![]() |
![]() |
|
![]() |
![]() |
![]() |
Immediate Redo
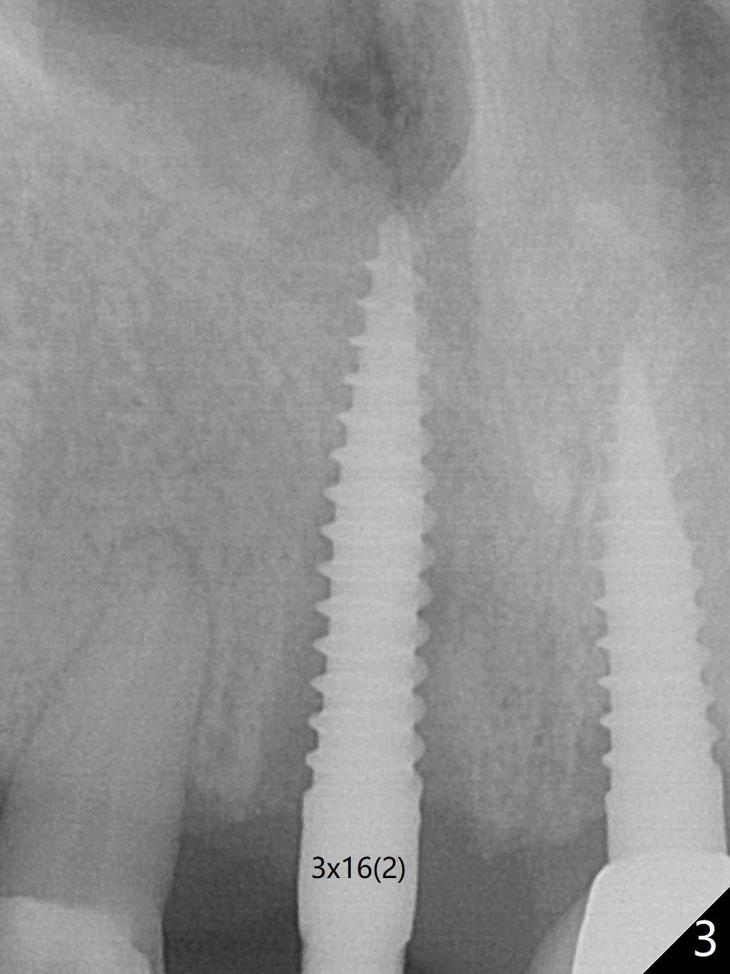
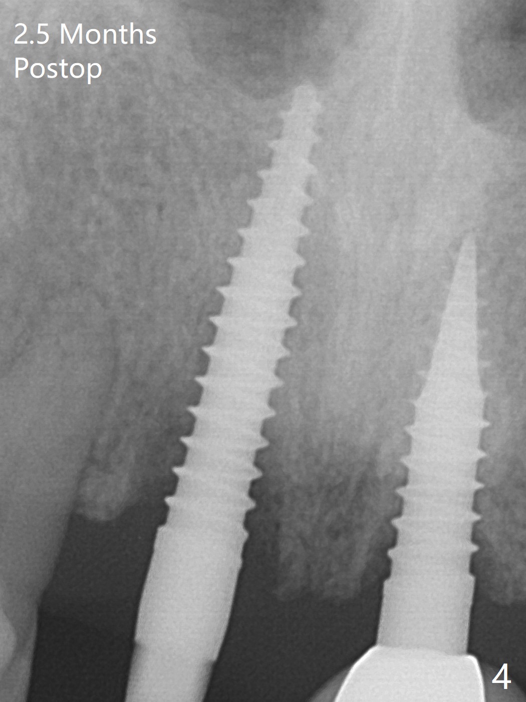
Reanalysis of preop CBCT shows a longer implant (3x16mm, green) to be placed palatal should be able to solve buccal plate bone loss associated with the previous 3x14 mm one at #8 (Fig.1). After crown/implant removal (with ease), a new palatal osteotomy is initiated flapless with 1.2 mm drill for 16 mm (palatal gingival margin, Fig.2). Following 1.5 mm drill for ~ 17 mm, a 3x16(2) mm 1-piece implant is placed >40 Ncm (Fig.3). After bone graft through limited access and abutment preparation, an immediate provisional is fabricated with clearance. The provisional dislodges repeatedly, mainly due to palatal perforation. It gets lost while the patient travels to his home country. Although there seems to be bone loss around the implant 2.5 months postop (Fig.4), the gingiva looks healthy. A new provisional is fabricated without impression. Because of short vertical height and small abutment diameter as well as bruxism, the provisional easily dislodges. The patient will return for impression 4 months 10 days postop. The bone loss remains 4 months postop when impression is taken (Fig.5).
Return to Upper Incisor Immediate Implant, Trajectory, 3 10 14 15 19 30 Xin Wei, DDS, PhD, MS 1st edition 10/16/2018, last revision 04/12/2020