![]() |
![]() |
![]() |
![]() |
![]() |
![]() |
![]() |
![]() |
![]() |
![]() |
![]() |
Uncover UL7
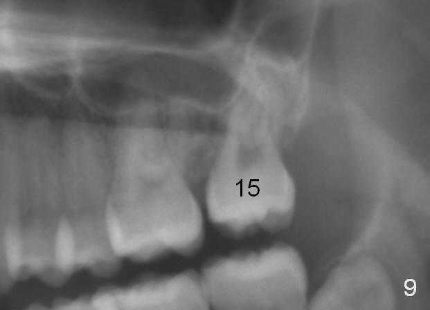
When the female patient was 11 years 2 months (Fig.1) and 12 years 10 months (Fig.2) old, the eruption of #15 is delayed. The tooth is surgically uncovered with bonding an eruption chain 1 month post banding. Three (Fig.3), 4 (Fig.4) and 6 (Fig.5) months post banding, eruption appears to be slow with elastics.
The distobuccal cusp of the tooth is subgingival 8 months post banding (Fig.6 (mirror view) *). A 2nd surgery is performed to expose the gold chain (Fig.7 <) and a bracket is placed. With arch wires, eruption of the impacted tooth is quickened (Fig.8). Later a 3rd minor surgery is done to place a lingual button to facilitate lingual cusp eruption. Finally a band has to be placed at #15. Treatment finishes in 2 years. The patient (15 years 2 months old) returns for follow up 3 months post debanding (Fig.9). There is no bone loss around the tooth #15 2 years 4 months post de-banding (Fig.11, as compared to the tooth #2 (Fig.10)).
Return to
Professionals,
Ortho Cases for Assistants
Before/After/Follow-up
Xin Wei, DDS, PhD, MS 1st edition 11/28/2015, last revision 12/15/2019