![]() |
![]() |
![]() |
![]() |
![]() |
Correction of Anterior Open Bite
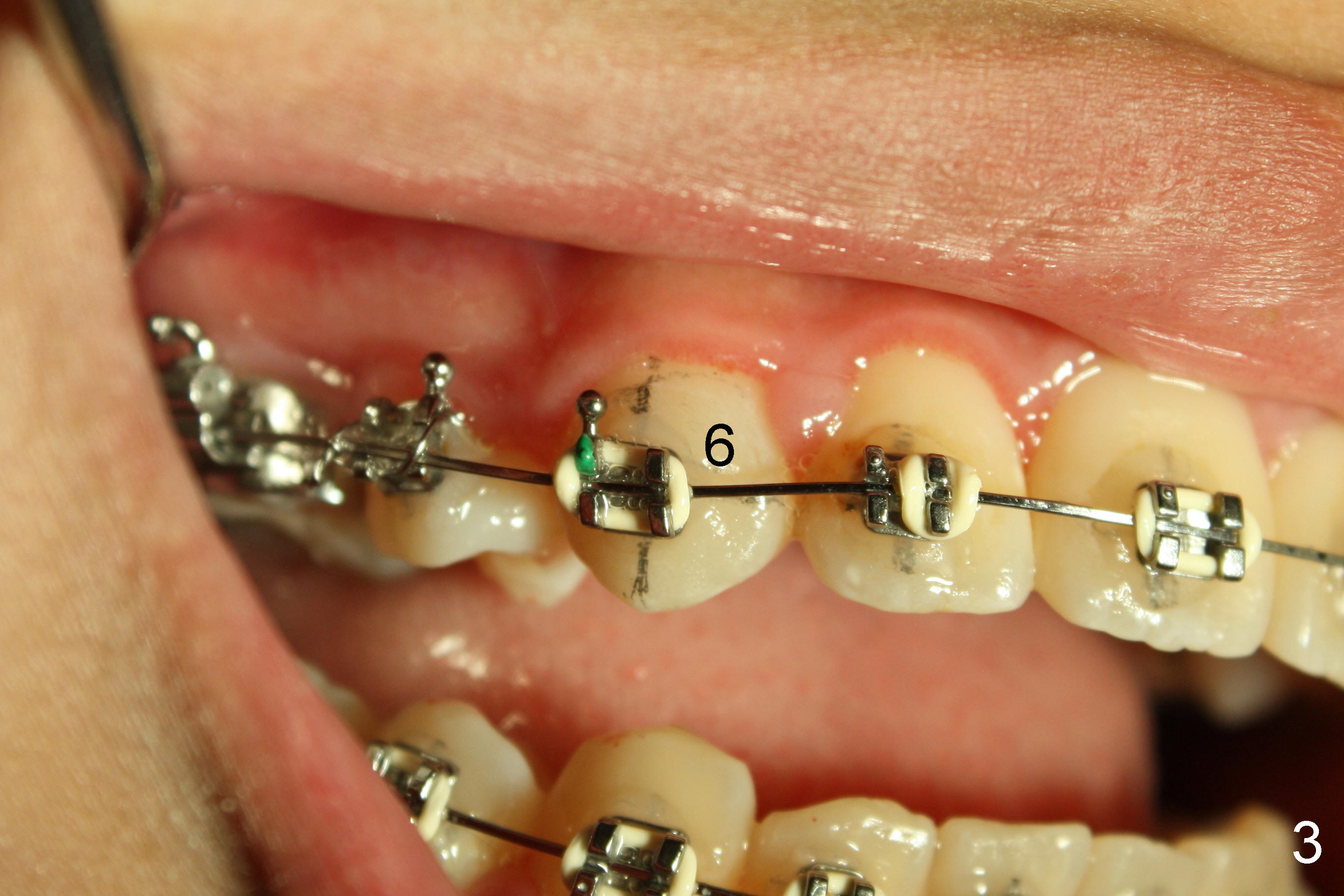
Christina has had the most complicated orthodontic treatment: phase one, mini-implant, extraction, and distalization. When canine Class I occlusion is achieved, anterior open bite is noted (Fig.1 between arrowheads). It is probably due to premature contact between the right upper and lower canines (Fig.2: #6, 27).
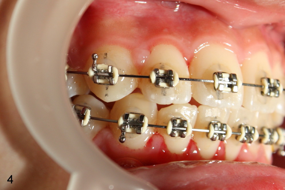
Rebracketing at #6 (Fig.3) leads to resolution of the anterior open bite within a month (Fig.4).
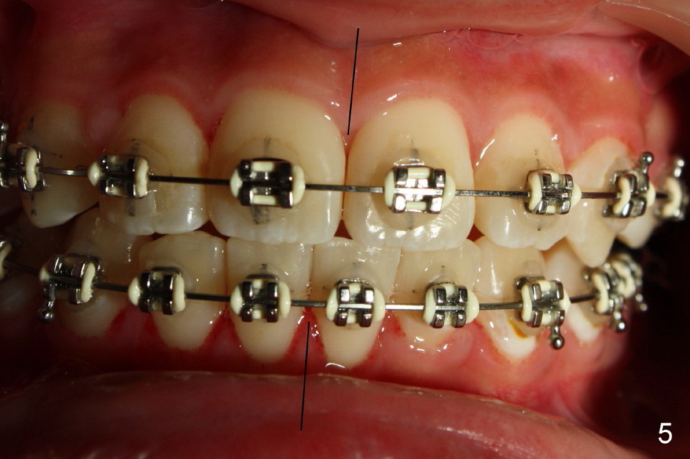
Elastic retraction is instructed to correct dental midline discrepancy (Fig.5).
Xin Wei, DDS, PhD, MS 1st edition 01/11/2014, last revision 01/12/2014