![]() |
![]() |
![]() |
![]() |
![]() |
#12,13 Implants as Anchorage
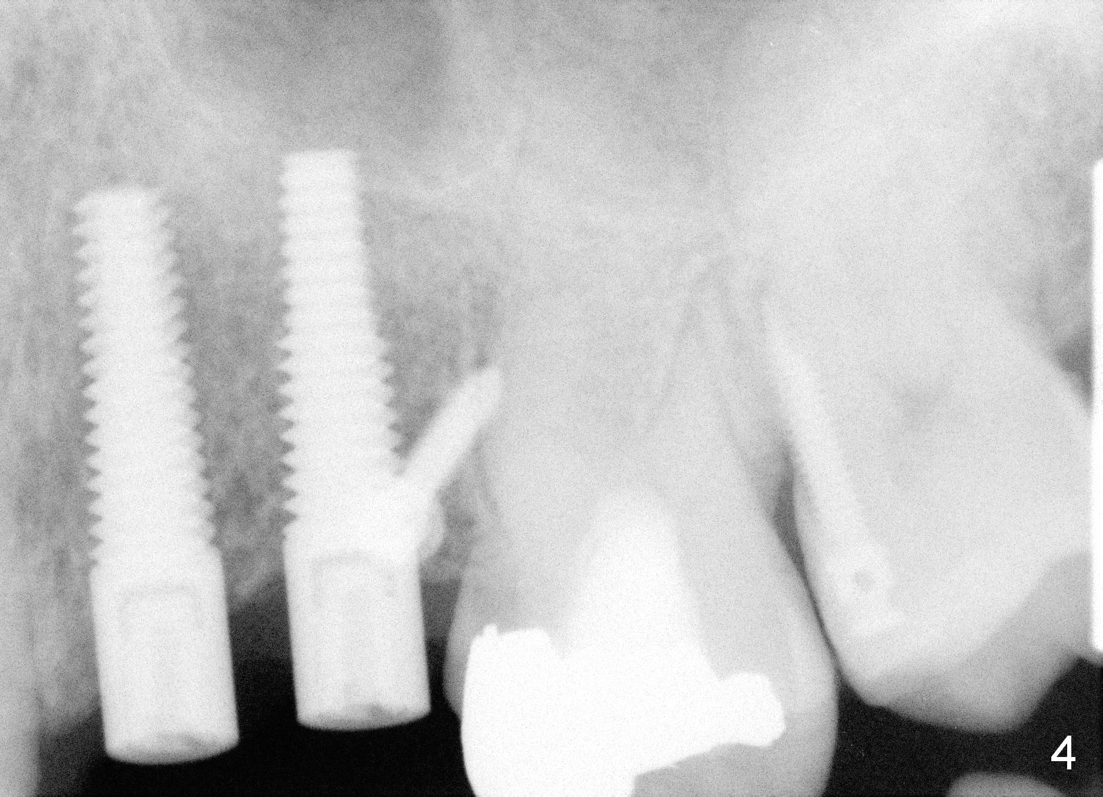
A 51-year-old man returns for #12,13 implant placement 2 years post extraction (Fig.1, 2 mm pilot drills 11 mm deep). Bone expanders are used (Fig.2 E), although the bone density is high. Two of 4x17 mm implant are placed with insertion torque > 60 Ncm (Fig.3). Four months postop, the implants are prepared for provisional as anchorage for limited ortho (Fig.4). When intrusion of #14 is finished, permanent crowns are fabricated for #12 and 13. Fig.5 is taken 1 year 1 months post cementation.
Return to
Implant
& Ortho
Xin Wei, DDS, PhD, MS 1st edition 11/29/2015, last revision 11/29/2015