![]() |
![]() |
![]() |
![]() |
![]() |
![]() |
![]() |
![]() |
临时基台
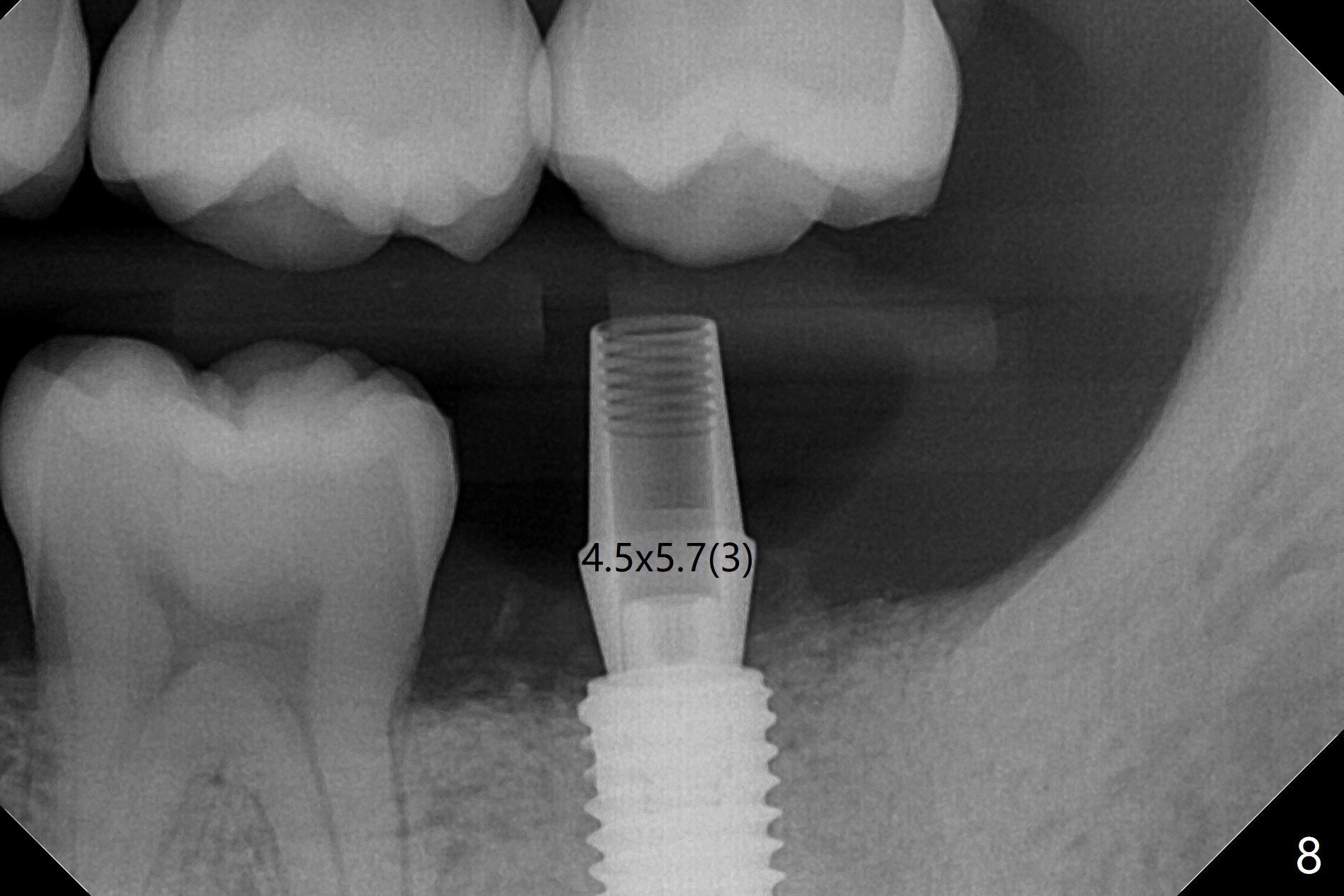
即刻种植即刻修复偶尔出现骨粉丧失,今天我们尝试临时基台,它可以制作像螺丝固位牙冠,可能会减少骨粉流失。左下7颊侧肿胀(图一:*),为了让植体(图二:绿色)植入中隔正中,钻洞时保留近中(M),远中(D)牙根。但是意想不到的是在导板指引下,钻头还是偏移近中(图三),而且颊侧(图四:圆圈),不过颊侧骨板没有缺损。由于牙根存在(硬),钻洞吃力,之后拔除,完成最后一个钻头,放置植体(图五),方位仿佛不错,临时基台(5.2x8(2)毫米)也完全就位,树脂围绕基台制作临时牙冠(图六),最后使用螺丝固位(*),颊侧肿胀牙龈必须用缝线固定(<),减少骨粉损失。由于牙冠与基台连接不好,病人汇报有些骨粉丢失。术后一个月检查尚可愈合正常,病人满意,已经做好思想准备做右下第二磨牙种植。临时牙冠进行修整。术后即刻近中牙槽窝间隙由粘性骨粉充填(图五),四个月后间隙消失(硬骨板也消失,图七),5.2x5(3)毫米粘固基台似乎没有完全就位,可能因为远中牙槽嵴阻挡(图七:*)。小一号基台仿佛完全就位(图八(咬翼片);图七(根尖片,可能失真)),但是临床上没有听到清脆声音(可能软硬组织阻挡)。随着时间推移,远中牙槽嵴吸收,当松动基台螺丝再次拧紧,可能会真正完全就位,必须拍摄完美咬翼片证实。这种植体芯(body, not threads)特别厚内部结构看不清楚。两周后粘固牙冠,然后取出牙冠和基台,清除残余粘固剂,然后复位,拧紧30Ncm。
Return to Prevent Molar Periimplantitis (Protocols, Table) No Caries 植牙,导板与正畸 保守治疗 螺丝松动 分类 Torque 31
Xin Wei, DDS, PhD, MS 1st edition 11/24/2020, last revision 04/22/2021