![]() |
![]() |
![]() |
![]() |
![]() |
![]() |
![]() |
|
![]() |
![]() |
![]() |
|
![]() |
![]() |
![]() |
|
![]() |
![]() |
![]() ![]() |
|
Correct 2nd Molar Cross Bite Early
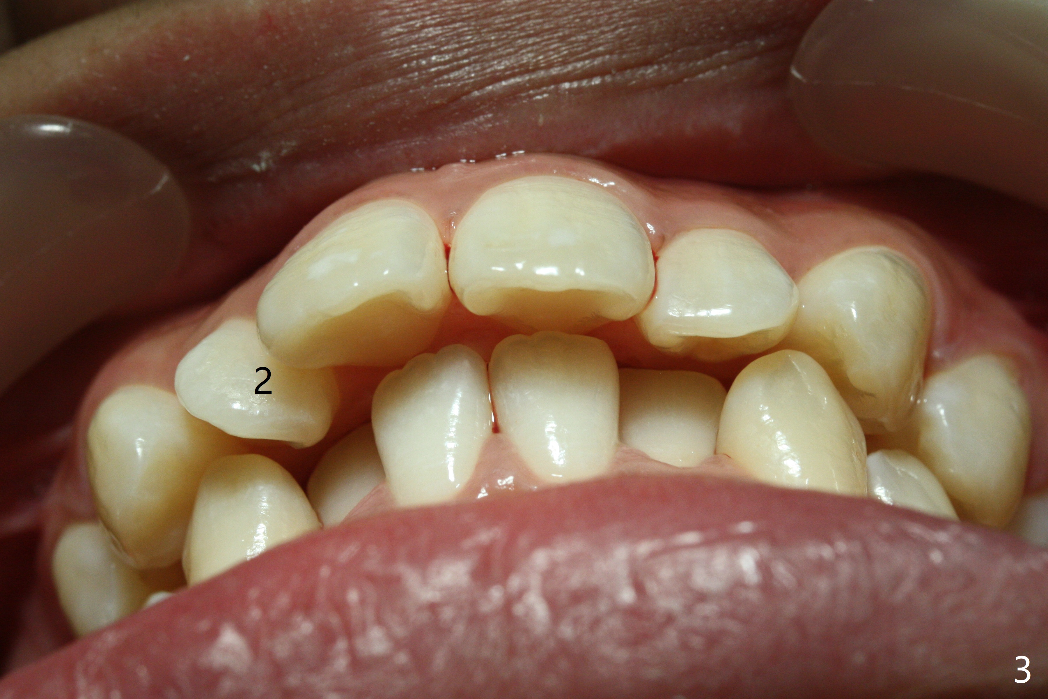
A 17-year-old woman has protrusive lips (Fig.1,2). Due to severe crowding (Fig.3-5), four of the 1st bicuspids are extracted prior to separator placement. It appears that spaces are easier to open up with extraction first. Choose 2nd molar bands with lingual cleats so that 2nd molar cross bite will be corrected immediately post banding (Fig.4,5). Place composite in the occlusal surface of the 1st molars for occlusal separation. Because of severe rotation of UR2, do not place bracket. The same can be applied to L2s. Place power chains x 4 between L3 and 6. The same mechanic will be applied to the right side when R5s are buccalized. Occlusal composite needs to be built up high and several times because of frequent wear, fracturing or detachment (Fig.6 * (1.5 months post banding)).
Three months post banding, the cross bite at 7s is corrected; with 7s' supraeruption and 6s' infraocclusion (because of occlusal composite (just removed), Fig.7,8), anterior open bite occur. Next visit place brackets in L7s with flexible wire. While 2 mechanisms are applied to gain more space for LR2 (Fig.9 *, ^), a special mechanism is utilized to correct LL2 cross bite (space gained). If the space for UR2 (Fig.10) is insufficient next appointment, what should we do? Otherwise, what should be done?
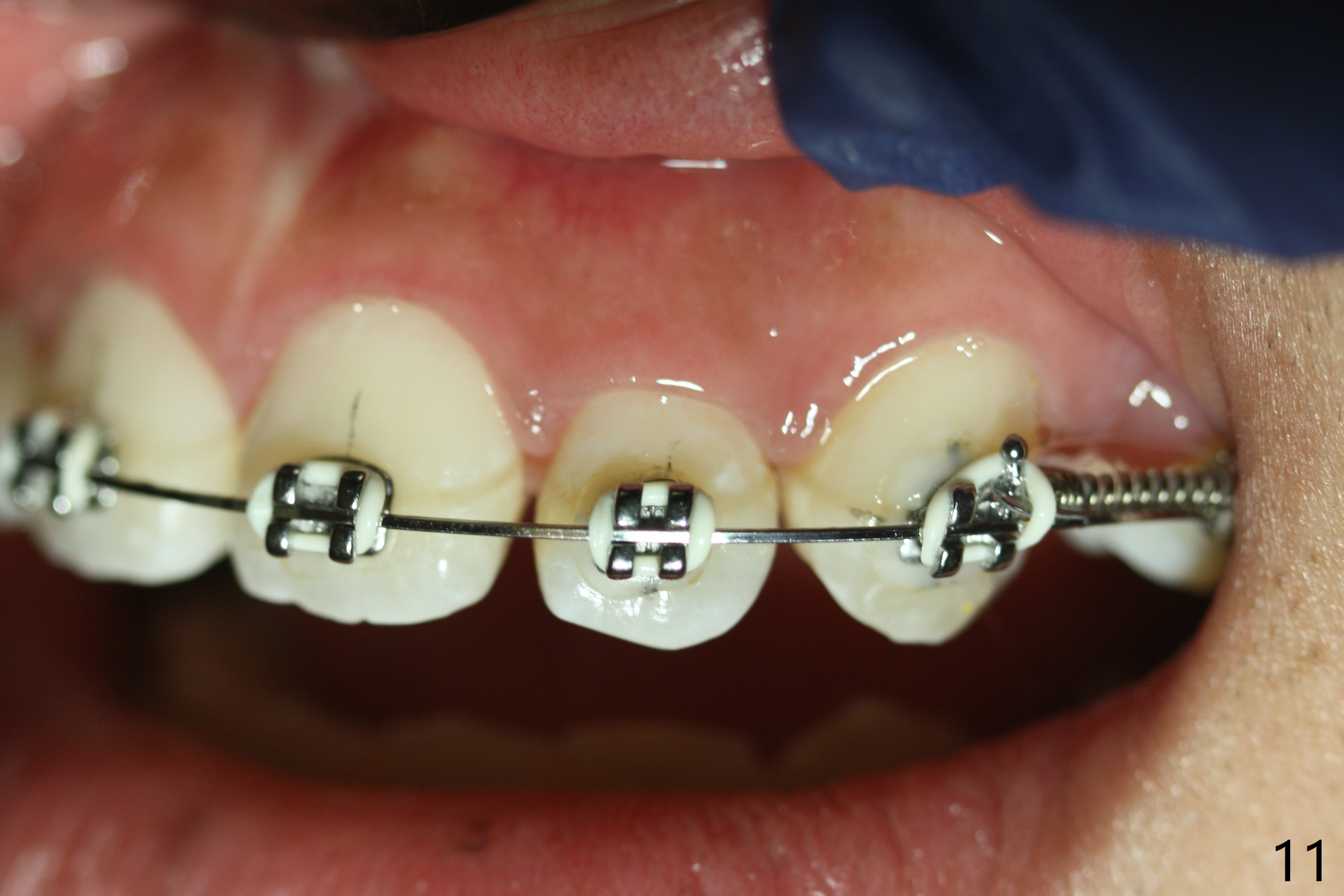
Anterior open bite is corrected with composite in L7s with elastic box bilaterally. UR3 is fully distalized after a closed spring is placed between UR3-7. Sling shot is applied for UR2 cross bite correction with UR3-6 ligature wire and U3-7 closed spring (latter 2 to keep position of UR3). Three weeks of closed spring between UL3 and 6, UL2 is also distalized because of periodontal ligament between the neighboring teeth (Fig.11 (10.5 months post banding; 16x22 wire placed for further retraction (overjet))).
Thirteen months post banding, U dental midline apparently coincides with facial one, diastemata: UL2/3, UL6/7, L3-3, UL post detached, placed crimpable mini post mesial to UL2, closed spring UL2-7. Three-4 weeks later, diastema appears between UL1/2, while that of UL6/7 closes. Continue closed spring between UL2/7, while adding power chains U2-2 (Fig.12). To correct anterior overjet (Fig.13), Class II retraction is introduced bilaterally (Fig.14). After mesialization of LL3 (with Class I canine occlusion), L3-3 are being ligated as an anchor to mesialize LL5 (Fig.15). Occlusion appears to be Class II nearly 3 years post banding. Miniimplants are planned to distalize the upper dentition. Upper anterior PAs are taken to determine whether the roots of the upper anterior teeth have been resorbed. In fact, they are (Fig.16,17). Fortunately the anterior overjet does not look so severe. Orthodontic treatment should be terminated soon. Next case PAs should be taken prior to distalization.
Return to Ortho Cases, Younger Sister
Xin Wei, DDS, PhD, MS 1st edition 10/09/2017, last revision 09/05/2020