![]() |
![]() |
![]() |
![]() |
![]() |
![]() |
![]() |
|
![]() |
![]() |
![]() |
|
![]() |
![]() |
![]() |
|
![]() |
![]() |
||
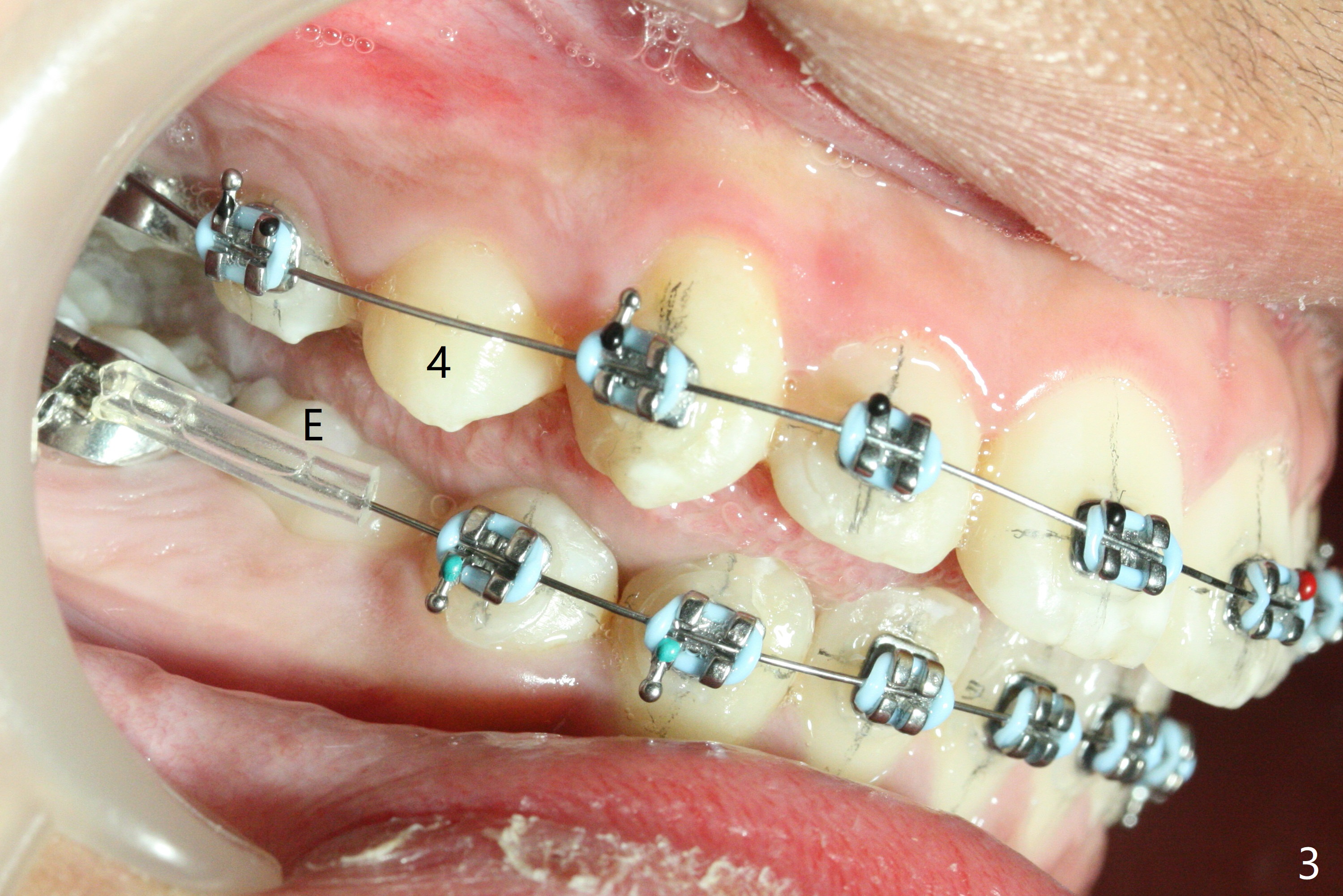
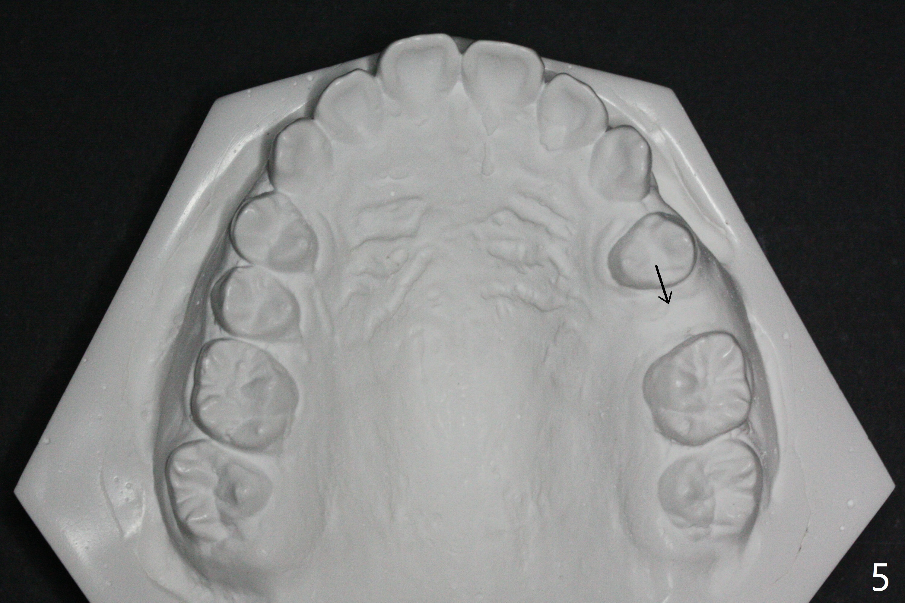
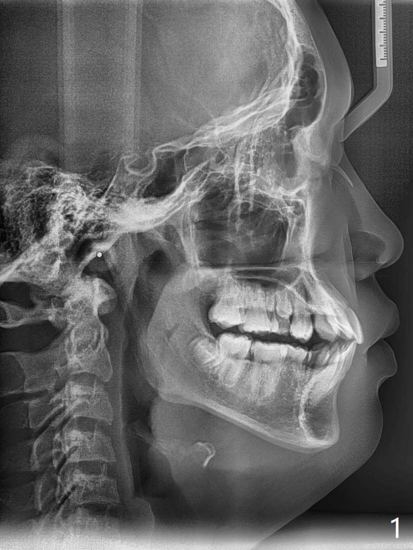
Pre-operative cephalometric X-ray shows convex facial profile (Fig.1). In fact tracing (a few days after banding) shows bimaxillary protrusion (SNA, SNB (88 and 87 degrees vs. 82, 80 (normal)). It appears that extraction orthodontics is indicated (UR4, UL5 (impacted) and LEs). The facial and upper dental midlines seem to coincide (Fig.2). No brackets or bands are placed at UR4 (because of non-cooperative (hyperactive)), LEs (Fig.3,4), or L7s (incomplete eruption, data not shown). Note wire bending between the canines and incisors, as related to correction of overbite. Shrinkable tubes are used in the region without bracket to prevent tissue injury. The upper arch seems to elongate (Fig.5, as compared to the lower one (Fig.6)). It appears that UR4 and UL5 should be extracted for normal profile and alignment. Cephalometric tracing shows that SNA and SNB are 79 and 85º, respectively, suggesting extraction (Fig.7).
The patient and father do not favor extraction. Five months post extraction of UL E and 2 months post banding (18 ss wires), UL5 is unerupted and subgingival (Fig.8 (palatal view)) and surgically exposed with Diode laser (Fig.9). A retraction tag should have been placed to facilitate eruption. Two weeks later, the tooth is erupting; a bracket is placed. The tooth is apparently erupted 1.5 months later and is no longer engaged to the arch wire.
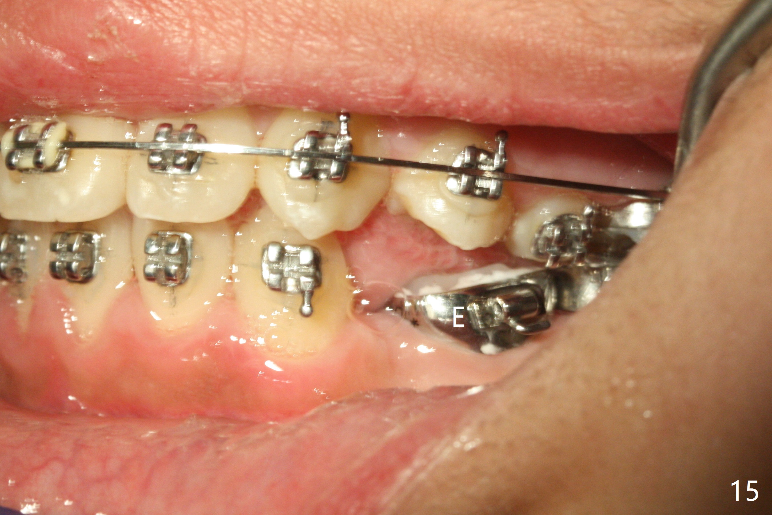
Eight months post banding, the interdigitation on the right side seems to be within normal limit (Fig.10), while the lower dental midline appears to be deviated to the left (Fig.11) with anterior overjet (Fig.12). The left canines remain Class II; open coil spring is placed between LL3-6 with intention to reduce anterior overjet and correct the lower midline deviation (Fig.13). Four weeks later, LL3 does not seem to be mesialized. It appears that the long open coil spring between LL3-6 is not effective. A molar band is added to LL E (Fig. 14,15). When a molar band is placed in LL7, an upper niti wire will be placed in the lower arch to expand the arch. When arch wire turns into thicker one, place open coil spring between LL3 and E.
Ortho Cases Xin Wei, DDS, PhD, MS 1st Version 03/14/2018, Last Update 11/26/2019