![]() |
![]() |
![]() |
![]() |
![]() |
![]() |
![]() |
![]() |
![]() |
![]() |
![]() |
![]() |
![]() |
![]() |
![]() |
![]() |
![]() |
![]() |
Before, After and Follow-Up
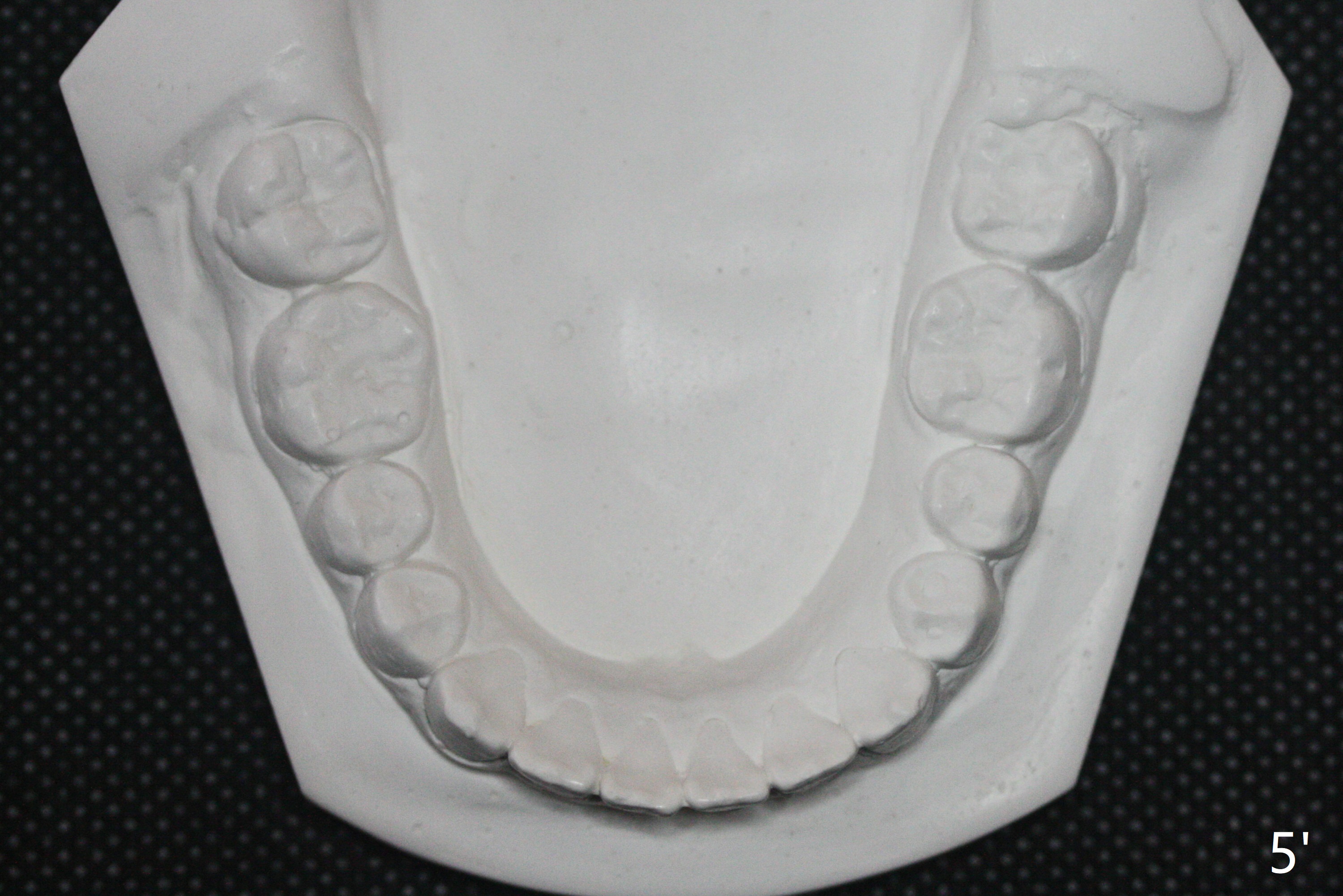
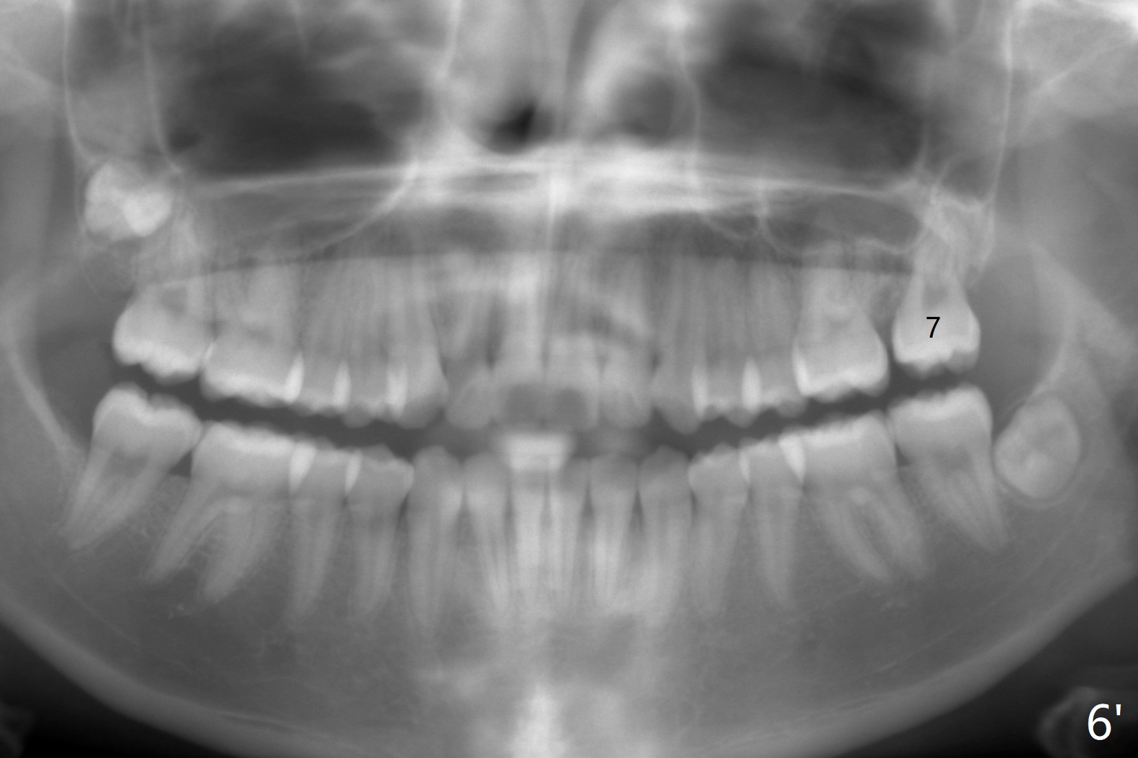
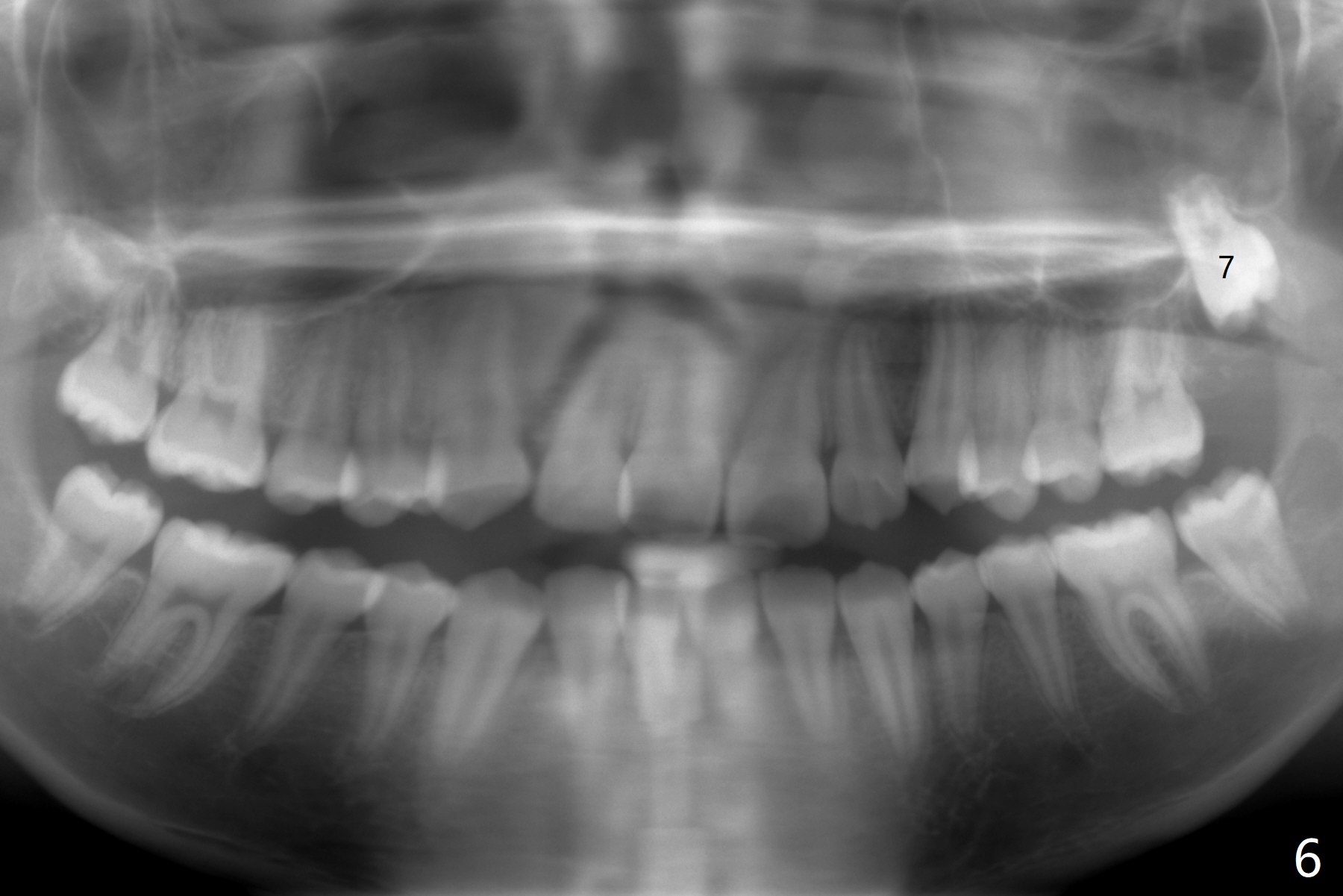
A 12-year-old woman has severe crowding including UL7 impaction (Fig.1-5), finishes non-extraction orthodontics at the age of 15 (Fig.1'-5') and returns for retainer remake at 19 (Fig.1''-5''). Four years post debanding, UL7 (Fig.4') seems to improve its position (Fig.4'').
Return to
Ortho Cases
Xin Wei, DDS, PhD, MS 1st edition
12/10/2019, last revision
12/15/2019