![]() |
![]() |
![]() |
![]() |
手术暴露后坏死
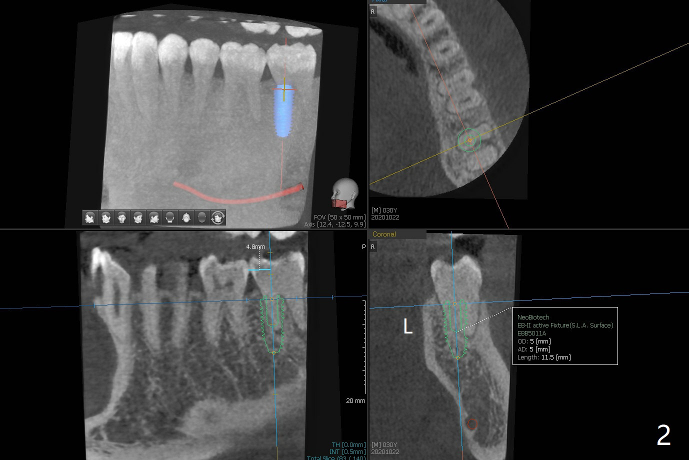
30岁男小的时候双侧下颌第二磨牙埋伏,拔除智齿后,前者经过矫正才萌出。近几年两个第二磨牙都出现疼痛,牙髓病专家认为左侧预后不佳(图一),需要拔除种植(图二)。注意去除根尖肉芽组织。左下7治疗完成后病人要求右下7拔除植牙(图三,四)。
Return to
Prevent Molar Periimplantitis (Protocols,
Table)
No
Caries
Clindamycin
手术
My
Exposure
植牙,导板与正畸
螺丝松动
分类
Xin Wei,
DDS, PhD, MS 1st edition 10/22/2020, last revision
04/12/2021