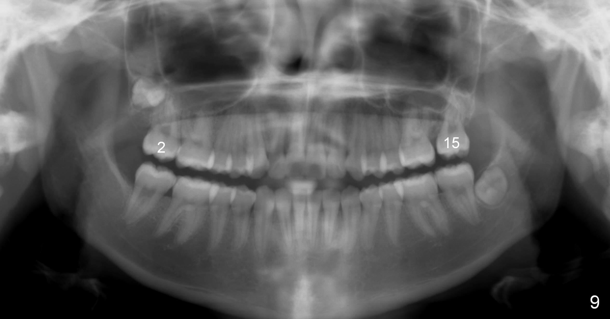
Treatment finishes in 2 years.  The patient (15 years 2 months old) returns for follow up 3 months post debanding (Fig.9, compare to preop).  Uncover Last Next Xin Wei, DDS, PhD, MS 1st edition 11/28/2015, last revision 12/15/2019