![]() |
![]() |
![]() |
![]() |
![]() |
![]() |
![]() |
![]() |
![]() |
![]() |
![]() |
![]() |
![]() |
![]() |
Space Makes Easy
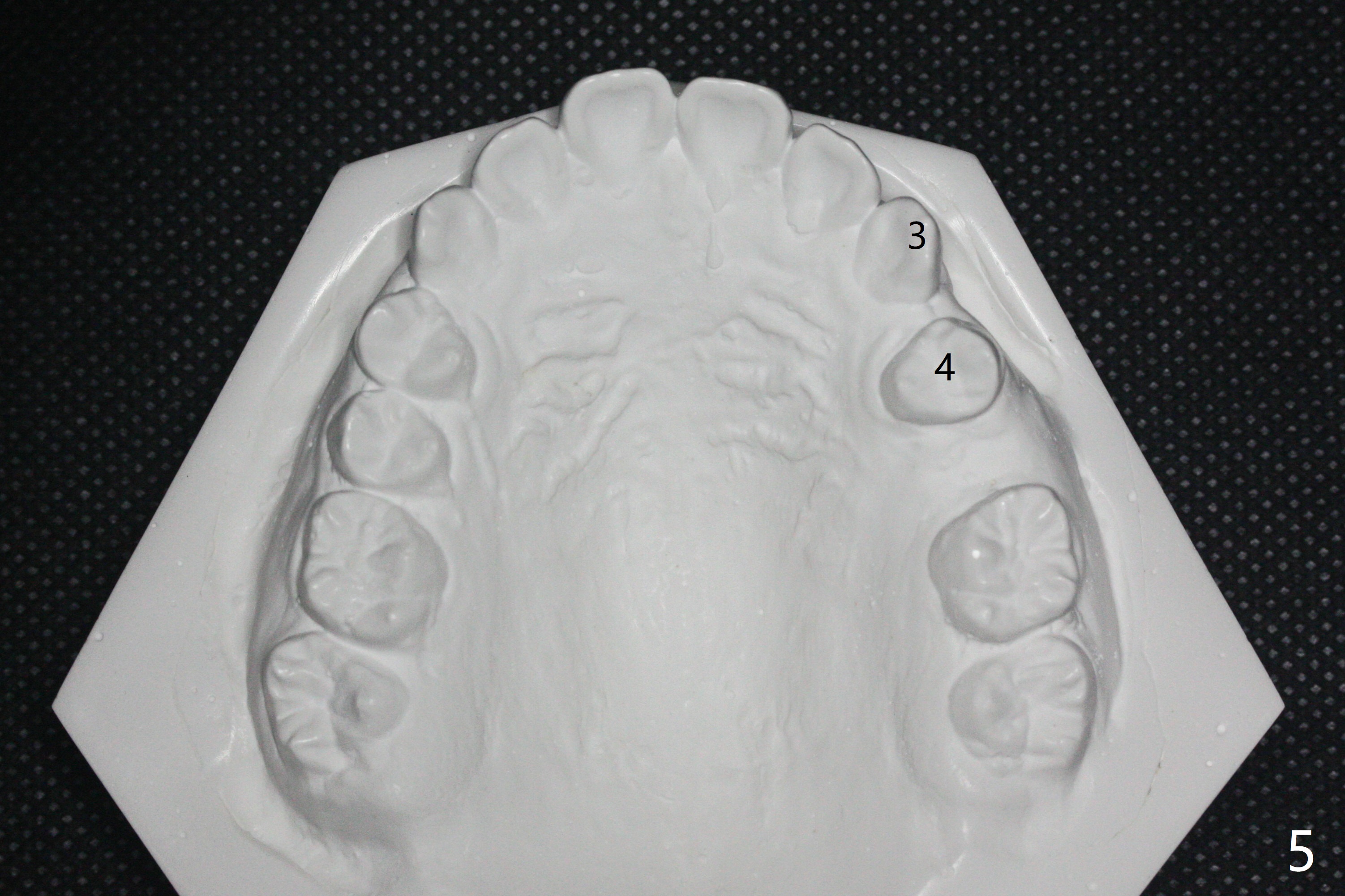
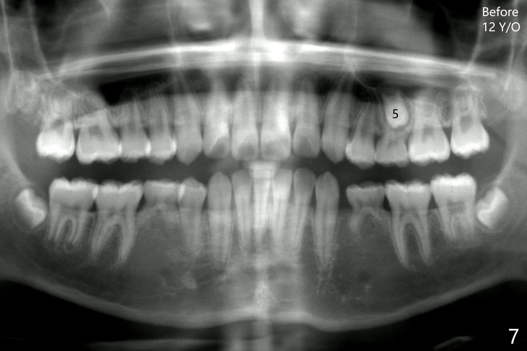
One-year-8-month orthodontic treatment reduces anterior overjet (Fig.1 (double arrows),1', with facial profile improvement), corrects right 1st molar cross bite (Fig.2,2') and dental midlines (Fig.3,3'), closes the diastema between UL3 and 4, extrudes UL5 (Fig.4,5,4',5'), and increases space for future implant at LL4 (Fig.6,6'). In fact large arches with distemata make the treatment possible! Extrusion of UL5 leads to root development (Fig.7, 7' (R)). The increased space at LL4 (Fig.7' *) appears insufficient for an implant.
Return to
Ortho Cases
Xin Wei, DDS, PhD, MS 1st edition
11/18/2019, last revision
12/08/2019