![]() |
![]() |
![]() |
|
![]() |
![]() |
![]() |
![]() |
Upper 1st Bicuspid Has 2 Roots
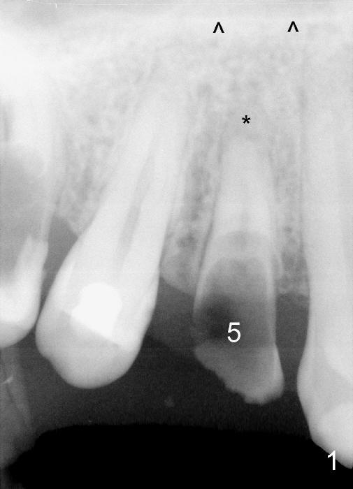
A 25-year-old black man has poor dentition. The tooth #5 is non-salvageable (Fig.1-6). Although the 1st bicuspids belong to the posterior teeth, anterior sensor holders should be used to show the sinus floor (Fig.1,2: ^). In contrast, PAs in Fig.3,6 (trimmed mesiodistally) are taken with posterior sensor holders; the sinus floor is out of view.
A long implant will be placed (possible 4.5x20 mm, Fig.2). A typical 1st bicuspid has 2 canals. In this case, there are most likely two roots (Fig.3): buccal (Fig.4 green dashed line) and lingual (Fig.5 pink dashed line).
The tooth #4 has special canal morphology (Fig.6). In addition to the middle main canal (Fig.7 *), there are 2 lateral finer curved canals (arrowheads). The tooth #13 has the same canal patterns.
It is reasonable to assume that the roots of the tooth #5 are bifurcated. If it is confirmed after extraction, a D implant may be more appropriate for this case (1, 2, 3).
Return to Immediate Implant for Upper
Bicuspids
Xin Wei, DDS, PhD, MS 1st edition 12/21/2014, last revision 01/19/2018