| Before | After | What Should be Done |
![]() |
![]() |
![]() |
![]() |
![]() |
![]() |
![]() |
![]() |
![]() |
![]() |
![]() |
![]() |
![]() |
![]() |
![]() |
![]() |
![]() |
![]() |
![]() |
![]() |
![]() |
Bracketing for Congenital Missing Lateral
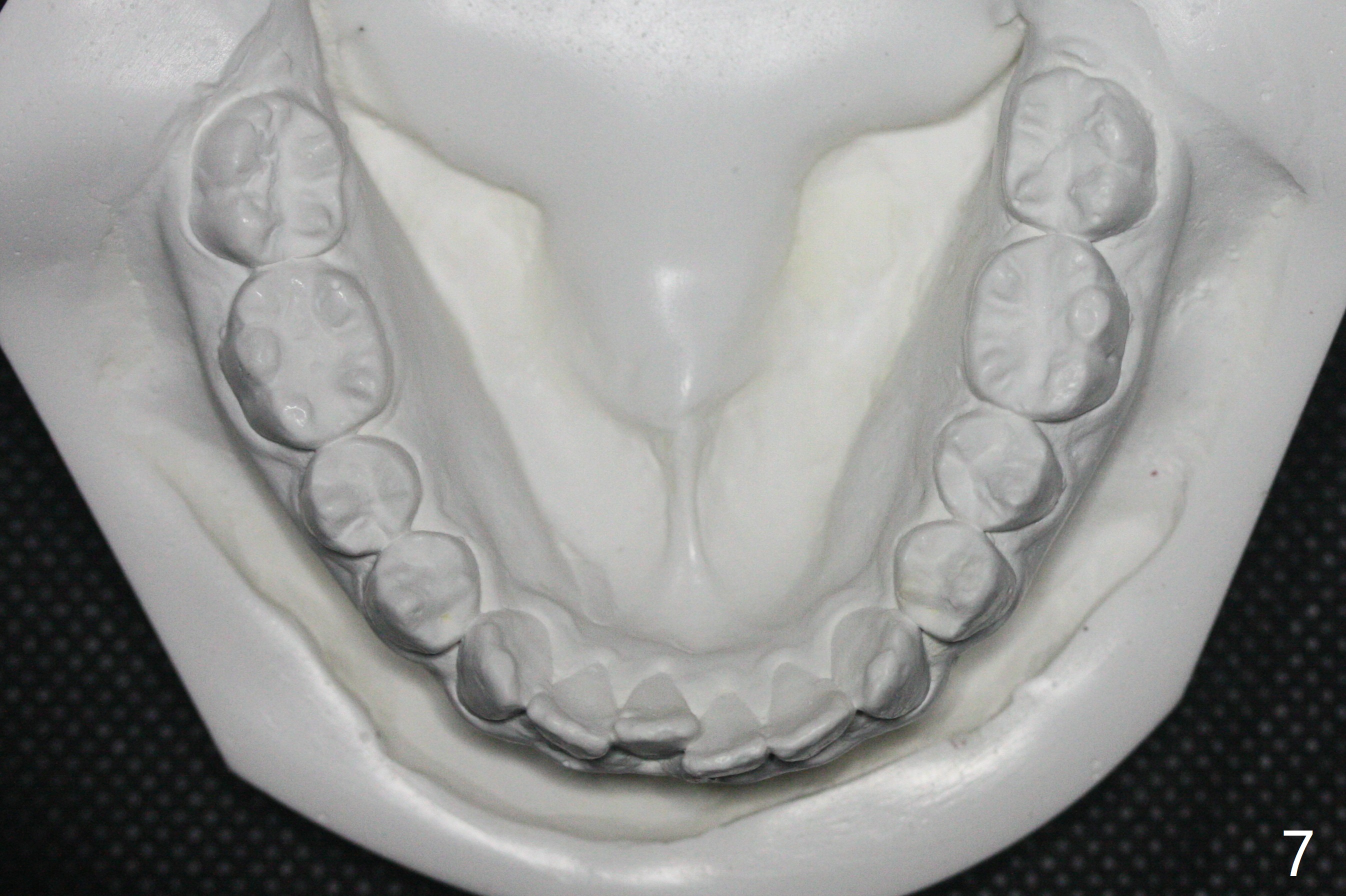
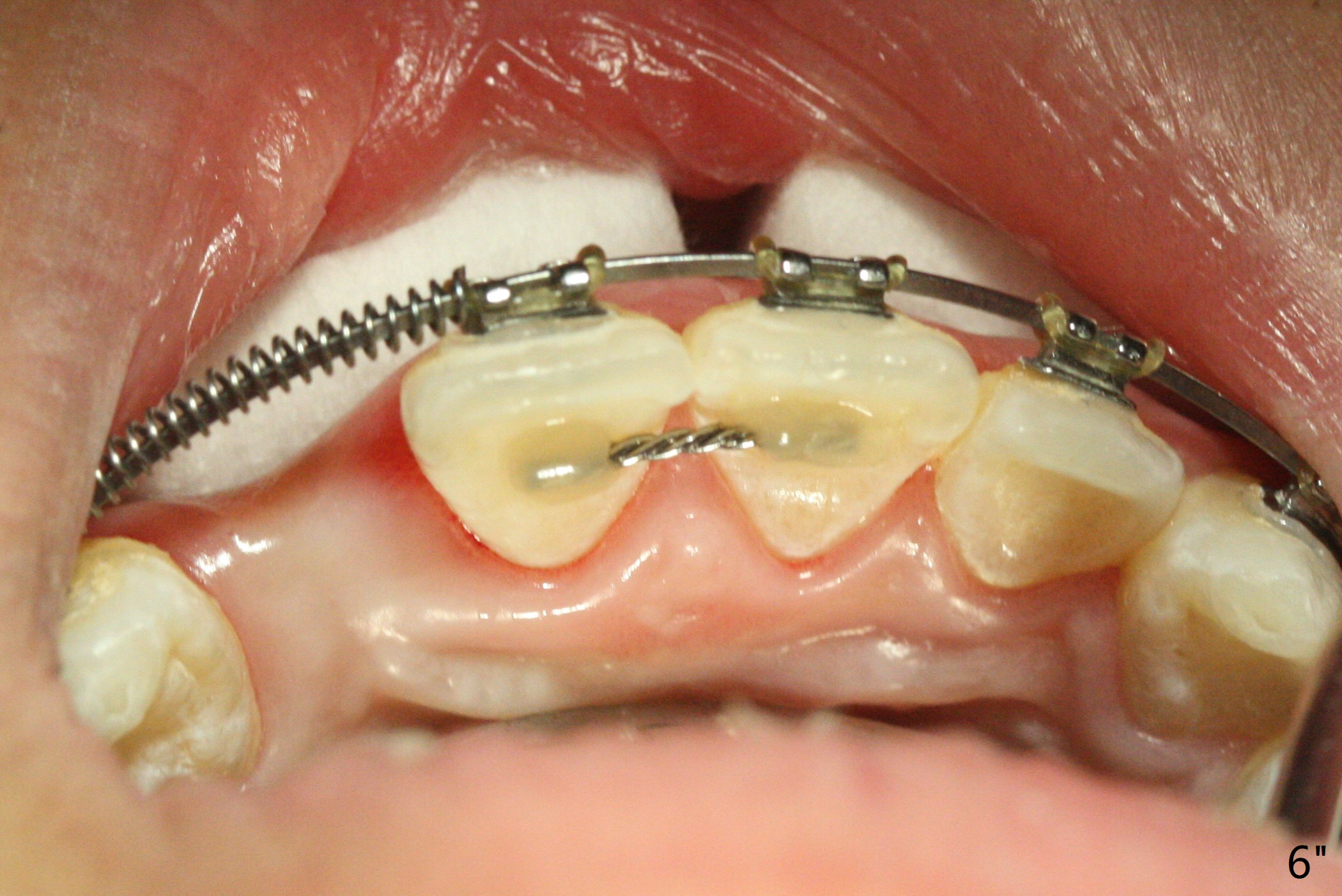
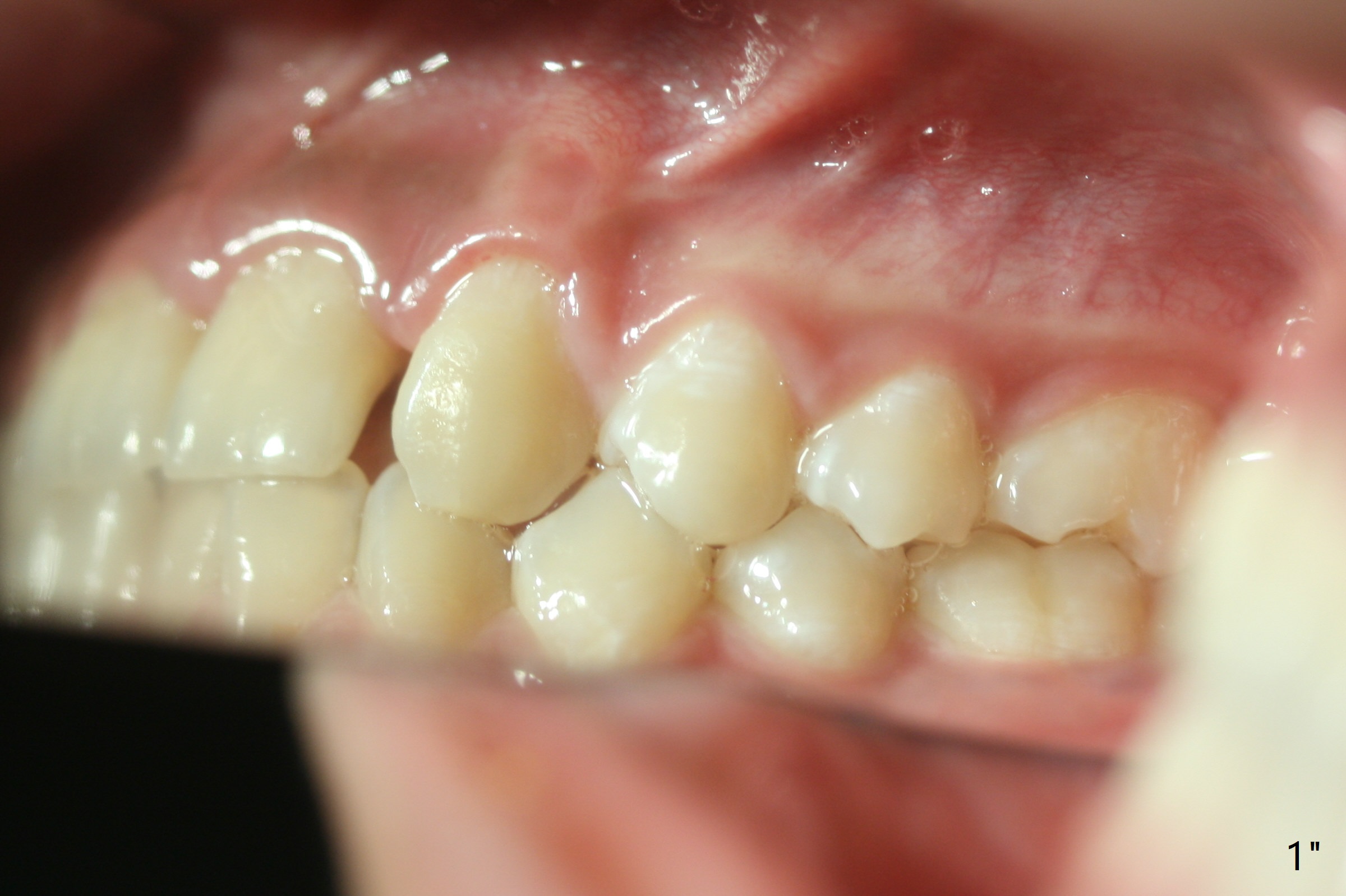
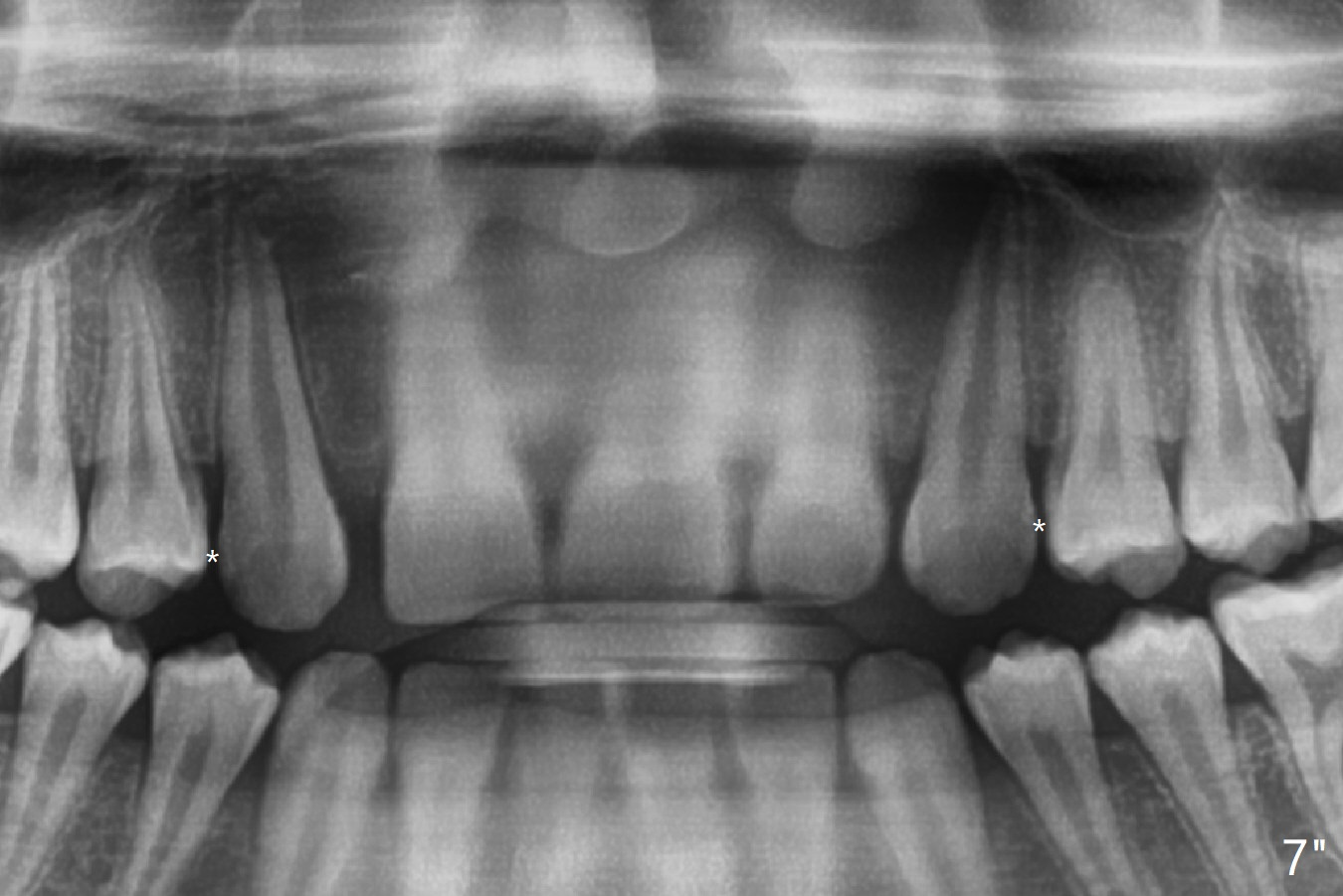
A 15-year-old man finishes orthodontic treatment for congenital missing lateral in 13 months. Molar Class I relationship remains the same (Fig.1,2,4,5). The upper diastemata mesial to 4s (Fig.4,7") close with correction of the upper midline deviation (Fig.2'-4'). The kid is unpleased with the elongated UR1 (Fig.2',3'). In fact it is a preexisting condition (Fig.2 arrow, 2"), but bracket placement at UR1 should have been overcorrected (incisal placement, Fig.3"). The intrusion should be done (Fig.4") before closure of the diastemata, since anchorage may be weakened when the separation between UR1 and 3 increases by using open coil spring. To prevent immediate relapse of the diastema between the upper central incisors, a fixed retainer is placed lingual before debracketing (Fig.6,6',6").
Return to
Upper
Incisor Immediate
Implant
Trajectory II
Ortho Cases
Xin Wei, DDS, PhD, MS 1st edition
10/20/2019, last revision
10/20/2019