![]() |
![]() |
|
![]() |
![]() |
![]() |
![]() |
![]() |
![]() |
![]() |
![]() |
Open Bite Correction
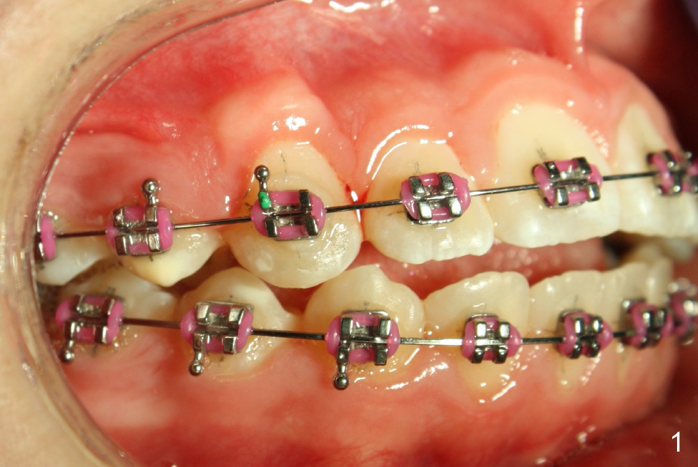
Open bite is aggravated probably due to bracket design/placement and wire manipulation. The first step is to re-bracket UL 3 (Fig.2), as evidenced by bending (^) of .016 ss wire. No rebracketing is done for UR3 (Fig.1).
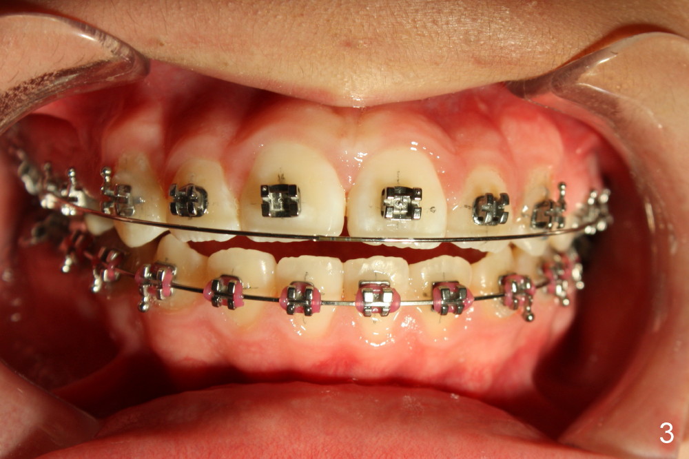
The second step to fix open bite is to make reverse curve (as opposed to Curve of Spree) on the upper wire (Fig.3-5, .018 ss). When the posterior segments of the wire are inserted to the molar tubes, the anterior portion is coronal to the bracket slots. When the anterior portion is engaged, it tends to extrude the upper anterior teeth.
To emphasize the 2nd point, the upper wire curvature is accentuated (Fig.6) before engagement (Fig.7,8).
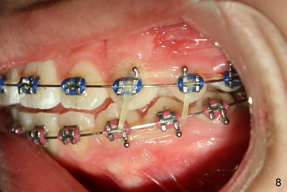
Since the open bite extends to the canine-premolar region, 1/4 elastics are used (Fig.7,8).
Two months later, the anterior open bite improves (Fig.9,10). The lingual tilting of #19 also improves (Fig.10). Upper wire 16x16 (reverse curvature), Lower 16x22. Finally extraction appears to be necessary.
Xin Wei, DDS, PhD, MS 1st edition 06/16/2014, last revision 12/13/2015