| Before | After | Should be Done |
![]() |
![]() |
|
![]() |
![]() |
|
![]() |
![]() |
|
![]() |
![]() |
![]() |
What Should Have Been Done?
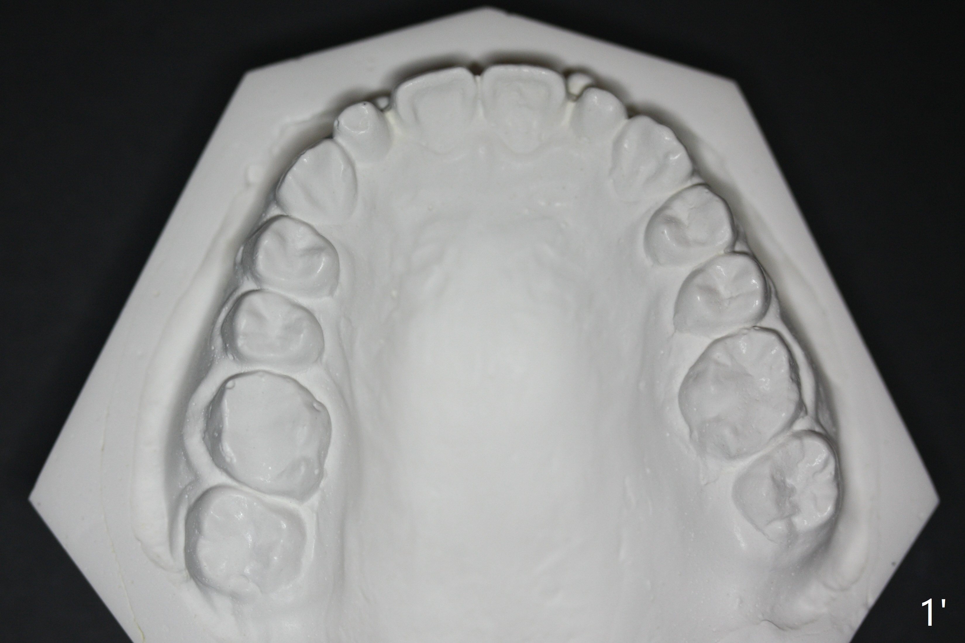
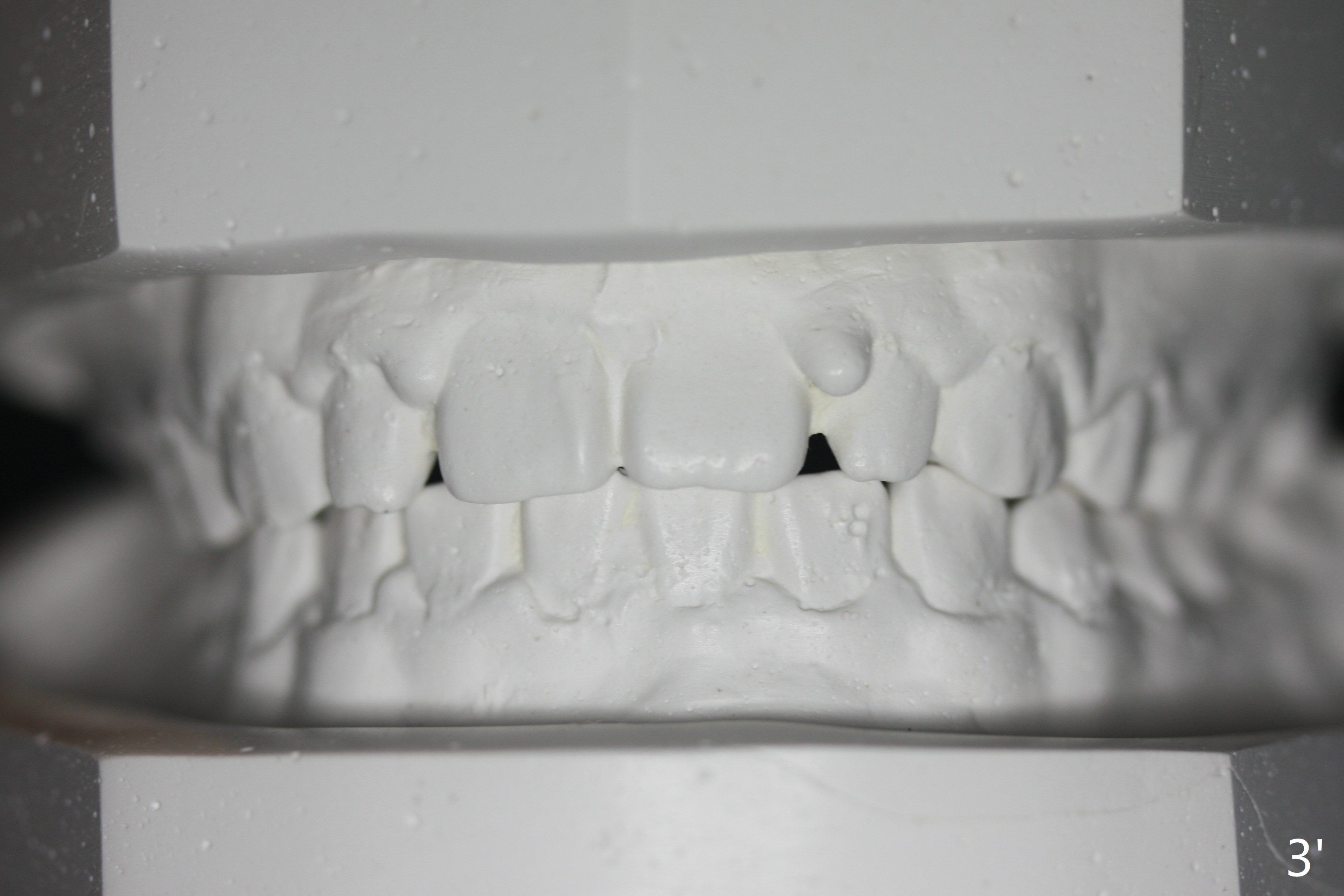
Orthodontic treatment (1.5 years) improves arch forms (Fig.1',2') and crowding (Fig.3'), but not Class II mal-occlusion (Fig.4'). Class II retraction should have been done vigorously so that the anterior overjet is minimal (Fig.4'').
Return to
Ortho Cases
Xin Wei, DDS, PhD, MS 1st edition 08/10/2018, last revision 08/11/2018