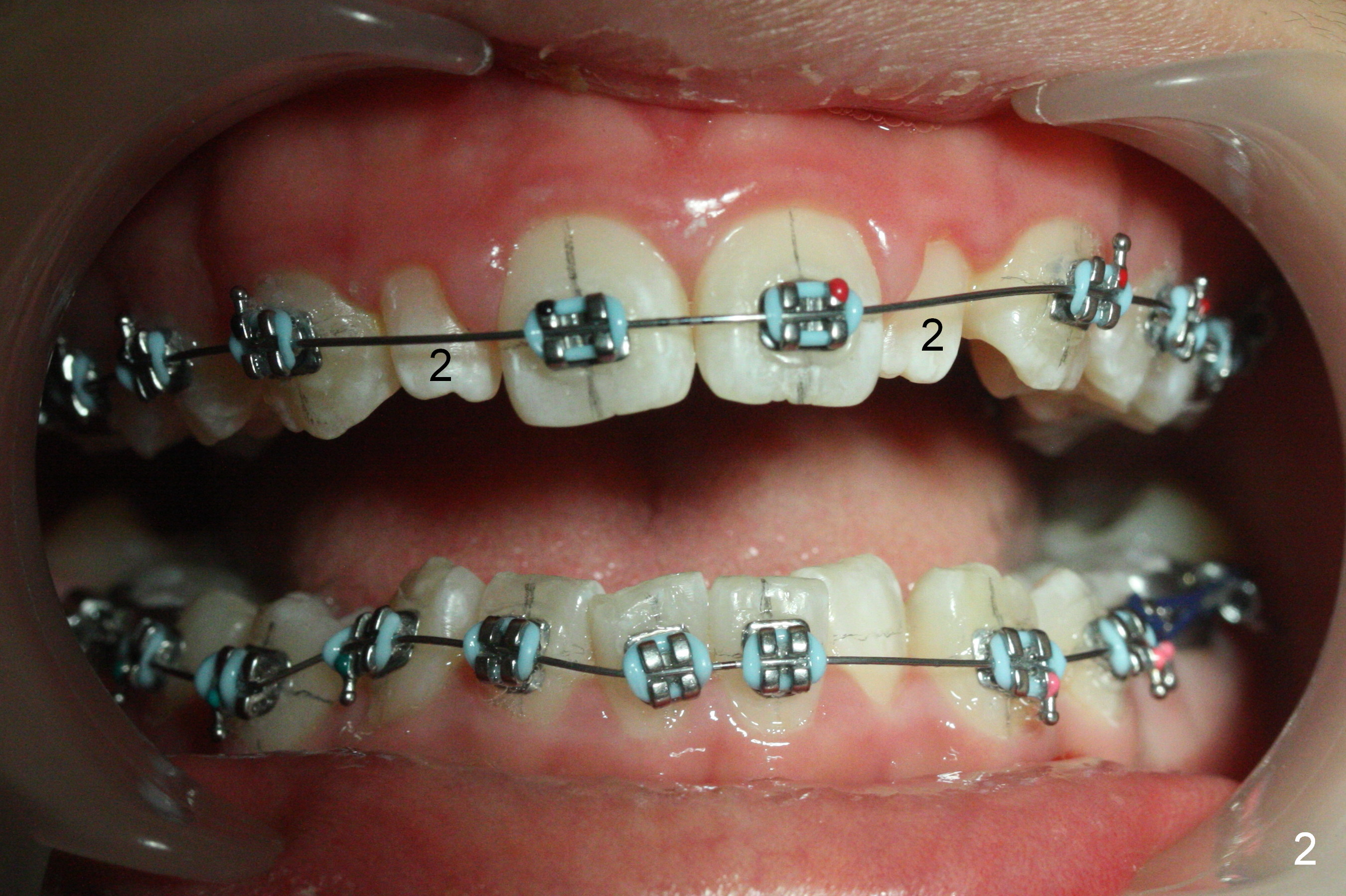
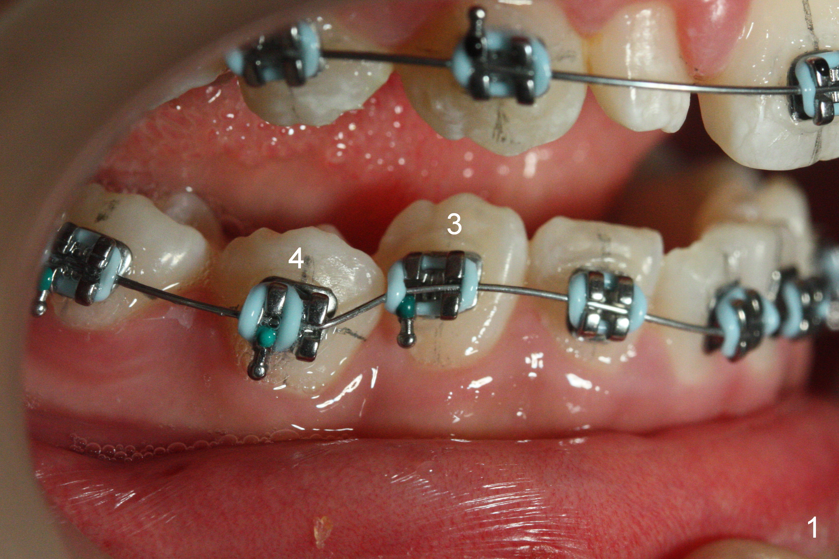
Banding For Class II Division I Malocclusion and Peg Laterals
As planned, the peg laterals do not have brackets placed (Fig.2), since their position and shape will be ultimately decided by veneers. Alignment of the lower arch is more severe than that of the upper one, characterized by severe crowding at LR 3 and 4 (Fig.1) and rotation of LL 5 (Fig.3). Oral hygiene does not improve during orthodontic treatment. Impression will be taken prior to debanding. Space is obtained for LL2; brackets are placed at LL2 and 5; 14 niti wire is placed 9 months post banding (Fig.4-6). Orthodontic treatment is terminated prematurely partially due to poor oral hygiene.
Return to
Ortho Cases
Xin Wei, DDS, PhD, MS 1st edition 01/10/2017, last revision 08/10/2018