![]() |
||
![]() |
||
![]() |
![]() |
![]() |
Preparation for Surgical Exposure of An Unerupted Upper 2nd Molar
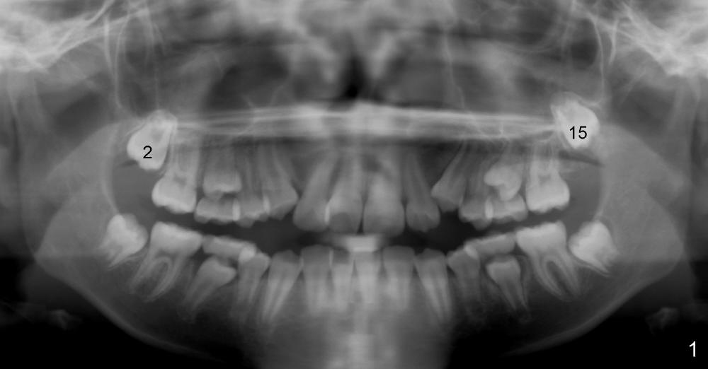
When Willie was 11 years 2 months old, the upper 2nd molars are unerupted (Fig.1: #2,15).
Now at the age of 12 years 10 months, #2 has erupted whereas #15 remains unerupted (Fig.2).
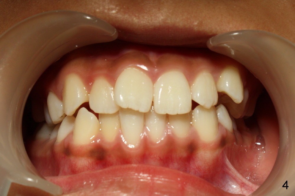
There is basically Class I occlusion in molar and canine regions bilaterally (Fig.3,5). Crowding is severe in the anterior area (Fig.4).
Banding and bracketing was finished with installation of .012 niti wires on August 12, 2013. Each visit, the next thicker and stiffer wires will be changed if there is not much tension until .016x.016 wires. Surgical exposure of #15 will be performed. The tooth will be retracted for eruption using the upper rectangular wire as an anchorage orthodontically.
Uncover, Postop, Before/After/Follow-up
Xin Wei, DDS, PhD, MS 1st edition 08/18/2013, last revision 12/15/2019